• Tel: 858.663.9055
  • SeparatorEmail: info@nsjbio.com
  • Tel: 858.663.9055
  • Email: info@nsjbio.com
Home >> Antibodies >> VIL1 Antibody / Enterocyte Functional Marker Antibody

VIL1 Antibody / Enterocyte Functional Marker Antibody [clone rVIL1/8336] (V4947)

  Catalog No Formulation Size Price (USD)  
Image V4947-100UG 0.2 mg/ml in 1X PBS with 0.1 mg/ml BSA (US sourced), 0.05% sodium azide 100 ug 559
Image
V4947-20UG 0.2 mg/ml in 1X PBS with 0.1 mg/ml BSA (US sourced), 0.05% sodium azide 20 ug 259
Image
V4947SAF-100UG 1 mg/ml in 1X PBS; BSA free, sodium azide free 100 ug 559
Microvalidated Recmousemono
Bulk quote request
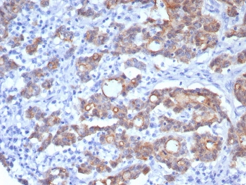
VIL1 Antibody for IHC. Immunohistochemistry analysis of Villin-1 (VIL1) in FFPE human colon adenocarcinoma using VIL1 Antibody / Enterocyte Functional Marker Antibody with recombinant rabbit monoclonal clone rVIL1/8336. HRP-DAB brown staining is observed in tumor epithelial cells with predominantly cytoplasmic and apical localization, highlighting gland-forming structures and luminal surfaces. The staining pattern supports Villin expression in enterocyte-like tumor cells and aligns with its role as a functional marker of intestinal epithelial activity and absorptive cell phenotype in colorectal adenocarcinoma.
Availability 1-3 business days
Species Reactivity Human
Format Purified
Host Mouse
Clonality Recombinant Mouse Monoclonal
Isotype Mouse IgG1, kappa
Clone Name rVIL1/8336
Purity Protein A/G affinity
UniProt P09327
Localization Cytoplasm, Cell Surface
Applications Immunohistochemistry (FFPE) : 1-2ug/ml for 30 min at RT
Limitations This VIL1 antibody is available for research use only.
Review this product on BioCompare and get a $20 Amazon gift card

Related Products

Description

Villin-1 (VIL1) is a key actin-associated protein expressed in absorptive epithelial cells, where it contributes to the functional organization of the intestinal surface. VIL1 Antibody / Enterocyte Functional Marker Antibody (clone rVIL1/8336) is positioned to detect Villin in studies focused on epithelial physiology and absorptive function. VIL1 antibody, also referred to as Villin-1 antibody or Villin antibody, is widely used in research examining enterocyte biology and intestinal epithelial activity.

This VIL1 Antibody / Enterocyte Functional Marker Antibody is differentiated by its focus on functional enterocyte biology rather than structural identity or differentiation status. While Villin is commonly used as a differentiation marker, its biological significance extends to maintaining the specialized architecture required for nutrient absorption and epithelial function. Villin contributes to the stability and adaptability of actin networks that support absorptive processes at the luminal surface.

Enterocytes rely on tightly regulated cytoskeletal organization to maintain efficient transport, membrane turnover, and barrier function. Villin plays an important role in these processes by modulating actin filament dynamics in a way that supports epithelial function under varying physiological conditions. This includes adaptation to dietary changes, epithelial renewal, and maintenance of intestinal homeostasis.

For researchers, this VIL1 antibody is particularly valuable in studies of intestinal physiology, epithelial absorption mechanisms, and enterocyte functional states, where Villin expression reflects active epithelial function rather than simply lineage identity. Clone rVIL1/8336 provides a tool aligned with functional and physiological investigations of intestinal epithelium.

Application Notes

Optimal dilution of the VIL1 Antibody / Enterocyte Functional Marker Antibody should be determined by the researcher.

Immunogen

A recombinant partial protein sequence (within amino acids 600-700) from the human protein was used as the immunogen for the VIL1 Antibody / Enterocyte Functional Marker Antibody.

Storage

Aliquot the VIL1 antibody and store frozen at -20oC or colder. Avoid repeated freeze-thaw cycles.

Alternate Names

Villin-1 antibody, VIL1 enterocyte marker antibody, Villin absorptive cell marker antibody, Villin intestinal function antibody

Cross
Bulk Quote Request Form
Name*:
Organization*:
Email*:
Phone Number*:
Catalog No.*:
Comments and Specifics(amount, formulation, etc.)*:
Validation code: Captchapackage Image


Can't read the image? click here to refresh.
    *required field

Your bulk quote request has been submitted successfully!

Please contact us if you have any questions.