• Tel: 858.663.9055
  • SeparatorEmail: info@nsjbio.com
  • Tel: 858.663.9055
  • Email: info@nsjbio.com
Home >> Antibodies >> VIL1 Antibody for WB / Villin Western Blot Antibody

VIL1 Antibody for WB / Villin Western Blot Antibody (F54302)

  Catalog No Formulation Size Price (USD)  
Image F54302-0.4ML In 1X PBS, pH 7.4, with 0.09% sodium azide 0.4 ml 439
Image
F54302-0.08ML In 1X PBS, pH 7.4, with 0.09% sodium azide 0.08 ml 205
Bulk quote request
VIL1 Antibody for WB. Western blot analysis of Villin-1 (VIL1) protein expression in multiple epithelial-derived lysates using a rabbit polyclonal antibody. Lane 1: human HT-29 lysate, Lane 2: human HepG2 lysate, Lane 3: human COLO205 lysate, Lane 4: mouse colon lysate. A band is detected at approximately 93 kDa using the Villin Western Blot Antibody, consistent with the predicted molecular weight of Villin-1 / VIL1. This banding pattern aligns with the known enrichment of Villin in epithelial cells and supports its role as a brush border cytoskeletal marker commonly detected in western blot analysis of intestinal and epithelial-derived samples.
VIL1 Antibody for WB. Western blot analysis of Villin-1 (VIL1) protein expression in epithelial and epithelial-derived lysates using a rabbit polyclonal antibody. Lane 1: human HepG2 lysate, Lane 2: human HT-29 lysate, Lane 3: mouse kidney lysate. A band is detected at approximately 93 kDa with the Villin Western Blot Antibody, consistent with the predicted molecular weight of Villin-1 / VIL1. The strong signal in epithelial-derived cell lines and detectable expression in kidney lysate align with the known distribution of Villin in polarized epithelial tissues, supporting its use as a reliable western blot marker of brush border-associated cytoskeletal structure and epithelial differentiation.
Western blot testing of human 1) Caco-2 and 2) HT-29 cell lysate with VIL1 antibody. Predicted molecular weight ~93 kDa.
VIL1 Antibody for WB. Western blot analysis of Villin-1 (VIL1) protein expression in epithelial-derived lysates using a rabbit polyclonal antibody. Lane 1: human HT-29 lysate, Lane 2: human SW480 lysate, Lane 3: mouse colon lysate. A band is detected at approximately 93 kDa, consistent with the predicted molecular weight of Villin-1 / VIL1. Additional lower molecular weight bands are observed in some lanes, which may reflect proteolytic processing or partial degradation products commonly seen in cytoskeletal proteins under certain lysis conditions. The strong signal in colon-derived samples aligns with the known enrichment of Villin in intestinal epithelium, supporting its use as a robust western blot marker for epithelial brush border structure and differentiation.
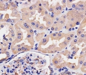
IHC testing of FFPE human kidney tissue with VIL1 antibody. HIER: steam section in pH6 citrate buffer for 20 min and allow to cool prior to staining.
Flow cytometry testing of fixed and permeabilized human HeLa cells with VIL1 antibody; Blue=isotype control, Green= VIL1 antibody.
Availability 1-3 business days
Species Reactivity Human, Mouse
Format Purified
Host Rabbit
Clonality Polyclonal (rabbit origin)
Isotype Rabbit Ig
Purity Antigen affinity purified
UniProt P09327
Localization Cytoplasmic and cell surface
Applications Western Blot : 1:500-1:2000
Immunohistochemistry (FFPE) : 1:25
Flow Cytometry : 1:25 (1x10e6 cells)
Limitations This VIL1 antibody is available for research use only.
Review this product on BioCompare and get a $20 Amazon gift card

Related Products

Description

Villin-1 (VIL1) is an actin-binding, calcium-regulated cytoskeletal protein of the gelsolin superfamily that localizes to the apical brush border of epithelial cells, particularly within intestinal and absorptive tissues. VIL1 Antibody for WB is specifically suited for western blot applications where detection of Villin protein expression, band pattern interpretation, and epithelial lineage confirmation are required. Villin antibody, also referred to as Villin-1 antibody or VIL1 antibody, is widely used in immunoblot workflows to assess epithelial differentiation status and to verify the presence of brush border-associated cytoskeletal proteins in lysate-based systems.

Unlike general-purpose Villin antibodies that are often optimized for tissue staining, a VIL1 Antibody for WB is selected by researchers who need reliable performance in denaturing protein conditions and clear band resolution in western blot analysis. This distinction is critical for studies comparing epithelial versus non-epithelial samples, evaluating differentiation states in cancer cell lines, or confirming enrichment of apical membrane fractions. Western blot detection of Villin provides a direct readout of epithelial structural integrity, making this antibody particularly valuable in workflows focused on protein extraction, sample preparation, and comparative lysate profiling rather than histological localization.

In western blot experiments, Villin is typically observed as a dominant full-length band, while additional bands may appear depending on biological context, proteolytic processing, or sample handling conditions. These banding patterns can provide insight into cytoskeletal remodeling, epithelial damage, or tumor-associated changes in protein stability. Because of this, VIL1 Antibody for WB is frequently used in studies where interpretation of band size, intensity, and potential cleavage products is essential. Researchers analyzing intestinal tissue, epithelial-derived cancers, or polarized cell models often rely on western blot-based Villin detection to confirm brush border protein expression alongside other epithelial markers.

Functionally, Villin regulates actin filament bundling, severing, and capping, supporting microvillus assembly and apical surface organization. Its strong expression in gastrointestinal epithelium and consistent presence in epithelial lysates make it a dependable target for western blot validation of epithelial origin and structural differentiation. This rabbit polyclonal VIL1 Western Blot Antibody provides broad epitope recognition, supporting robust detection in western blot workflows where protein denaturation and sample variability can impact signal strength. As a result, Villin Western Blot Antibody serves as a highly effective tool for researchers prioritizing immunoblot-based analysis of epithelial cytoskeletal architecture and protein expression.

Application Notes

The stated application concentrations are suggested starting points. Titration of the VIL1 Antibody for WB / Villin Western Blot Antibody may be required due to differences in protocols and secondary/substrate sensitivity.

Immunogen

A portion of amino acids 180-207 from the human protein were used as the immunogen for the VIL1 Antibody for WB / Villin Western Blot Antibody.

Storage

Aliquot the VIL1 antibody and store frozen at -20oC or colder. Avoid repeated freeze-thaw cycles.

Alternate Names

Villin-1 antibody, VIL1 antibody, Villin 1 antibody, Villin antibody

Cross
Bulk Quote Request Form
Name*:
Organization*:
Email*:
Phone Number*:
Catalog No.*:
Comments and Specifics(amount, formulation, etc.)*:
Validation code: Captchapackage Image


Can't read the image? click here to refresh.
    *required field

Your bulk quote request has been submitted successfully!

Please contact us if you have any questions.