• Tel: 858.663.9055
  • SeparatorEmail: info@nsjbio.com
  • Tel: 858.663.9055
  • Email: info@nsjbio.com
Home >> Antibodies >> VEGFD Antibody

VEGFD Antibody (F49567)

  Catalog No Formulation Size Price (USD)  
Image F49567-0.4ML In 1X PBS, pH 7.4, with 0.09% sodium azide 0.4 ml 439
Image
F49567-0.08ML In 1X PBS, pH 7.4, with 0.09% sodium azide 0.08 ml 205
Bulk quote request
Western blot analysis of VEGFD antibody and 293 lysate. Expected molecular weight: 40-53 kDa (pro-form), ~21 kDa (mature/active form).
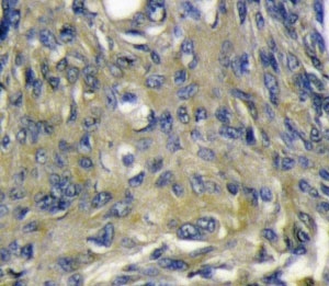
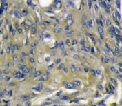
VEGFD antibody immunohistochemistry analysis in formalin fixed and paraffin embedded mouse heart tissue.
Availability 1-3 business days
Species Reactivity Human
Format Purified
Host Rabbit
Clonality Polyclonal (rabbit origin)
Isotype Rabbit Ig
Purity Purified
UniProt O43915
Applications Western Blot : 1:1000
IHC (Paraffin) : 1:10-1:50
Limitations This VEGFD antibody is available for research use only.
Review this product on BioCompare and get a $20 Amazon gift card

Related Products

Description

The protein encoded by this gene is a member of the platelet-derived growth factor/vascular endothelial growth factor (PDGF/VEGF) family and is active in angiogenesis, lymphangiogenesis, and endothelial cell growth. This secreted protein undergoes a complex proteolytic maturation, generating multiple processed forms which bind and activate VEGFR-2 and VEGFR-3 receptors. This protein is structurally and functionally similar to vascular endothelial growth factor C.

Application Notes

Titration of the VEGFD antibody may be required due to differences in protocols and secondary/substrate sensitivity.

Immunogen

A portion of amino acids 322-352 from the human protein was used as the immunogen for this VEGFD antibody.

Storage

Aliquot the VEGFD antibody and store frozen at -20oC or colder. Avoid repeated freeze-thaw cycles.

Cross
Bulk Quote Request Form
Name*:
Organization*:
Email*:
Phone Number*:
Catalog No.*:
Comments and Specifics(amount, formulation, etc.)*:
Validation code: Captchapackage Image


Can't read the image? click here to refresh.
    *required field

Your bulk quote request has been submitted successfully!

Please contact us if you have any questions.