• Tel: 858.663.9055
  • SeparatorEmail: info@nsjbio.com
  • Tel: 858.663.9055
  • Email: info@nsjbio.com
Home >> Antibodies >> VEGFB Antibody / VEGF2

VEGFB Antibody / VEGF2 (F40132)

  Catalog No Formulation Size Price (USD)  
Image F40132-0.4ML In 1X PBS, pH 7.4, with 0.09% sodium azide 0.4 ml 439
Image
F40132-0.08ML In 1X PBS, pH 7.4, with 0.09% sodium azide 0.08 ml 205
Bulk quote request
Western blot analysis of VEGFB antibody and 293 cell lysate (2 ug/lane) either nontransfected (Lane 1) or transiently transfected with the VEGF2/VEGFB gene (2). Expected molecular weight: 22-32 kDa depending on glycosylation level.
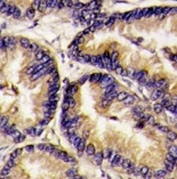
IHC analysis of FFPE human lung carcinoma tissue stained with VEGFB antibody.
Availability 1-3 business days
Species Reactivity Human
Format Purified
Host Rabbit
Clonality Polyclonal (rabbit origin)
Isotype Rabbit Ig
Purity Purified
UniProt P49765
Localization Secreted
Applications Western Blot : 1:1000
IHC (Paraffin) : 1:10-1:50
Limitations This VEGFB antibody is available for research use only.
Review this product on BioCompare and get a $20 Amazon gift card

Related Products

  • Applications : WB, Direct ELISA
    Reactivity : Human, Mouse, Rat
  • Applications : WB, IHC-P, ELISA
    Reactivity : Mouse, Rat
  • Applications : WB, ELISA
    Reactivity : Human, Mouse, Rat

Description

Vascular endothelial growth factors (VEGFs) are a family of closely related growth factors having a conserved pattern of eight cysteine residues and sharing common VEGF receptors. VEGFs stimulate endothelial cells, induce angiogenesis, promote cell migration, increase vascular permeability, and inhibit apoptosis. VEGFB has structural similarities to VEGF and PIGF and is frequently co-expressed with VEGF. There are two alternatively spliced isoforms of VEGFB: VEGFB 167 and VEGFB 186. VEGFB 167, a highly basic heparin-binding protein, remains with the cell or extracellular matrix whereas, VEGFB 186 is readily secreted. VEGFB stimulates endothelial cell proliferation. VEGFB binds to the tyrosine kinase receptor VEGFR1 (flt1) and does not bind to VEGFR2. Vascular Endothelial Growth Factor B is widely expressed but is most abundant in heart, skeletal muscle, and pancreas. It has been suggested that VEGFB expression in human primary breast cancers is associated with lymph node metastasis. The genes that encode VEGFB have been mapped to chromosome 11q13.

Application Notes

Titration of the VEGFB antibody may be required due to differences in protocols and secondary/substrate sensitivity.

Immunogen

A portion of amino acids 110-139 from the human protein was used as the immunogen for this VEGFB antibody.

Storage

Aliquot the VEGFB antibody and store frozen at -20oC or colder. Avoid repeated freeze-thaw cycles.

Cross
Bulk Quote Request Form
Name*:
Organization*:
Email*:
Phone Number*:
Catalog No.*:
Comments and Specifics(amount, formulation, etc.)*:
Validation code: Captchapackage Image


Can't read the image? click here to refresh.
    *required field

Your bulk quote request has been submitted successfully!

Please contact us if you have any questions.