• Tel: 858.663.9055
  • SeparatorEmail: info@nsjbio.com
  • Tel: 858.663.9055
  • Email: info@nsjbio.com
Home >> Antibodies >> VIPR2 Antibody / VPAC2

VIPR2 Antibody / VPAC2 (RQ7259)

  Catalog No Formulation Size Price (USD)  
Image RQ7259 0.5mg/ml if reconstituted with 0.2ml sterile DI water 100 ug 449
Bulk quote request
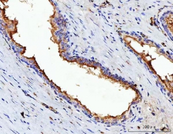
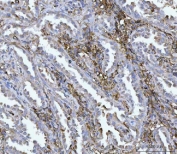
IHC staining of FFPE human prostate cancer tissue with VIPR2 antibody. HIER: boil tissue sections in pH8 EDTA for 20 min and allow to cool before testing.
IHC staining of FFPE human lung cancer tissue with VIPR2 antibody. HIER: boil tissue sections in pH8 EDTA for 20 min and allow to cool before testing.
Western blot testing of 1) monkey COS-7 and 2) human MOLT4 cell lysate with VIPR2 antibody. Predicted molecular weight ~49 kDa.
Availability 1-3 business days
Species Reactivity Human, Monkey
Format Antigen affinity purified
Host Rabbit
Clonality Polyclonal (rabbit origin)
Isotype Rabbit IgG
Purity Antigen affinity purified
Buffer Lyophilized from 1X PBS with 2% Trehalose
UniProt P41587
Applications Western Blot : 0.5-1ug/ml
Immunohistochemistry (FFPE) : 2-5ug/ml
Limitations This VIPR2 antibody is available for research use only.
Review this product on BioCompare and get a $20 Amazon gift card

Description

Vasoactive intestinal peptide receptor 2 (VIPR2), also known as VPAC2, is a G-protein coupled receptor that in humans is encoded by the VIPR2 gene. This gene encodes a receptor for vasoactive intestinal peptide, a small neuropeptide. Vasoactive intestinal peptide is involved in smooth muscle relaxation, exocrine and endocrine secretion, and water and ion flux in lung and intestinal epithelia. Its actions are effected through integral membrane receptors associated with a guanine nucleotide binding protein which activates adenylate cyclase.

Application Notes

Optimal dilution of the VIPR2 antibody should be determined by the researcher.

Immunogen

Amino acids EIQEEETKCAELLRSQTEKH were used as the immunogen for the VIPR2 antibody.

Storage

After reconstitution, the VIPR2 antibody can be stored for up to one month at 4oC. For long-term, aliquot and store at -20oC. Avoid repeated freezing and thawing.

Cross
Bulk Quote Request Form
Name*:
Organization*:
Email*:
Phone Number*:
Catalog No.*:
Comments and Specifics(amount, formulation, etc.)*:
Validation code: Captchapackage Image


Can't read the image? click here to refresh.
    *required field

Your bulk quote request has been submitted successfully!

Please contact us if you have any questions.