• Tel: 858.663.9055
  • SeparatorEmail: info@nsjbio.com
  • Tel: 858.663.9055
  • Email: info@nsjbio.com
Home >> Antibodies >> VMAT2 Antibody / SLC18A2

VMAT2 Antibody / SLC18A2 (R36117)

  Catalog No Formulation Size Price (USD)  
Image R36117-100UG 0.5 mg/ml in 1X TBS, pH7.3, with 0.5% BSA (US sourced) and 0.02% sodium azide 100 ug 475
Bulk quote request
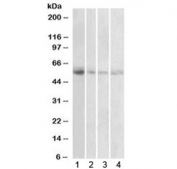
Western blot testing of human 1) placenta, 2) uterus, 3) adrenal gland and 4) pancreas lysate with VMAT2 antibody at 1ug/ml. Predicted molecular weight: ~55 kDa.
Western blot testing of human placenta lysate with VMAT2 antibody at 0.3ug/ml. Predicted molecular weight: ~55 kDa.
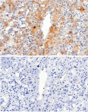
IHC testing of FFPE human pancreas tissue with VMAT2 antibody at 5ug/ml. Required HIER: steamed antigen retrieval with pH6 citrate buffer; AP-staining.
IHC testing of FFPE human adrenal gland tissue with VMAT2 antibody at 2.5ug/ml. Required HIER: steamed antigen retrieval with pH6 citrate buffer; HRP-staining.
Availability 1-3 business days
Species Reactivity Human
Predicted Reactivity Mouse, Rat
Format Antigen affinity purified
Host Goat
Clonality Polyclonal (goat origin)
Isotype Goat Ig
Purity Antigen affinity
Gene ID 6571
Localization Cytoplasmic
Applications Western Blot : 1-3 ug/ml
IHC (FFPE) : 2.5-5ug/ml
ELISA (peptide) LOD : 1:8000
Limitations This VMAT2 antibody is available for research use only.
Review this product on BioCompare and get a $20 Amazon gift card

Related Products

Description

Additional name(s) for this target protein: Vesicular monoamine transporter 2; solute carrier family 18 (vesicular monoamine) member 2 (SLC18A2)

Application Notes

Optimal dilution of the VMAT2 antibody should be determined by the researcher.

Immunogen

Amino acids SYPIGEDEESESD were used as the immunogen for this VMAT2 antibody.

Storage

Aliquot and store the VMAT2 antibody at -20oC.

Cross
Bulk Quote Request Form
Name*:
Organization*:
Email*:
Phone Number*:
Catalog No.*:
Comments and Specifics(amount, formulation, etc.)*:
Validation code: Captchapackage Image


Can't read the image? click here to refresh.
    *required field

Your bulk quote request has been submitted successfully!

Please contact us if you have any questions.