• Tel: 858.663.9055
  • SeparatorEmail: info@nsjbio.com
  • Tel: 858.663.9055
  • Email: info@nsjbio.com
Home >> Antibodies >> Villin Antibody / Intestinal Differentiation Marker Antibody

Villin Antibody / Intestinal Differentiation Marker Antibody [clone VIL1/1314 + VIL1/2376] (V8156)

  Catalog No Formulation Size Price (USD)  
Image V8156-100UG 0.2 mg/ml in 1X PBS with 0.1 mg/ml BSA (US sourced) and 0.05% sodium azide 100 ug 559
Image
V8156-20UG 0.2 mg/ml in 1X PBS with 0.1 mg/ml BSA (US sourced) and 0.05% sodium azide 20 ug 259
Image
V8156SAF-100UG 1 mg/ml in 1X PBS; BSA free, sodium azide free 100 ug 559
Bulk quote request
Villin Antibody. Immunohistochemistry analysis of Villin-1 (VIL1) in FFPE human colon carcinoma using Villin Antibody / Intestinal Differentiation Marker Antibody with mouse monoclonal clones VIL1/1314 and VIL1/2376. Strong HRP-DAB brown staining is observed in tumor epithelial cells with prominent apical and luminal accentuation, consistent with differentiated enterocyte-like features. The staining highlights areas of maintained epithelial maturation within the carcinoma, supporting Villin as a marker of intestinal differentiation state and enterocyte lineage in colorectal tumors.
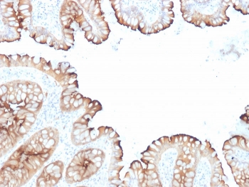
Villin Antibody. Immunohistochemistry analysis of Villin-1 (VIL1) in FFPE human small intestine using Villin Antibody / Intestinal Differentiation Marker Antibody with mouse monoclonal clones VIL1/1314 and VIL1/2376. Strong HRP-DAB brown staining is observed in mature enterocytes lining the villi, with prominent apical and luminal membrane accentuation consistent with a differentiated epithelial phenotype. The uniform staining pattern highlights fully developed intestinal epithelial architecture and supports Villin as a robust marker of enterocyte differentiation and epithelial maturation in normal small intestine tissue.
Availability 1-3 business days
Species Reactivity Human
Format Purified
Host Mouse
Clonality Monoclonal (mouse origin)
Isotype Mouse IgG1, kappa + Mouse IgG1, kappa
Clone Name VIL1/1314 + VIL1/2376
Purity Protein G affinity chromatography
UniProt P09327
Localization Cell surface, cytoplasmic
Applications Immunohistochemistry (FFPE) : 1-2ug/ml
Limitations This Villin antibody cocktail is available for research use only.
Review this product on BioCompare and get a $20 Amazon gift card

Related Products

Description

Villin-1 (VIL1) is an actin-binding cytoskeletal protein that serves as a well-established marker of intestinal epithelial differentiation, with expression tightly linked to mature enterocytes and functional epithelial maturation. Villin Antibody / Intestinal Differentiation Marker Antibody (clones VIL1/1314 + VIL1/2376) is designed to detect this differentiation-associated protein, and Villin antibody, also known as Villin-1 antibody or VIL1 antibody, is widely used to assess enterocyte lineage and differentiation state within the gastrointestinal epithelium. As an intestinal differentiation marker, Villin expression is minimal in undifferentiated progenitor cells and becomes strongly upregulated as cells acquire mature absorptive characteristics.

The transition from intestinal stem or progenitor cells to fully differentiated enterocytes is accompanied by increased Villin expression, making it a reliable indicator of epithelial maturation status. Researchers using a Villin Antibody / Intestinal Differentiation Marker Antibody are typically focused on distinguishing differentiated enterocytes from less differentiated or dedifferentiated cell populations. This is particularly important in studies of intestinal development, epithelial regeneration, and cancer, where loss of differentiation is a defining feature of tumor progression. The use of dual mouse monoclonal clones VIL1/1314 and VIL1/2376 enhances detection across samples with varying expression levels, supporting consistent identification of differentiation status.

In normal intestinal tissue, Villin expression is strongly associated with mature enterocytes lining the luminal surface, reflecting a fully differentiated epithelial state. In contrast, reduced or heterogeneous Villin expression is often observed in poorly differentiated tumors or regenerating epithelium, where cells have not fully acquired enterocyte identity. This makes Villin a valuable marker for assessing epithelial differentiation gradients, identifying lineage commitment, and evaluating the extent of dedifferentiation in pathological samples. Villin Antibody / Intestinal Differentiation Marker Antibody is therefore particularly useful in studies where differentiation state, rather than simple epithelial presence, is the primary biological question.

This dual-clone mouse monoclonal antibody combination (VIL1/1314 + VIL1/2376) provides robust and consistent recognition of Villin as an intestinal differentiation marker, supporting reliable detection of enterocyte maturation across a range of epithelial samples. It is well suited for research focused on intestinal lineage specification, epithelial maturation, and differentiation state, where precise identification of differentiated versus undifferentiated epithelial cells is essential.

Application Notes

Optimal dilution of the Villin Antibody / Intestinal Differentiation Marker Antibody should be determined by the researcher.

Immunogen

A recombinant human partial protein (amino acids 179-311) was used as the immunogen for this Villin Antibody / Intestinal Differentiation Marker Antibody.

Storage

Store the Villin antibody cocktail at 2-8oC (with azide) or aliquot and store at -20oC or colder (without azide).

Alternate Names

Villin-1 antibody, VIL1 antibody, Villin 1 antibody, Villin antibody

Cross
Bulk Quote Request Form
Name*:
Organization*:
Email*:
Phone Number*:
Catalog No.*:
Comments and Specifics(amount, formulation, etc.)*:
Validation code: Captchapackage Image


Can't read the image? click here to refresh.
    *required field

Your bulk quote request has been submitted successfully!

Please contact us if you have any questions.