• Tel: 858.663.9055
  • SeparatorEmail: info@nsjbio.com
  • Tel: 858.663.9055
  • Email: info@nsjbio.com
Home >> Antibodies >> Vitamin D binding protein Antibody / VDBP / GC

Vitamin D binding protein Antibody / VDBP / GC [clone VDBP/4482] (V9504)

  Catalog No Formulation Size Price (USD)  
Image V9504-100UG 0.2 mg/ml in 1X PBS with 0.1 mg/ml BSA (US sourced), 0.05% sodium azide 100 ug 559
Image
V9504-20UG 0.2 mg/ml in 1X PBS with 0.1 mg/ml BSA (US sourced), 0.05% sodium azide 20 ug 259
Image
V9504SAF-100UG 1 mg/ml in 1X PBS; BSA free, sodium azide free 100 ug 559
Microvalidated
Bulk quote request
Vitamin D binding protein Antibody Pancreas IHC. Immunohistochemistry staining of FFPE human pancreatic tissue with Vitamin D binding protein antibody (clone VDBP/4482) at 2ug/ml in PBS for 30min RT. HIER: boil tissue sections in pH 9 10mM Tris with 1mM EDTA for 20 min and allow to cool before testing.
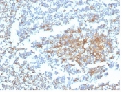
Vitamin D binding protein Antibody Tonsil IHC. Immunohistochemistry staining of FFPE human tonsil tissue with Vitamin D binding protein antibody (clone VDBP/4482) at 2ug/ml in PBS for 30min RT. HIER: boil tissue sections in pH 9 10mM Tris with 1mM EDTA for 20 min and allow to cool before testing.
SDS-PAGE analysis of purified, BSA-free Vitamin D binding protein antibody (clone VDBP/4482) as confirmation of integrity and purity.
Analysis of HuProt(TM) microarray containing more than 19,000 full-length human proteins using Vitamin D binding protein antibody (clone VDBP/4482). These results demonstrate the foremost specificity of the VDBP/4482 mAb. Z- and S- score: The Z-score represents the strength of a signal that an antibody (in combination with a fluorescently-tagged anti-IgG secondary Ab) produces when binding to a particular protein on the HuProt(TM) array. Z-scores are described in units of standard deviations (SD's) above the mean value of all signals generated on that array. If the targets on the HuProt(TM) are arranged in descending order of the Z-score, the S-score is the difference (also in units of SD's) between the Z-scores. The S-score therefore represents the relative target specificity of an Ab to its intended target.
Availability 1-3 business days
Species Reactivity Human
Format Purified
Host Mouse
Clonality Monoclonal (mouse origin)
Isotype Mouse IgG2b, kappa
Clone Name VDBP/4482
Purity Protein A/G affinity
UniProt P02774
Localization Secreted
Applications Immunohistochemistry (FFPE) : 1-2ug/ml
Limitations This Vitamin D binding protein antibody is available for research use only.
Review this product on BioCompare and get a $20 Amazon gift card

Related Products

Description

Vitamin D-binding protein antibody detects VDBP, a multi-functional serum protein that binds to the plasma membranes of numerous cell types and mediates a variety of cellular functions. The locus of the DBP protein (also known as group-specific component protein or GC) is located at human chromosome 4q13.3. DBP functions in organ-specific transportation of vitamin D and its metabolites to the various target organs of the vitamin D endocrine system. In addition, DBP has immunomodulatory properties and is able to bind to the surface of leukocytes. DBP binds to the plasma membrane through a chondroitin sulfate proteoglycan. DBP serves as a co-chemotactic factor for C5a to enhance the chemotactic activity of C5a. DBP can also bind to globular Actin with high affinity and is involved in the clearance of Actin from the blood. DBP plays an important role in osteoclast differentiation. The diverse cellular functions of DBP require its cell surface binding ability to mediate different biological processes.

For highly selective detection of VDBP in vitamin D transport and endocrine metabolism studies, see our VDBP Antibody / Vitamin D Binding Protein Antibody clone VDBP/4481 featuring protein microarray specificity validation.

Application Notes

Optimal dilution of the Vitamin D binding protein antibody should be determined by the researcher.

Immunogen

A portion of amino acids 35-175 was used as the immunogen for the Vitamin D binding protein antibody.

Storage

Aliquot the Vitamin D binding protein antibody and store frozen at -20oC or colder. Avoid repeated freeze-thaw cycles.

Cross
Bulk Quote Request Form
Name*:
Organization*:
Email*:
Phone Number*:
Catalog No.*:
Comments and Specifics(amount, formulation, etc.)*:
Validation code: Captchapackage Image


Can't read the image? click here to refresh.
    *required field

Your bulk quote request has been submitted successfully!

Please contact us if you have any questions.