• Tel: 858.663.9055
  • SeparatorEmail: info@nsjbio.com
  • Tel: 858.663.9055
  • Email: info@nsjbio.com
Home >> Antibodies >> Vimentin Antibody Clone V9 / VIM Intermediate Filament Antibody

Vimentin Antibody Clone V9 / VIM Intermediate Filament Antibody [clone V9] (R30090)

  Catalog No Formulation Size Price (USD)  
Image R30090 0.5mg/ml with 1% BSA and 0.01% sodium azide if reconstituted with 0.2ml sterile 1X PBS 100 ug 449
Bulk quote request
Vimentin Antibody Clone V9. Immunofluorescence analysis of Vimentin / VIM in human intestinal cancer tissue showing strong cytoplasmic and filamentous staining (red) in stromal and mesenchymal-like cells, surrounding epithelial tumor structures. The highly published mouse monoclonal clone V9 highlights the characteristic intermediate filament network distribution of Vimentin, with signal concentrated in the cytoplasm and extending along cellular processes. Nuclei are counterstained with DAPI (blue), and the staining pattern is consistent with known Vimentin expression in tumor-associated stromal cells and cells undergoing mesenchymal transition.
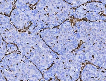
IHC staining of FFPE human invasive urothelial carcinoma tissue with Vimentin antibody. HIER: boil tissue sections in pH8 EDTA for 20 min and allow to cool before testing.
IHC staining of FFPE human invasive urothelial carcinoma tissue with Vimentin antibody. HIER: boil tissue sections in pH8 EDTA for 20 min and allow to cool before testing.
IHC staining of FFPE human lung adenocarcinoma tissue with Vimentin Antibody Clone V9. HIER: boil tissue sections in pH8 EDTA for 20 min and allow to cool before testing.
IHC staining of FFPE human colorectal adenocarcinoma tissue with Vimentin antibody. HIER: boil tissue sections in pH8 EDTA for 20 min and allow to cool before testing.
IHC staining of FFPE human liver cancer tissue with Vimentin antibody. HIER: boil tissue sections in pH8 EDTA for 20 min and allow to cool before testing.
IHC staining of FFPE human tonsil tissue with Vimentin Antibody Clone V9. HIER: boil tissue sections in pH8 EDTA for 20 min and allow to cool before testing.
IHC staining of FFPE human placental tissue with Vimentin antibody. HIER: boil tissue sections in pH8 EDTA for 20 min and allow to cool before testing.
IHC-P: Vimentin antibody testing of human breast cancer tissue. HIER: steam section in pH6 citrate buffer for 20 min.
IHC staining of FFPE rat brain tissue with Vimentin antibody. HIER: boil tissue sections in pH8 EDTA for 20 min and allow to cool before testing.
Western blot testing of human 1) HeLa, 2) A375, 3) U-87 MG and 4) HepG2 cell lysate with Vimentin Antibody Clone V9. Predicted molecular weight ~54 kDa.
Availability 1-3 business days
Species Reactivity Human, Rabbit, Pig, Rat
Format Ascites
Host Mouse
Clonality Monoclonal (mouse origin)
Isotype Mouse IgG1
Clone Name V9
Gene ID 7431
Localization Cytoplasmic, nuclear, cell membrane
Applications Western Blot : 0.5-1ug/ml
Immunohistochemistry (FFPE) : 2-5ug/ml
Immunofluorescence : 5ug/ml
Limitations This Vimentin antibody is available for research use only.
Review this product on BioCompare and get a $20 Amazon gift card

