• Tel: 858.663.9055
  • SeparatorEmail: info@nsjbio.com
  • Tel: 858.663.9055
  • Email: info@nsjbio.com
Home >> Antibodies >> Vimentin Antibody / Mechanotransduction Marker Antibody

Vimentin Antibody / Mechanotransduction Marker Antibody [clone VIM/3736] (V8161)

  Catalog No Formulation Size Price (USD)  
Image V8161-100UG 0.2 mg/ml in 1X PBS with 0.1 mg/ml BSA (US sourced) and 0.05% sodium azide 100 ug 559
Image
V8161-20UG 0.2 mg/ml in 1X PBS with 0.1 mg/ml BSA (US sourced) and 0.05% sodium azide 20 ug 259
Image
V8161SAF-100UG 1 mg/ml in 1X PBS; BSA free, sodium azide free 100 ug 559
Microvalidated
Bulk quote request
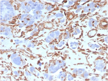
Vimentin Antibody / Mechanotransduction Marker Antibody. Immunohistochemistry analysis of FFPE human colon carcinoma tissue using Vimentin antibody shows strong HRP-DAB brown cytoplasmic staining in stromal and spindle-shaped mesenchymal cells within the tumor microenvironment, with minimal staining in most tumor epithelial cells. The rabbit monoclonal clone VIM/3736 highlights elongated, filamentous cytoplasmic structures aligned along cellular axes, consistent with force-bearing cytoskeletal organization. The distribution and morphology of Vimentin-positive cells support its role in cytoskeletal tension and mechanical signaling within tumor-associated stromal compartments.
IHC staining of FFPE human prostate carcinoma with Vimentin antibody (clone VIM/3736). HIER: boil tissue sections in pH 9 10mM Tris with 1mM EDTA for 20 min and allow to cool before testing.
Vimentin Antibody / Mechanotransduction Marker Antibody. HuProt microarray specificity analysis using Vimentin antibody demonstrates selective binding to Vimentin (VIM) among more than 19,000 full-length human proteins. The rabbit monoclonal clone VIM/3736 shows the highest signal intensity for VIM with a strong Z score and high S score, indicating high target specificity relative to other proteins on the array. This specificity supports reliable detection of Vimentin in studies of cytoskeletal tension and force-responsive cellular structures, consistent with its role in mechanotransduction-related processes.
SDS-PAGE analysis of purified, BSA-free Vimentin antibody (clone VIM/3736) as confirmation of integrity and purity.
Western blot testing of human U-87 MG cell lysate with Vimentin antibody. Expected molecular weight: 53-58 kDa.
Availability 1-3 business days
Species Reactivity Human
Format Purified
Host Mouse
Clonality Monoclonal (mouse origin)
Isotype Mouse IgG2b, kappa
Clone Name VIM/3736
Purity Protein G affinity chromatography
UniProt P08670
Localization Cytoplasmic
Applications Immunohistochemistry (FFPE) : 1-2ug/ml
Western Blot : 1-2ug/ml
Limitations This Vimentin antibody is available for research use only.
Review this product on BioCompare and get a $20 Amazon gift card

Related Products

  • Applications : WB, IHC
    Reactivity : Human
    Recrabbitmono
  • Applications : FACS, WB, IHC-P
    Reactivity : Human
    Microvalidated
  • Applications : FACS
    Reactivity : Human
    Microvalidated
  • Applications : WB, IHC-P, IF
    Reactivity : Human, Rabbit, Pig, Rat
  • Applications : IHC-P
    Reactivity : Human, Mouse, Rat
    Citation  Citations(11)
  • Applications : WB, IHC-P
    Reactivity : Human
    Citation  Citations(1)
  • Applications : WB, IHC-P
    Reactivity : Human
  • Applications : WB, IHC-P
    Reactivity : Human
  • Applications : WB, ICC/IF, IP
    Reactivity : Human
  • Applications : IHC-P, WB, IF
    Reactivity : Human
    Rab Mono Image
  • Applications : WB, IHC-P
    Reactivity : Human
  • Applications : WB, IHC-P, IF
    Reactivity : Human, Mouse, Rat
  • Applications : IF, WB, IHC, ELISA
    Reactivity : Human, Mouse
    Pred. Reactivity : Rat, Bovine, Primate, Hamster
  • Applications : IF, WB, IHC, FACS, ELISA
    Reactivity : Human
    Pred. Reactivity : Mouse, Rat, Bovine, Pig, Primate, Chicken, Hamster, Xenopus
  • Applications : WB, IHC, FACS, ELISA
    Reactivity : Human
    Pred. Reactivity : Mouse, Rat, Bovine, Pig, Hamster
  • Applications : IF, WB, IHC, FACS, ELISA
    Reactivity : Human
  • Applications : WB, ELISA (peptide)
    Reactivity : Human, Mouse, Rat
    Pred. Reactivity : Dog, Pig, Cow

Description

Vimentin (VIM) is a type III intermediate filament protein that plays a key role in mechanotransduction, enabling cells to sense and respond to mechanical forces. Vimentin Antibody / Mechanotransduction Marker Antibody is specifically positioned for studying force sensing, cytoskeletal tension, and mechanical signaling pathways. This Vimentin Antibody is uniquely positioned for analyzing how cells convert mechanical stimuli into biochemical responses, making it highly relevant for mechanobiology research. Vimentin is also referred to as Vimentin antibody and VIM antibody in the literature.

Mechanotransduction is essential for maintaining cellular integrity in tissues exposed to mechanical stress. Vimentin forms a resilient filament network that distributes forces throughout the cell, protecting against deformation while allowing adaptive responses. The Vimentin Antibody / Mechanotransduction Marker Antibody enables investigation of these processes in fibroblasts, endothelial cells, and other mechanically responsive cell types.

Vimentin interacts with focal adhesion complexes and cytoskeletal components to regulate tension and structural stability. Its expression is associated with cells that must continuously adapt to mechanical environments and maintain structural resilience.

Functionally, Vimentin participates in signaling pathways that regulate force-dependent responses and cytoskeletal tension. The Vimentin Antibody / Mechanotransduction Marker Antibody differentiator is central to this antibody, positioning it for studies focused on mechanical signaling rather than migration, adhesion alone, or EMT pathways. A Vimentin Antibody provides a powerful tool for analyzing cellular responses to mechanical forces and cytoskeletal tension dynamics.

Application Notes

Optimal dilution of the Vimentin Antibody / Mechanotransduction Marker Antibody should be determined by the researcher.

Immunogen

A recombinant human partial protein (amino acids 2-466) was used as the immunogen for this Vimentin Antibody / Mechanotransduction Marker Antibody.

Storage

Store the Vimentin antibody at 2-8oC (with azide) or aliquot and store at -20oC or colder (without azide).

Alternate Names

Vimentin antibody, VIM antibody, cytoskeletal tension marker antibody, intermediate filament protein antibody, mechanotransduction marker antibody, force sensing marker antibody, mechanical signaling marker antibody

Cross
Bulk Quote Request Form
Name*:
Organization*:
Email*:
Phone Number*:
Catalog No.*:
Comments and Specifics(amount, formulation, etc.)*:
Validation code: Captchapackage Image


Can't read the image? click here to refresh.
    *required field

Your bulk quote request has been submitted successfully!

Please contact us if you have any questions.