• Tel: 858.663.9055
  • SeparatorEmail: info@nsjbio.com
  • Tel: 858.663.9055
  • Email: info@nsjbio.com
Home >> Antibodies >> Villin Antibody / Microvillus Organization Protein Antibody

Villin Antibody / Microvillus Organization Protein Antibody [clone VIL1/7378R] (V4949)

  Catalog No Formulation Size Price (USD)  
Image V4949-100UG 0.2 mg/ml in 1X PBS with 0.1 mg/ml BSA (US sourced), 0.05% sodium azide 100 ug 559
Image
V4949-20UG 0.2 mg/ml in 1X PBS with 0.1 mg/ml BSA (US sourced), 0.05% sodium azide 20 ug 259
Image
V4949SAF-100UG 1 mg/ml in 1X PBS; BSA free, sodium azide free 100 ug 559
Microvalidated Recrabbitmono
Bulk quote request
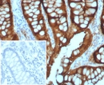
Villin Antibody. Immunohistochemistry analysis of Villin-1 (VIL1) in FFPE human colon adenocarcinoma using Villin Antibody / Microvillus Organization Protein Antibody with recombinant rabbit monoclonal clone VIL1/7378R. Strong HRP-DAB brown staining is observed along the apical membrane of tumor epithelial cells, outlining glandular luminal borders with a dense, continuous pattern consistent with organized microvillus structures. The prominent apical staining highlights actin bundle-rich regions within microvilli and supports Villin function as a microvillus organization protein regulating filament bundling, severing, and capping in epithelial cells.
Villin Antibody. Immunohistochemistry analysis of Villin-1 (VIL1) in FFPE human colon adenocarcinoma using Villin Antibody / Microvillus Organization Protein Antibody with recombinant rabbit monoclonal clone VIL1/7378R. Strong HRP-DAB brown staining is observed along the apical membrane of tumor epithelial cells, sharply outlining glandular luminal borders with a dense, continuous pattern consistent with organized microvillus structures and actin bundle architecture. The pronounced apical localization highlights microvilli-rich regions where Villin regulates filament bundling, severing, and capping. Inset shows negative control tissue with PBS in place of primary antibody, confirming specificity of staining.
Availability 1-3 business days
Species Reactivity Human
Format Purified
Host Rabbit
Clonality Recombinant Rabbit Monoclonal
Isotype Rabbit IgG, kappa
Clone Name VIL1/7378R
Purity Protein A/G affinity
UniProt P09327
Localization Cytoplasm, Cell Surface
Applications Immunohistochemistry (FFPE) : 1-2ug/ml for 30 min at RT
Limitations This Villin antibody is available for research use only.
Review this product on BioCompare and get a $20 Amazon gift card

Related Products

Description

Villin-1 (VIL1) is a calcium-regulated actin-binding protein that serves as a central organizer of microvillus structure, where it directly controls the assembly and arrangement of actin filament bundles within the brush border. Villin Antibody / Microvillus Organization Protein Antibody (clone VIL1/7378R) is designed to detect this microvillus-specific regulator, and Villin antibody, also known as Villin-1 antibody or VIL1 antibody, is widely used to study how actin filaments are organized into the tightly packed parallel bundles that define microvilli. As a microvillus organization protein, Villin operates specifically within the apical projections of epithelial cells, where structural precision of actin bundles is essential for maintaining surface architecture.

Unlike broader actin-binding proteins that regulate cytoskeletal remodeling throughout the cell, Villin is uniquely specialized for organizing actin within microvilli. Its ability to bundle actin filaments establishes the rigid core structure of each microvillus, while its severing and capping activities allow controlled remodeling of filament length and density within these confined apical projections. Researchers using a Villin Antibody / Microvillus Organization Protein Antibody are typically focused on how microvillus architecture is built and maintained at the molecular level, including how actin bundle integrity, spacing, and turnover contribute to brush border stability. This microvillus-centric positioning clearly separates this antibody from pages focused on general actin dynamics or epithelial markers.

Villin is highly concentrated within microvilli, where its activity determines the organization and resilience of the actin core. Proper Villin function supports the formation of uniform, densely packed microvillus arrays, while disruption of its actin-regulating activity can lead to disorganized filament bundles, shortened projections, or loss of brush border structure. These features make Villin a key target in studies examining microvillus assembly, epithelial surface specialization, and structural defects in intestinal tissue. Villin Antibody / Microvillus Organization Protein Antibody is therefore particularly valuable in research focused on the structural biology of microvilli and the precise regulation of actin bundle formation.

This recombinant rabbit monoclonal antibody (clone VIL1/7378R) provides specific recognition of Villin as a microvillus organization protein, supporting consistent detection of actin bundle architecture within apical projections. It is well suited for studies centered on microvillus assembly, actin bundle organization, and brush border structural integrity, where precise control of filament bundling, severing, and capping defines epithelial surface morphology.

Application Notes

Optimal dilution of the Villin Antibody / Microvillus Organization Protein Antibody should be determined by the researcher.

Immunogen

A recombinant partial protein sequence (within amino acids 600-700) from the human protein was used as the immunogen for the Villin Antibody / Microvillus Organization Protein Antibody.

Storage

Aliquot the Villin antibody and store frozen at -20oC or colder. Avoid repeated freeze-thaw cycles.

Alternate Names

Villin-1 antibody, VIL1 antibody, Villin 1 antibody, Villin antibody

Cross
Bulk Quote Request Form
Name*:
Organization*:
Email*:
Phone Number*:
Catalog No.*:
Comments and Specifics(amount, formulation, etc.)*:
Validation code: Captchapackage Image


Can't read the image? click here to refresh.
    *required field

Your bulk quote request has been submitted successfully!

Please contact us if you have any questions.