Related Products

  • Applications : WB, IHC
    Reactivity : Human
    Recrabbitmono
  • Applications : FACS, WB, IHC-P
    Reactivity : Human
    Microvalidated
  • Applications : FACS
    Reactivity : Human
    Microvalidated
  • Applications : IHC-P
    Reactivity : Human, Mouse, Rat
    Citation  Citations(11)
  • Applications : WB, IHC-P
    Reactivity : Human
    Citation  Citations(1)
  • Applications : WB, IHC-P
    Reactivity : Human
  • Applications : WB, IHC-P
    Reactivity : Human
  • Applications : WB, ICC/IF, IP
    Reactivity : Human
  • Applications : IHC-P, WB, IF
    Reactivity : Human
    Rab Mono Image
  • Applications : WB, IHC-P
    Reactivity : Human
  • Applications : WB, IHC-P, IF
    Reactivity : Human, Mouse, Rat
  • Applications : IF, WB, IHC, ELISA
    Reactivity : Human, Mouse
    Pred. Reactivity : Rat, Bovine, Primate, Hamster
  • Applications : IF, WB, IHC, FACS, ELISA
    Reactivity : Human
    Pred. Reactivity : Mouse, Rat, Bovine, Pig, Primate, Chicken, Hamster, Xenopus
  • Applications : WB, IHC, FACS, ELISA
    Reactivity : Human
    Pred. Reactivity : Mouse, Rat, Bovine, Pig, Hamster
  • Applications : IF, WB, IHC, FACS, ELISA
    Reactivity : Human
  • Applications : WB, ELISA (peptide)
    Reactivity : Human, Mouse, Rat
    Pred. Reactivity : Dog, Pig, Cow

Description

Vimentin (VIM) is a type III intermediate filament protein that forms a key component of the cytoskeleton in mesenchymal cells, where it is localized in the cytoplasm and contributes to cellular integrity, mechanical stability, and intracellular organization. Vimentin Antibody Clone V9 is developed for researchers specifically seeking the extensively published V9 clone, making it highly relevant for clone-driven searches such as V9 antibody, Vimentin clone V9 antibody, and VIM clone V9 antibody. Vimentin is also referred to as Vimentin antibody, VIM antibody, and mesenchymal marker antibody in the literature, supporting strong alignment across gene symbol, protein name, and functional terminology.

Vimentin is widely expressed in fibroblasts, endothelial cells, leukocytes, and other mesenchymal-derived cell populations, while epithelial cells typically lack expression unless undergoing epithelial-mesenchymal transition or pathological remodeling. This expression pattern has established Vimentin as one of the most widely used mesenchymal markers in cancer biology and tissue pathology research, particularly for evaluating tumor progression, invasion, and stromal composition. Its characteristic cytoplasmic filamentous staining pattern is frequently used to identify mesenchymal differentiation and cellular plasticity in both normal and diseased tissues.

Functionally, Vimentin interacts with actin filaments and microtubules to regulate cell shape, adhesion, and motility. Its dynamic organization is controlled through post-translational modifications such as phosphorylation, which influence filament assembly during mitosis, migration, and cellular stress responses. Vimentin is also implicated in wound healing, immune signaling, and developmental processes, reinforcing its importance as a multifunctional cytoskeletal protein with roles extending beyond structural support.

The clone V9 monoclonal antibody is a major differentiator in this product, as clone V9 is one of the most widely published and recognized Vimentin antibody clones in the scientific literature. Its extensive use across numerous peer-reviewed studies has driven strong search demand for V9 antibody and Vimentin clone V9 antibody, particularly among researchers aiming to replicate or compare results with established publications. Incorporating clone V9 into experimental workflows supports reproducibility, cross-study consistency, and direct alignment with historical data. A mouse monoclonal antibody based on clone V9 provides a trusted option for detecting Vimentin / VIM expression while meeting the needs of researchers prioritizing highly cited, well-characterized antibody clones.

Application Notes

The stated application concentrations are suggested starting points. Titration of the Vimentin Antibody Clone V9 may be required due to differences in protocols and secondary/substrate sensitivity.

Immunogen

Pig eye lens vimentin was used as the immunogen for this Vimentin Antibody Clone V9.

Storage

After reconstitution, the Vimentin antibody can be stored for up to one month at 4oC. For long-term, aliquot and store at -20oC. Avoid repeated freezing and thawing.

Alternate Names

VIM antibody, Vimentin intermediate filament antibody, Mesenchymal marker antibody, Type III intermediate filament antibody, Fibroblast marker antibody

Cross
Bulk Quote Request Form
Name*:
Organization*:
Email*:
Phone Number*:
Catalog No.*:
Comments and Specifics(amount, formulation, etc.)*:
Validation code: Captchapackage Image


Can't read the image? click here to refresh.
    *required field

Your bulk quote request has been submitted successfully!

Please contact us if you have any questions.