• Tel: 858.663.9055
  • SeparatorEmail: info@nsjbio.com
  • Tel: 858.663.9055
  • Email: info@nsjbio.com
Home >> Antibodies >> VEGFR-1 Antibody / FLT1

VEGFR-1 Antibody / FLT1 (RQ8496)

  Catalog No Formulation Size Price (USD)  
Image RQ8496 0.5mg/ml if reconstituted with 0.2ml sterile DI water 100 ug 449
Bulk quote request
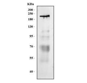
Western blot testing of human placental tissue lysate with VEGFR-1 antibody. Predicted molecular weight ~150 kDa but may be observed at higher molecular weights due to glycosylation.
Availability 1-3 days
Species Reactivity Human
Format Antigen affinity purified
Host Rabbit
Clonality Polyclonal (rabbit origin)
Isotype Rabbit IgG
Purity Antigen affinity purified
Buffer Lyophilized from 1X PBS with 2% Trehalose
UniProt P17948
Applications Western Blot : 0.5-1ug/ml
ELISA : 0.1-0.5ug/ml
Limitations This VEGFR-1 antibody is available for research use only.
Review this product on BioCompare and get a $20 Amazon gift card

Related Products

Description

Vascular endothelial growth factor receptor 1 is a protein that in humans is encoded by the FLT1 gene. This gene encodes a member of the vascular endothelial growth factor receptor (VEGFR) family. VEGFR family members are receptor tyrosine kinases (RTKs) which contain an extracellular ligand-binding region with seven immunoglobulin (Ig)-like domains, a transmembrane segment, and a tyrosine kinase (TK) domain within the cytoplasmic domain. This protein binds to VEGFR-A, VEGFR-B and placental growth factor and plays an important role in angiogenesis and vasculogenesis. Expression of this receptor is found in vascular endothelial cells, placental trophoblast cells and peripheral blood monocytes. Multiple transcript variants encoding different isoforms have been found for this gene. Isoforms include a full-length transmembrane receptor isoform and shortened, soluble isoforms. The soluble isoforms are associated with the onset of pre-eclampsia.

Application Notes

Optimal dilution of the VEGFR-1 antibody should be determined by the researcher.

Immunogen

An E.coli-derived human recombinant protein (amino acids S27-R73) was used as the immunogen for the VEGFR-1 antibody.

Storage

After reconstitution, the VEGFR-1 antibody can be stored for up to one month at 4oC. For long-term, aliquot and store at -20oC. Avoid repeated freezing and thawing.

Cross
Bulk Quote Request Form
Name*:
Organization*:
Email*:
Phone Number*:
Catalog No.*:
Comments and Specifics(amount, formulation, etc.)*:
Validation code: Captchapackage Image


Can't read the image? click here to refresh.
    *required field

Your bulk quote request has been submitted successfully!

Please contact us if you have any questions.