• Tel: 858.663.9055
  • SeparatorEmail: info@nsjbio.com
  • Tel: 858.663.9055
  • Email: info@nsjbio.com
Home >> Antibodies >> Villin Antibody for WB / VIL1 Western Blot Antibody

Villin Antibody for WB / VIL1 Western Blot Antibody [clone VIL1/1314] (V3357)

  Catalog No Formulation Size Price (USD)  
Image V3357-100UG 0.2 mg/ml in 1X PBS with 0.1 mg/ml BSA (US sourced) and 0.05% sodium azide 100 ug 559
Image
V3357-20UG 0.2 mg/ml in 1X PBS with 0.1 mg/ml BSA (US sourced) and 0.05% sodium azide 20 ug 259
Image
V3357SAF-100UG 1 mg/ml in 1X PBS; BSA free, sodium azide free 100 ug 559
Bulk quote request
IHC testing of FFPE human rectum tissue with Villin antibody (clone VIL1/1314). Required HIER: boil tissue sections in 10mM citrate buffer, pH 6, for 10-20 min followed by cooling at RT for 20 min.
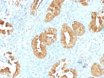
IHC testing of FFPE human colon with Villin antibody (clone VIL1/1314). Required HIER: boil tissue sections in 10mM citrate buffer, pH 6, for 10-20 min followed by cooling at RT for 20 min.
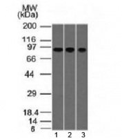
Villin Antibody for WB. Western blot analysis of VIL1 Western Blot Antibody in human epithelial-derived cell lysates using mouse monoclonal clone VIL1/1314. Lane 1: A549 lysate, Lane 2: HepG2 lysate, Lane 3: HCT-116 lysate. A band is detected at approximately 93 kDa, consistent with the predicted molecular weight of Villin-1 / VIL1. The consistent signal across these lysates supports the use of this antibody for western blot detection of brush border-associated Villin protein in epithelial biology studies.
SDS-PAGE Analysis of Purified, BSA-Free Villin Antibody for WB / VIL1 Western Blot Antibody (clone VIL1/1314). Confirmation of Integrity and Purity of the Antibody.
Species Reactivity Human
Format Purified
Host Mouse
Clonality Monoclonal (mouse origin)
Isotype Mouse IgG1, kappa
Clone Name VIL1/1314
Purity Protein G affinity chromatography
Buffer 1X PBS, pH 7.4
UniProt P09327
Localization Cytoplasmic and cell surface
Applications Western Blot : 1-2ug/ml for 60 min at RT
Immunohistochemistry (FFPE) : 0.25-0.5ug/ml for 30 min at RT
Limitations This Villin antibody is available for research use only.
Review this product on BioCompare and get a $20 Amazon gift card

Related Products

Description

Villin-1 (VIL1) is an actin-binding, calcium-regulated cytoskeletal protein localized to the apical brush border of epithelial cells, where it plays a key role in microvillus organization and epithelial polarity. Villin Antibody for WB (clone VIL1/1314) is optimized for protein detection in denatured lysates, and this VIL1 Western Blot Antibody is particularly useful for researchers analyzing epithelial protein expression through immunoblot workflows. Villin antibody, also known as Villin-1 antibody or VIL1 antibody, is widely used to confirm epithelial lineage and to evaluate brush border-associated cytoskeletal proteins in western blot experiments.

What differentiates a Villin Antibody for WB from general Villin reagents is its performance in western blot conditions where band clarity, reproducibility, and molecular weight accuracy are critical. Researchers searching for a VIL1 Western Blot Antibody are typically focused on detecting a clean ~93 kDa band and comparing signal intensity across epithelial and non-epithelial lysates. Clone VIL1/1314 supports these workflows by providing consistent band detection across multiple epithelial-derived samples, making it well suited for studies involving colon cancer cell lines, intestinal tissue lysates, and epithelial differentiation models. This strong WB positioning clearly separates it from IHC or IF-focused Villin antibodies that prioritize spatial localization rather than protein band resolution.

In western blot analysis, Villin is commonly detected as a prominent band at the expected molecular weight, while additional lower molecular weight bands may appear depending on sample preparation, proteolytic processing, or cytoskeletal turnover. These secondary bands can provide useful biological insight when comparing differentiated versus dedifferentiated epithelial states or evaluating tissue integrity under experimental conditions. A VIL1 Western Blot Antibody is therefore especially valuable in studies where band interpretation, lysate quality, and protein stability are central to the experimental design rather than secondary considerations.

Villin is highly expressed in gastrointestinal epithelium and serves as a well-established biochemical marker of epithelial origin in western blot workflows. Detection of Villin in lysates is frequently used to validate epithelial enrichment, confirm brush border protein expression, and assess structural integrity of polarized cells. This mouse monoclonal antibody provides reliable recognition of Villin in denatured protein samples, making it a strong choice for researchers prioritizing western blot performance, reproducibility, and accurate interpretation of epithelial cytoskeletal protein expression.

Application Notes

Titration of the Villin Antibody for WB / VIL1 Western Blot Antibody may be required for optimal performance.

Immunogen

Amino acids 179-311 from the human protein were used as the immunogen for this Villin Antibody for WB / VIL1 Western Blot Antibody.

Storage

Store the Villin antibody at 2-8oC (with azide) or aliquot and store at -20oC or colder (without azide).

Alternate Names

Villin-1 antibody, VIL1 antibody, Villin 1 antibody, Villin antibody

Cross
Bulk Quote Request Form
Name*:
Organization*:
Email*:
Phone Number*:
Catalog No.*:
Comments and Specifics(amount, formulation, etc.)*:
Validation code: Captchapackage Image


Can't read the image? click here to refresh.
    *required field

Your bulk quote request has been submitted successfully!

Please contact us if you have any questions.