• Tel: 858.663.9055
  • SeparatorEmail: info@nsjbio.com
  • Tel: 858.663.9055
  • Email: info@nsjbio.com
Home >> Antibodies >> von Willebrand Factor Antibody / VWF

von Willebrand Factor Antibody / VWF (RQ7212)

  Catalog No Formulation Size Price (USD)  
Image RQ7212 0.5mg/ml if reconstituted with 0.2ml sterile DI water 100 ug 449
Bulk quote request
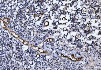
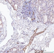
IHC staining of FFPE human tonsil tissue with von Willebrand Factor antibody. HIER: boil tissue sections in pH8 EDTA for 20 min and allow to cool before testing.
IHC staining of FFPE human thyroid cancer tissue with von Willebrand Factor antibody. HIER: boil tissue sections in pH8 EDTA for 20 min and allow to cool before testing.
IHC staining of FFPE human renal cancer tissue with von Willebrand Factor antibody. HIER: boil tissue sections in pH8 EDTA for 20 min and allow to cool before testing.
Availability 1-3 business days
Species Reactivity Human
Format Antigen affinity purified
Host Rabbit
Clonality Polyclonal (rabbit origin)
Isotype Rabbit IgG
Purity Antigen affinity purified
Buffer Lyophilized from 1X PBS with 2% Trehalose
UniProt P04275
Applications Immunohistochemistry (FFPE) : 2-5ug/ml
Direct ELISA : 0.1-0.5ug/ml
Limitations This von Willebrand Factor antibody is available for research use only.
Review this product on BioCompare and get a $20 Amazon gift card

Related Products

Description

Von Willebrand factor (VWF) is a blood glycoprotein involved in hemostasis. It is mapped to 12p13.31. The VWF gene encodes von Willebrand factor (VWF), a large multimeric glycoprotein that plays a central role in the blood coagulation system, serving both as a major mediator of platelet-vessel wall interaction and platelet adhesion, and as a carrier for coagulation factor VIII. VWF released from endothelial cell Weibel-Palade bodies bound particularly avidly to the extracellular matrix. VWF deficiency or dysfunction (von Willebrand disease) leads to a bleeding tendency, which is most apparent in tissues having high blood flow shear in narrow vessels.

Application Notes

Optimal dilution of the von Willebrand Factor antibody should be determined by the researcher.

Immunogen

Recombinant human protein (amino acids R1287-Q2770) was used as the immunogen for the von Willebrand Factor antibody.

Storage

After reconstitution, the von Willebrand Factor antibody can be stored for up to one month at 4oC. For long-term, aliquot and store at -20oC. Avoid repeated freezing and thawing.

Cross
Bulk Quote Request Form
Name*:
Organization*:
Email*:
Phone Number*:
Catalog No.*:
Comments and Specifics(amount, formulation, etc.)*:
Validation code: Captchapackage Image


Can't read the image? click here to refresh.
    *required field

Your bulk quote request has been submitted successfully!

Please contact us if you have any questions.