• Tel: 858.663.9055
  • SeparatorEmail: info@nsjbio.com
  • Tel: 858.663.9055
  • Email: info@nsjbio.com
Home >> Antibodies >> VE Cadherin Antibody / Cadherin 5 / CDH5

VE Cadherin Antibody / Cadherin 5 / CDH5 (RQ4336)

  Catalog No Formulation Size Price (USD)  
Image RQ4336 0.5mg/ml if reconstituted with 0.2ml sterile DI water 100 ug 449
Bulk quote request
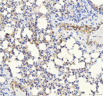
Immunohistochemistry of VE Cadherin / Cadherin 5 in mouse lung tissue. Formalin-fixed, paraffin-embedded mouse lung tissue stained with VE Cadherin antibody shows membranous staining in endothelial cells lining alveolar capillaries and small blood vessels, with minimal signal in surrounding alveolar epithelial cells and interstitial tissue. Antigen retrieval was performed by boiling tissue sections in EDTA buffer, pH 8.0, for 20 minutes, followed by cooling prior to immunostaining.
IHC staining of FFPE rat lung tissue with VE Cadherin antibody. HIER: boil tissue sections in pH8 EDTA for 20 min and allow to cool before testing.
Western blot testing of mouse lung tissue lysate with VE Cadherin antibody at 0.5ug/ml. Expected molecular weight: 90~140 kDa depending on glycosylation level.
Availability 1-3 business days
Species Reactivity Mouse, Rat
Format Antigen affinity purified
Host Rabbit
Clonality Polyclonal (rabbit origin)
Isotype Rabbit IgG
Purity Antigen affinity purified
Buffer Lyophilized from 1X PBS with 2% Trehalose
UniProt P55284
Localization Cell junction
Applications Western Blot : 0.5-1ug/ml
Immunohistochemistry (FFPE) : 1-2ug/ml
ELISA (Capture; Mouse Recombinant Protein) : 1-5ug/ml
Limitations This VE Cadherin antibody is available for research use only.
Review this product on BioCompare and get a $20 Amazon gift card

Related Products

Description

VE Cadherin Antibody / Cadherin 5 recognizes Cadherin 5, a calcium-dependent cell adhesion protein that is selectively expressed in endothelial cells and plays a central role in vascular integrity. Cadherin 5 is encoded by the CDH5 gene and is a key component of adherens junctions, where it mediates homophilic cell-cell adhesion between neighboring endothelial cells. Through these junctions, VE Cadherin helps maintain endothelial barrier function and coordinates vascular stability under both physiological and pathological conditions.

Cadherin 5, also widely referred to as vascular endothelial cadherin or VE-cadherin in the literature, is a transmembrane protein belonging to the classical cadherin family. Its extracellular domain facilitates calcium-dependent adhesion, while the cytoplasmic tail interacts with catenins and the actin cytoskeleton to link cell junctions to intracellular signaling and structural networks. This organization allows VE Cadherin to integrate mechanical forces and signaling cues within the vascular endothelium.

Expression of VE Cadherin is largely restricted to endothelial cells lining blood and lymphatic vessels, making it one of the most specific markers for endothelial identity. As a result, VE Cadherin antibody is frequently used to visualize endothelial cell junctions and vascular structures in tissue sections. In immunohistochemical and immunofluorescence studies, Cadherin 5 typically localizes to the cell membrane at sites of cell-cell contact, reflecting its role in adherens junction formation and maintenance.

Cadherin 5 plays important roles in angiogenesis, vascular remodeling, and endothelial permeability regulation. Alterations in VE Cadherin expression or junctional organization have been associated with inflammation, tumor angiogenesis, and vascular dysfunction. Because of its involvement in endothelial signaling and barrier control, Cadherin 5 has been extensively studied in cardiovascular research, cancer biology, and inflammatory disease models. Use of a VE Cadherin antibody supports investigation of endothelial junction dynamics and vascular biology across diverse experimental systems.

VE Cadherin Antibody / Cadherin 5 is designed to detect Cadherin 5 in research applications. Detection of CDH5 expression enables assessment of endothelial cell distribution, vascular architecture, and junctional organization in cell- and tissue-based studies. Overall, Cadherin 5 remains a foundational endothelial marker and a critical protein for understanding vascular development, maintenance, and disease-associated changes.

Application Notes

Optimal dilution of the VE Cadherin antibody should be determined by the researcher.

Immunogen

A recombinant mouse protein corresponding to amino acids D46-E285 was used as the immunogen for the VE Cadherin antibody.

Storage

After reconstitution, the VE Cadherin antibody can be stored for up to one month at 4oC. For long-term, aliquot and store at -20oC. Avoid repeated freezing and thawing.

Cross
Bulk Quote Request Form
Name*:
Organization*:
Email*:
Phone Number*:
Catalog No.*:
Comments and Specifics(amount, formulation, etc.)*:
Validation code: Captchapackage Image


Can't read the image? click here to refresh.
    *required field

Your bulk quote request has been submitted successfully!

Please contact us if you have any questions.