• Tel: 858.663.9055
  • SeparatorEmail: info@nsjbio.com
  • Tel: 858.663.9055
  • Email: info@nsjbio.com
Home >> Antibodies >> VEGF Receptor 3 Antibody

VEGF Receptor 3 Antibody (RQ4081)

  Catalog No Formulation Size Price (USD)  
Image RQ4081 0.5mg/ml if reconstituted with 0.2ml sterile DI water 100 ug 449
Bulk quote request
IHC testing of FFPE human lung cancer tissue with VEGF Receptor 3 antibody at 1ug/ml. Required HIER: steam section in pH6 citrate buffer for 20 min and allow to cool prior to testing.
IHC testing of FFPE human rectal cancer tissue with VEGF Receptor 3 antibody at 1ug/ml. Required HIER: steam section in pH6 citrate buffer for 20 min and allow to cool prior to testing.
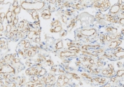
IHC testing of FFPE human prostate cancer tissue with VEGF Receptor 3 antibody at 1ug/ml. Required HIER: steam section in pH6 citrate buffer for 20 min and allow to cool prior to testing.
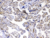
IHC testing of FFPE human placental tissue with VEGF Receptor 3 antibody at 1ug/ml. Required HIER: steam section in pH6 citrate buffer for 20 min and allow to cool prior to testing.
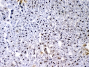
IHC testing of FFPE mouse liver tissue with VEGF Receptor 3 antibody at 1ug/ml. Required HIER: steam section in pH6 citrate buffer for 20 min and allow to cool prior to testing.
IHC testing of FFPE rat liver tissue with VEGF Receptor 3 antibody at 1ug/ml. Required HIER: steam section in pH6 citrate buffer for 20 min and allow to cool prior to testing.
Western blot testing of rat liver lysate with VEGF Receptor 3 antibody at 0.5ug/ml. Predicted molecular weight ~153 kDa (long), ~147 kDa (short) and ~93 kDa (sVegfr3)
IHC testing of frozen human placental tissue with VEGF Receptor 3 antibody.
Immunofluorescent staining of FFPE human A431 cells with VEGF Receptor 3 antibody (green) at 2ug/ml and DAPI nuclear stain (blue). HIER: steam section in pH6 citrate buffer for 20 min.
Immunofluorescent staining of FFPE human A431 cells with VEGF Receptor 3 antibody (green) at 2ug/ml and DAPI nuclear stain (blue). HIER: steam section in pH6 citrate buffer for 20 min.
Flow cytometry testing of human U-2 OS cells with VEGF Receptor 3 antibody at 1ug/million cells (blocked with goat sera); Red=cells alone, Green=isotype control, Blue= VEGF Receptor 3 antibody.
Availability 1-3 business days
Species Reactivity Human, Mouse, Rat
Format Antigen affinity purified
Host Rabbit
Clonality Polyclonal (rabbit origin)
Isotype Rabbit IgG
Purity Antigen affinity purified
Buffer Lyophilized from 1X PBS with 2% Trehalose
UniProt P35916
Localization Cell membrane, cytoplasm, nucleus
Applications Western Blot : 0.5-1ug/ml
Immunohistochemistry : 1-2ug/ml
Immunofluorescence : 2-4ug/ml
Flow Cytometry : 1-3ug/million cells
Direct ELISA : 0.1-0.5ug/ml
Limitations This VEGF Receptor 3 antibody is available for research use only.
Review this product on BioCompare and get a $20 Amazon gift card

Related Products

Description

Fms-related tyrosine kinase 4, also known as FLT4 or VEGFR3, is a protein which in humans is encoded by the FLT4 gene. It is mapped to 5q35.3. This gene encodes a tyrosine kinase receptor for vascular endothelial growth factors C and D. The protein is thought to be involved in lymphangiogenesis and maintenance of the lymphatic endothelium. FLT4 has an essential role in the development of the embryonic cardiovascular system before the emergence of the lymphatic vessels. It has been found that FLT4, which provides proangiogenic signaling when expressed on endothelium, may also have antiangiogenic properties when expressed at an avascular site by nonendothelial cells. FLT4 is also regarded as a regulator of vascular network formation.

Application Notes

Optimal dilution of the VEGF Receptor 3 antibody should be determined by the researcher.

Immunogen

A recombinant human partial protein corresponding to amino acids Y25-N259 was used as the immunogen for the VEGF Receptor 3 antibody.

Storage

After reconstitution, the VEGF Receptor 3 antibody can be stored for up to one month at 4oC. For long-term, aliquot and store at -20oC. Avoid repeated freezing and thawing.

Cross
Bulk Quote Request Form
Name*:
Organization*:
Email*:
Phone Number*:
Catalog No.*:
Comments and Specifics(amount, formulation, etc.)*:
Validation code: Captchapackage Image


Can't read the image? click here to refresh.
    *required field

Your bulk quote request has been submitted successfully!

Please contact us if you have any questions.