• Tel: 858.663.9055
  • SeparatorEmail: info@nsjbio.com
  • Tel: 858.663.9055
  • Email: info@nsjbio.com
Home >> Antibodies >> von Willebrand Factor Antibody / Vascular Integrity Marker Antibody

von Willebrand Factor Antibody / Vascular Integrity Marker Antibody [clone VWF/4458] (V4257)

  Catalog No Formulation Size Price (USD)  
Image V4257-100UG 0.2 mg/ml in 1X PBS with 0.1 mg/ml BSA (US sourced), 0.05% sodium azide 100 ug 559
Image
V4257-20UG 0.2 mg/ml in 1X PBS with 0.1 mg/ml BSA (US sourced), 0.05% sodium azide 20 ug 259
Image
V4257SAF-100UG 1 mg/ml in 1X PBS; BSA free, sodium azide free 100 ug 559
Bulk quote request
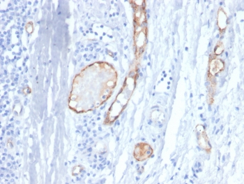
von Willebrand Factor Antibody / Vascular Integrity Marker Antibody. Immunohistochemistry analysis of human tonsil tissue shows HRP-DAB brown staining of endothelial cells forming continuous vascular linings within lymphoid tissue. The staining outlines well-defined vessel boundaries with smooth, intact endothelial contours, highlighting preserved vascular architecture. Endothelial-lined channels are clearly distinguished from surrounding lymphoid cells, allowing assessment of vessel continuity and structural organization within the tissue. Clone VWF/4458 enables visualization of vascular integrity and endothelial preservation across the sampled region. HIER: boil tissue sections in pH 9 10mM Tris with 1mM EDTA for 20 min and allow to cool before testing.
Availability 1-3 business days
Species Reactivity Human
Format Purified
Host Mouse
Clonality Monoclonal (mouse origin)
Isotype Mouse IgG1
Clone Name VWF/4458
Purity Protein A/G affinity
UniProt P04275
Localization Secreted, Cytoplasm
Applications Immunohistochemistry (FFPE) : 1-2ug/ml for 30 minutes at RT
Limitations This von Willebrand Factor antibody is available for research use only.
Review this product on BioCompare and get a $20 Amazon gift card

Related Products

Description

Von Willebrand factor (VWF) is a large secreted glycoprotein encoded by the VWF gene and synthesized primarily by vascular endothelial cells and megakaryocytes. von Willebrand Factor Antibody / Vascular Integrity Marker Antibody recognizes a protein that is tightly associated with endothelial cells, making it highly effective for assessing the presence and continuity of blood vessel linings within tissue. VWF antibody, also referred to as von Willebrand factor antibody or factor VIII-related antigen antibody, is widely used in studies where evaluation of vascular structure and endothelial preservation is central to tissue interpretation.

Endothelial cells form a continuous barrier that maintains vascular integrity and regulates exchange between blood and surrounding tissue. Disruption of this lining can lead to altered perfusion, leakage, inflammation, and tissue damage. Because VWF is consistently expressed in endothelial cells, it provides a reliable marker for identifying intact vascular channels and determining whether vessel architecture is preserved. von Willebrand Factor Antibody is therefore particularly useful for visualizing continuous endothelial linings and distinguishing well-defined vessels from areas where structural integrity has been compromised.

In healthy tissue, VWF staining outlines smooth, continuous vascular channels with clearly defined endothelial borders. In contrast, tissues affected by injury, inflammation, ischemia, or fibrosis may exhibit fragmented, irregular, or reduced vascular structures. Changes in vessel continuity, density, and organization can provide important insight into the condition of the tissue. Detection of VWF allows these features to be visualized directly, supporting evaluation of how vascular integrity is maintained or altered across different biological states.

Although VWF plays a well-established role in platelet adhesion and coagulation factor stabilization, its value in integrity-focused studies lies in its stable association with endothelial cells. This enables researchers to assess vessel structure independently of dynamic processes such as angiogenesis or secretion. The ability to clearly delineate endothelial-lined spaces provides a structural framework for interpreting tissue organization, particularly in samples where vascular disruption may influence disease progression or tissue function.

In pathological contexts, vascular integrity is closely linked to outcomes in conditions such as chronic inflammation, ischemic injury, and tumor-associated remodeling. Loss of endothelial continuity or abnormal vessel organization can reflect compromised tissue viability or altered microenvironmental conditions. VWF staining supports analysis of these features by highlighting vessel-associated structures and allowing direct comparison of vascular patterns across regions of interest.

von Willebrand Factor Antibody / Vascular Integrity Marker Antibody is especially suited for studies focused on vessel continuity, endothelial preservation, and structural assessment of the vascular compartment. By marking endothelial-lined channels with a consistent and biologically grounded signal, it enables detailed evaluation of vascular architecture and supports interpretation of how intact or disrupted the vascular network is within a given tissue.

Application Notes

Optimal dilution of the von Willebrand Factor Antibody / Vascular Integrity Marker Antibody should be determined by the researcher.

Immunogen

Recombinant full-length human VWF protein was used as the immunogen for the von Willebrand Factor Antibody / Vascular Integrity Marker Antibody.

Storage

Aliquot the von Willebrand Factor antibody and store frozen at -20oC or colder. Avoid repeated freeze-thaw cycles.

Alternate Names

VWF vascular integrity antibody, von Willebrand factor vessel integrity antibody, endothelial barrier marker antibody, vascular lining integrity antibody, VWF blood vessel stability antibody

Cross
Bulk Quote Request Form
Name*:
Organization*:
Email*:
Phone Number*:
Catalog No.*:
Comments and Specifics(amount, formulation, etc.)*:
Validation code: Captchapackage Image


Can't read the image? click here to refresh.
    *required field

Your bulk quote request has been submitted successfully!

Please contact us if you have any questions.