• Tel: 858.663.9055
  • SeparatorEmail: info@nsjbio.com
  • Tel: 858.663.9055
  • Email: info@nsjbio.com
Home >> Antibodies >> Vimentin Antibody

Vimentin Antibody [clone VIM66-1] (V7003)

  Catalog No Formulation Size Price (USD)  
Image V7003-100UG 0.2 mg/ml in 1X PBS with 0.1 mg/ml BSA (US sourced) and 0.05% sodium azide 100 ug 559
Image
V7003-20UG 0.2 mg/ml in 1X PBS with 0.1 mg/ml BSA (US sourced) and 0.05% sodium azide 20 ug 259
Image
V7003SAF-100UG 1 mg/ml in 1X PBS; BSA free, sodium azide free 100 ug 559
Image
V7003IHC-7ML Prediluted in 1X PBS with 0.1 mg/ml BSA (US sourced) and 0.05% sodium azide; *For IHC use only* 7 ml 559
Bulk quote request
Western blot testing of Vimentin antibody (clone VIM66-1) and Raji cell lysate. Predicted molecular weight ~58 kDa.
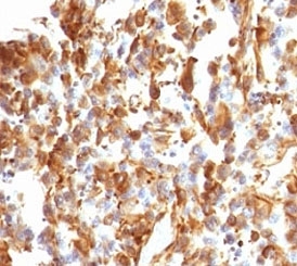
IHC analysis of FFPE human melanoma stained with Vimentin antibody (clone VIM66-1).
Species Reactivity Human
Format Purified
Host Mouse
Clonality Monoclonal (mouse origin)
Isotype Mouse IgG1, kappa
Clone Name VIM66-1
Purity Protein G affinity chromatography
Buffer 1X PBS, pH 7.4
UniProt P08670
Localization Cytoplasmic
Applications Western Blot : 1-2ug/ml
Immunohistochemistry (FFPE) : 1-2ug/ml for 30 min at RT (1)
Prediluted IHC Only Format : incubate for 30 min at RT (2)
Limitations This Vimentin antibody is available for research use only.
Review this product on BioCompare and get a $20 Amazon gift card

Related Products

  • Applications : WB, IHC
    Reactivity : Human
    Recrabbitmono
  • Applications : FACS, WB, IHC-P
    Reactivity : Human
    Microvalidated
  • Applications : FACS
    Reactivity : Human
    Microvalidated
  • Applications : WB, IHC-P, IF
    Reactivity : Human, Rabbit, Pig, Rat
  • Applications : IHC-P
    Reactivity : Human, Mouse, Rat
    Citation  Citations(11)
  • Applications : WB, IHC-P
    Reactivity : Human
    Citation  Citations(1)
  • Applications : WB, IHC-P
    Reactivity : Human
  • Applications : WB, ICC/IF, IP
    Reactivity : Human
  • Applications : IHC-P, WB, IF
    Reactivity : Human
    Rab Mono Image
  • Applications : WB, IHC-P
    Reactivity : Human
  • Applications : WB, IHC-P, IF
    Reactivity : Human, Mouse, Rat
  • Applications : IF, WB, IHC, ELISA
    Reactivity : Human, Mouse
    Pred. Reactivity : Rat, Bovine, Primate, Hamster
  • Applications : IF, WB, IHC, FACS, ELISA
    Reactivity : Human
    Pred. Reactivity : Mouse, Rat, Bovine, Pig, Primate, Chicken, Hamster, Xenopus
  • Applications : WB, IHC, FACS, ELISA
    Reactivity : Human
    Pred. Reactivity : Mouse, Rat, Bovine, Pig, Hamster
  • Applications : IF, WB, IHC, FACS, ELISA
    Reactivity : Human
  • Applications : WB, ELISA (peptide)
    Reactivity : Human, Mouse, Rat
    Pred. Reactivity : Dog, Pig, Cow

Description

Vimentins are class-III intermediate filaments found in various non-epithelial cells, especially mesenchymal cells. Vimentin is attached to the nucleus, endoplasmic reticulum, and mitochondria, either laterally or terminally. It is involved with LARP6 in the stabilization of type I collagen mRNAs for CO1A1 and CO1A2. [UniProt]

Application Notes

Titering of the Vimentin antibody may be required for optimal performance.

1. FFPE testing requires sections to be boiled in pH 9 10mM Tris with 1mM EDTA for 10-20 minutes, followed by cooling at RT for 20 minutes, prior to staining.
2. The prediluted format is supplied in a dropper bottle and is optimized for use in IHC. After epitope retrieval step (if required), drip mAb solution onto the tissue section and incubate at RT for 30 min.

Immunogen

Full length human recombinant protein was used as the immunogen for the Vimentin antibody.

Storage

Store the Vimentin antibody at 2-8oC (with azide) or aliquot and store at -20oC or colder (without azide).

Alternate Names

Vimentin antibody, VIM antibody, mesenchymal marker antibody, intermediate filament protein antibody, inflammation marker antibody, immune response marker antibody, stromal activation marker antibody

Cross
Bulk Quote Request Form
Name*:
Organization*:
Email*:
Phone Number*:
Catalog No.*:
Comments and Specifics(amount, formulation, etc.)*:
Validation code: Captchapackage Image


Can't read the image? click here to refresh.
    *required field

Your bulk quote request has been submitted successfully!

Please contact us if you have any questions.