• Tel: 858.663.9055
  • SeparatorEmail: info@nsjbio.com
  • Tel: 858.663.9055
  • Email: info@nsjbio.com
Home >> Antibodies >> VEGF Antibody / Vascular Endothelial Growth Factor

VEGF Antibody / Vascular Endothelial Growth Factor [clone VEGFA/7635R] (V5114)

  Catalog No Formulation Size Price (USD)  
Image V5114-100UG 0.2 mg/ml in 1X PBS with 0.1 mg/ml BSA (US sourced), 0.05% sodium azide 100 ug 559
Image
V5114-20UG 0.2 mg/ml in 1X PBS with 0.1 mg/ml BSA (US sourced), 0.05% sodium azide 20 ug 259
Image
V5114SAF-100UG 1 mg/ml in 1X PBS; BSA free, sodium azide free 100 ug 559
Microvalidated Recrabbitmono
Bulk quote request
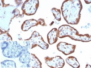
IHC staining of FFPE human placental tissue with VEGF antibody (clone VEGFA/7635R). Inset: PBS used in place of primary Ab (secondary Ab negative control). HIER: boil tissue sections in pH 9 10mM Tris with 1mM EDTA for 20 min and allow to cool before testing.
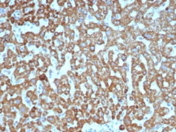
IHC staining of FFPE human liver tissue with VEGF antibody (clone VEGFA/7635R). HIER: boil tissue sections in pH 9 10mM Tris with 1mM EDTA for 20 min and allow to cool before testing.
IHC staining of FFPE human heart tissue with VEGF antibody (clone VEGFA/7635R). HIER: boil tissue sections in pH 9 10mM Tris with 1mM EDTA for 20 min and allow to cool before testing.
Availability 1-3 business days
Species Reactivity Human
Format Purified
Host Rabbit
Clonality Recombinant Rabbit Monoclonal
Isotype Rabbit IgG1, kappa
Clone Name VEGFA/7635R
Purity Protein A/G affinity
UniProt P15692
Localization Cytoplasm, Cell surface, Extracellular (secreted)
Applications Immunohistochemistry (FFPE) : 1-2ug/ml for 30 min at RT
Limitations This VEGF antibody is available for research use only.
Review this product on BioCompare and get a $20 Amazon gift card

Related Products

Description

This mAb recognizes proteins of 19-22kDa (reducing) and 38kDa-44kDa (non-reducing), identified as various isoforms of Vascular Endothelial Growth Factor or Vascular Permeability Factor (VEGF/VPF). It is highly specific to VEGF, which is a homodimeric, disulfide-linked glycoprotein with a close homology to platelet derived growth factor (PDGF). There are multiple isoforms of VEGF containing 206-, 189-, 165-, and 121-amino acid residues. The smaller two isoforms, VEGF165 and VEGF121, are secreted proteins and act as diffusible agents, whereas the larger two remain cell associated. VEGF/VPF plays an important role in angiogenesis, which promotes tumor progression and metastasis.

Application Notes

Optimal dilution of the VEGF antibody should be determined by the researcher.

Immunogen

A recombinant partial protein sequence (within amino acids 1-200) from the human protein was used as the immunogen for the VEGF antibody.

Storage

Aliquot the VEGF antibody and store frozen at -20oC or colder. Avoid repeated freeze-thaw cycles.

Cross
Bulk Quote Request Form
Name*:
Organization*:
Email*:
Phone Number*:
Catalog No.*:
Comments and Specifics(amount, formulation, etc.)*:
Validation code: Captchapackage Image


Can't read the image? click here to refresh.
    *required field

Your bulk quote request has been submitted successfully!

Please contact us if you have any questions.