• Tel: 858.663.9055
  • SeparatorEmail: info@nsjbio.com
  • Tel: 858.663.9055
  • Email: info@nsjbio.com
Home >> Antibodies >> VGF Antibody

VGF Antibody (R31090)

  Catalog No Formulation Size Price (USD)  
Image R31090 0.5mg/ml if reconstituted with 0.2ml sterile DI water 100 ug 449
Bulk quote request
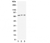
Western blot testing of VGF antibody and Lane 1: human U87; 2: (h) SHG-44; 3: mouse Neuro-2a cell lysate. Expected molecular weight: ~90/70kDa (unprocessed/processed).
Availability 1-3 business days
Species Reactivity Human, Mouse, Rat
Format Antigen affinity purified
Host Rabbit
Clonality Polyclonal (rabbit origin)
Isotype Rabbit IgG
Purity Antigen affinity
Buffer Lyophilized from 1X PBS with 2.5% BSA and 0.025% sodium azide/thimerosal
UniProt O15240
Applications Western Blot : 0.5-1ug/ml
Limitations This VGF antibody is available for research use only.
Review this product on BioCompare and get a $20 Amazon gift card

Description

VGF, also called NERP-2 (Neuroendocrine regulatory peptide-2), is a protein and neuropeptide that may play a role in regulating energy homeostasis, metabolism. Canu et al. (1997) noted that rat Vgf encodes a predicted 70-kD polypeptide that shares similarities with the secretogranin/chromogranin family and is found in the secretory granules of subsets of neurons and endocrine cells. By fluorescence in situ hybridization, Canu et al. (1997) assigned the VGF gene to 7q22. Canu et al. (1997) demonstrated that the single-copy human gene spans 6 kb of genomic DNA and contains 2 exons. The entire protein is encoded by exon 2, while exon 1 contains only 5-prime untranslated sequence. The structural organization of the human gene is similar to that described for the rat gene (Salton et al., 1991), and both the translated and the untranslated regions show a high degree of sequence homology to the rat gene.

Application Notes

The stated application concentrations are suggested starting amounts. Titration of the VGF antibody may be required due to differences in protocols and secondary/substrate sensitivity.

Immunogen

An amino acid sequence from the C-terminus of human VGF (QARRAQEEAEAEERRLQEQ) was used as the immunogen for this VGF antibody.

Storage

After reconstitution, the VGF antibody can be stored for up to one month at 4oC. For long-term, aliquot and store at -20oC. Avoid repeated freezing and thawing.

Cross
Bulk Quote Request Form
Name*:
Organization*:
Email*:
Phone Number*:
Catalog No.*:
Comments and Specifics(amount, formulation, etc.)*:
Validation code: Captchapackage Image


Can't read the image? click here to refresh.
    *required field

Your bulk quote request has been submitted successfully!

Please contact us if you have any questions.