• Tel: 858.663.9055
  • SeparatorEmail: info@nsjbio.com
  • Tel: 858.663.9055
  • Email: info@nsjbio.com
Home >> Antibodies >> Vinculin Antibody

Vinculin Antibody (R30874)

  Catalog No Formulation Size Price (USD)  
Image R30874 0.5mg/ml if reconstituted with 0.2ml sterile DI water 100 ug 449
Bulk quote request
Western blot testing of Vinculin antibody and Lane 1: rat heart; 2: (r) brain; 3: (r) liver; 4: human U87; 5: (h) SMMC-7721; 6: mouse HEPA; 7: (h) HeLa; 8: (h) HT1080 cell lysate. Predicted molecular weight ~124 kDa.
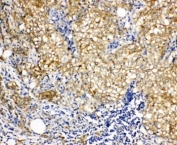
IHC-P: Vinculin antibody testing of human breast cancer tissue. Required HIER: steam section in pH6 citrate buffer for 20 min.
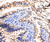
IHC-P: Vinculin antibody testing of rat intestine tissue. Required HIER: steam section in pH6 citrate buffer for 20 min.
Availability 1-3 business days
Species Reactivity Mouse
Format Antigen affinity purified
Host Rabbit
Clonality Polyclonal (rabbit origin)
Isotype Rabbit IgG
Purity Antigen affinity
Buffer Lyophilized from 1X PBS with 2.5% BSA and 0.025% sodium azide/thimerosal
UniProt P18206
Localization Cytoplasmic and cell membrane
Applications Western Blot : 0.5-1ug/ml
IHC (FFPE) : 0.5-1ug/ml
Limitations This Vinculin antibody is available for research use only.
Review this product on BioCompare and get a $20 Amazon gift card

Related Products

Description

In mammalian cells, Vinculin is a membrane-cytoskeletal protein in focal adhesion plaques that is involved in linkage of integrin adhesion molecules to the actin cytoskeleton. By linkage studies in a 3-generation family, Mulligan et al.(1992) mapped the VCL gene to chromosome 10q22.1-q23, distal to D10S22. It is a cytoskeletal protein associated with cell-cell and cell-matrix junctions, where it is though to function as one of several interacting proteins involved in anchoring F-actin to the membrane. Multiple alternatively-spliced transcript variants have been found for this gene, but the biological validity of some variants has not been determined. The human protein exhibits a greater-than-95% sequence identity to the chicken protein. Vinculin is a 117-kDa cytoskeletal protein with 1066 amino acids. The protein contains an acidic N-terminal domain and a basic C-terminal domain separated by a proline-rich middle segment. It has a globular head domain that contains binding sites for talin and alpha-actinin as well as a tyrosine phosphorylation site, while the tail region contains binding sites for F-actin, paxillin, and lipids.

Application Notes

The stated application concentrations are suggested starting points. Titration of the Vinculin antibody may be required due to differences in protocols and secondary/substrate sensitivity.

Immunogen

Amino acids 173-188 (KMIDERQQELTHQEHR) were used as the immunogen for this Vinculin antibody (100% homologous in human, mouse and rat).

Storage

After reconstitution, the Vinculin antibody can be stored for up to one month at 4oC. For long-term, aliquot and store at -20oC. Avoid repeated freezing and thawing.

Cross
Bulk Quote Request Form
Name*:
Organization*:
Email*:
Phone Number*:
Catalog No.*:
Comments and Specifics(amount, formulation, etc.)*:
Validation code: Captchapackage Image


Can't read the image? click here to refresh.
    *required field

Your bulk quote request has been submitted successfully!

Please contact us if you have any questions.