• Tel: 858.663.9055
  • SeparatorEmail: info@nsjbio.com
  • Tel: 858.663.9055
  • Email: info@nsjbio.com
Home >> Antibodies >> Villin Antibody / Apical Membrane Marker Antibody

Villin Antibody / Apical Membrane Marker Antibody [clone VIL1/2376] (V8157)

  Catalog No Formulation Size Price (USD)  
Image V8157-100UG 0.2 mg/ml in 1X PBS with 0.1 mg/ml BSA (US sourced) and 0.05% sodium azide 100 ug 559
Image
V8157-20UG 0.2 mg/ml in 1X PBS with 0.1 mg/ml BSA (US sourced) and 0.05% sodium azide 20 ug 259
Image
V8157SAF-100UG 1 mg/ml in 1X PBS; BSA free, sodium azide free 100 ug 559
Bulk quote request
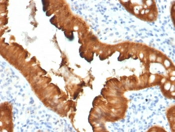
Villin Antibody. Immunohistochemistry analysis of Villin-1 (VIL1) in FFPE human colon carcinoma using Villin Antibody / Apical Membrane Marker Antibody with mouse monoclonal clone VIL1/2376. Strong HRP-DAB brown staining is observed as a sharp, continuous linear signal along the apical membrane of tumor epithelial cells, clearly outlining luminal surfaces and glandular boundaries. The distinct luminal border staining highlights the epithelial surface interface and supports Villin as an apical membrane marker for defining lumen-facing structures in colorectal carcinoma.
SDS-PAGE analysis of purified, BSA-free Villin Antibody / Apical Membrane Marker Antibody (clone VIL1/2376) as confirmation of integrity and purity.
Availability 1-3 business days
Species Reactivity Human
Format Purified
Host Mouse
Clonality Monoclonal (mouse origin)
Isotype Mouse IgG1, kappa
Clone Name VIL1/2376
Purity Protein G affinity chromatography
UniProt P09327
Localization Cell surface, cytoplasmic
Applications Immunohistochemistry (FFPE) : 1-2ug/ml
Limitations This Villin antibody is available for research use only.
Review this product on BioCompare and get a $20 Amazon gift card

Related Products

Description

Villin-1 (VIL1) is an actin-binding protein that is tightly restricted to the apical membrane of epithelial cells, where it defines the luminal surface and provides a clear boundary between epithelial tissue and the lumen. Villin Antibody / Apical Membrane Marker Antibody (clone VIL1/2376) is designed to detect this apically localized protein, and Villin antibody, also known as Villin-1 antibody or VIL1 antibody, is widely used to visualize luminal surface architecture in epithelial tissues. As an apical membrane marker, Villin produces a sharply confined signal along the lumen-facing border, making it a highly effective tool for defining epithelial surface boundaries.

Unlike polarity markers that describe cellular organization or cytoskeletal proteins that reflect structural function, Villin in this context is used specifically to outline the apical membrane as a distinct anatomical feature. Researchers using a Villin Antibody / Apical Membrane Marker Antibody are typically focused on identifying the exact location of the luminal surface, tracing glandular contours, and visualizing epithelial boundaries with high spatial precision. The signal appears as a continuous linear pattern along the lumen, clearly separating epithelial cells from adjacent spaces and highlighting surface topology.

In tissues such as the intestine, Villin staining forms a crisp luminal border that outlines villi, crypts, and glandular structures, providing a direct visual representation of epithelial surface organization. This makes it particularly useful for mapping tissue architecture, identifying gland formation, and evaluating structural changes in epithelial layers. Loss of this sharply defined apical pattern or redistribution of signal away from the luminal surface can indicate disruption of epithelial organization or structural remodeling in disease states.

This mouse monoclonal antibody (clone VIL1/2376) provides specific recognition of Villin as an apical membrane marker, enabling clear delineation of luminal surfaces in epithelial tissues. It is well suited for studies focused on epithelial boundary definition, glandular architecture, and luminal surface visualization, where precise identification of the apical membrane is the primary objective.

Application Notes

Optimal dilution of the Villin Antibody / Apical Membrane Marker Antibody should be determined by the researcher.

Immunogen

A recombinant human partial protein (amino acids 179-311) was used as the immunogen for this Villin Antibody / Apical Membrane Marker Antibody.

Storage

Store the Villin antibody at 2-8oC (with azide) or aliquot and store at -20oC or colder (without azide).

Alternate Names

Villin-1 antibody, VIL1 antibody, Villin 1 antibody, Villin antibody

Cross
Bulk Quote Request Form
Name*:
Organization*:
Email*:
Phone Number*:
Catalog No.*:
Comments and Specifics(amount, formulation, etc.)*:
Validation code: Captchapackage Image


Can't read the image? click here to refresh.
    *required field

Your bulk quote request has been submitted successfully!

Please contact us if you have any questions.