• Tel: 858.663.9055
  • SeparatorEmail: info@nsjbio.com
  • Tel: 858.663.9055
  • Email: info@nsjbio.com
Home >> Antibodies >> VEGFA Antibody / Vascular Endothelial Growth Factor A

VEGFA Antibody / Vascular Endothelial Growth Factor A [clone ADB-22] (RQ5490)

  Catalog No Formulation Size Price (USD)  
Image RQ5490 Antibody in PBS with 0.02% sodium azide, 50% glycerol and 0.4-0.5mg/ml BSA 100 ul 449
Microvalidated Rab Mono Image
Bulk quote request
IF/ICC staining of HUVEC with VEGFA antibody (green) and DAPI nuclear stain (blue).
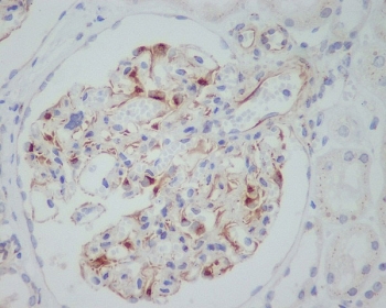
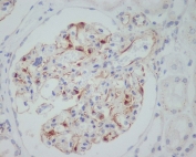
IHC staining of FFPE human kidney tissue with VEGFA antibody. HIER: boil tissue sections in pH6, 10mM citrate buffer, for 10-20 min and allow to cool before testing.
Availability 1-2 weeks
Species Reactivity Human
Format Purified
Host Rabbit
Clonality Rabbit Monoclonal
Isotype Rabbit IgG
Clone Name ADB-22
Purity Affinity purified
UniProt P15692
Localization Cytoplasmic
Applications Immunohistochemistry (FFPE) : 1:100-1:250
Immunofluorescence/Immunocytochemistry : 1:100-1:250
Limitations This VEGFA antibody is available for research use only.
Review this product on BioCompare and get a $20 Amazon gift card

Related Products

Description

The VEGFA gene is a member of the PDGF/VEGF growth factor family. It encodes a heparin-binding protein, which exists as a disulfide-linked homodimer. This growth factor induces proliferation and migration of vascular endothelial cells, and is essential for both physiological and pathological angiogenesis. Disruption of this gene in mice resulted in abnormal embryonic blood vessel formation. This gene is upregulated in many known tumors and its expression is correlated with tumor stage and progression. Elevated levels of this protein are found in patients with POEMS syndrome, also known as Crow-Fukase syndrome. Allelic variants of this gene have been associated with microvascular complications of diabetes 1 (MVCD1) and atherosclerosis. Alternatively spliced transcript variants encoding different isoforms have been described. There is also evidence for alternative translation initiation from upstream non-AUG (CUG) codons resulting in additional isoforms. A recent study showed that a C-terminally extended isoform is produced by use of an alternative in-frame translation termination codon via a stop codon readthrough mechanism, and that this isoform is antiangiogenic. Expression of some isoforms derived from the AUG start codon is regulated by a small upstream open reading frame, which is located within an internal ribosome entry site. [RefSeq]

Application Notes

Optimal dilution of the VEGFA antibody should be determined by the researcher.

Immunogen

A synthetic peptide specific to human VEGFA / Vascular Endothelial Growth Factor A was used as the immunogen for the VEGFA antibody.

Storage

Store the VEGFA antibody at -20oC.

Cross
Bulk Quote Request Form
Name*:
Organization*:
Email*:
Phone Number*:
Catalog No.*:
Comments and Specifics(amount, formulation, etc.)*:
Validation code: Captchapackage Image


Can't read the image? click here to refresh.
    *required field

Your bulk quote request has been submitted successfully!

Please contact us if you have any questions.