• Tel: 858.663.9055
  • SeparatorEmail: info@nsjbio.com
  • Tel: 858.663.9055
  • Email: info@nsjbio.com
Home >> Antibodies >> VCAM1 Antibody / CD106

VCAM1 Antibody / CD106 (RQ4185)

  Catalog No Formulation Size Price (USD)  
Image RQ4185 0.5mg/ml if reconstituted with 0.2ml sterile DI water 100 ug 449
Bulk quote request
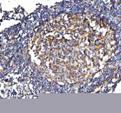
Immunohistochemical staining of FFPE human tonsil tissue with VCAM1 antibody, HRP-secondary and DAB substrate. HIER: boil tissue sections in pH8 EDTA for 20 min and allow to cool before testing.
Immunohistochemical staining of FFPE human tonsil tissue with VCAM1 antibody, HRP-secondary and DAB substrate. HIER: boil tissue sections in pH8 EDTA for 20 min and allow to cool before testing.
Immunohistochemical staining of FFPE human appendix tissue with VCAM1 antibody, HRP-secondary and DAB substrate. HIER: boil tissue sections in pH8 EDTA for 20 min and allow to cool before testing.
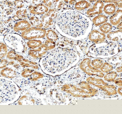
Immunohistochemical staining of FFPE human kidney tissue with VCAM1 antibody, HRP-secondary and DAB substrate. HIER: boil tissue sections in pH8 EDTA for 20 min and allow to cool before testing.
Availability 1-3 business days
Species Reactivity Human
Format Antigen affinity purified
Host Rabbit
Clonality Polyclonal (rabbit origin)
Isotype Rabbit IgG
Purity Antigen affinity purified
Buffer Lyophilized from 1X PBS with 2% Trehalose
UniProt P19320
Applications Immunohistochemistry (FFPE) : 2-5ug/ml
ELISA (Capture) : 0.1-0.5ug/ml (BSA-free format available)
Limitations This VCAM1 antibody is available for research use only.
Review this product on BioCompare and get a $20 Amazon gift card

Related Products

Description

VCAM1 antibody targets Vascular cell adhesion molecule 1 (VCAM1), also known as CD106, a cell surface glycoprotein that plays a central role in leukocyte adhesion and immune cell trafficking. VCAM1 is a member of the immunoglobulin superfamily and is expressed primarily on activated endothelial cells. The protein localizes to the plasma membrane, where it mediates adhesion of circulating leukocytes through interaction with integrins such as VLA-4 on immune cells. Through this mechanism, VCAM1 regulates immune cell recruitment to sites of inflammation and tissue injury.

Functionally, VCAM1 expression is induced by pro-inflammatory cytokines and cellular stress signals, enabling endothelial cells to capture and retain immune cells from the bloodstream. This adhesion step is critical for subsequent leukocyte transmigration across the vascular wall and entry into inflamed tissues. VCAM1 contributes to both acute and chronic inflammatory responses and plays a role in shaping immune surveillance and tissue-specific immune interactions. A VCAM1 antibody supports studies examining endothelial activation and immune cell adhesion processes.

VCAM1 is also involved in vascular biology beyond immune recruitment. Its expression influences endothelial cell signaling, cytoskeletal organization, and vascular permeability. In pathological settings, sustained VCAM1 upregulation is associated with vascular inflammation and altered tissue microenvironments. Because of its inducible expression pattern, VCAM1 is widely used as a marker of endothelial activation in experimental models of inflammation and immune response. A VCAM1 antibody enables analysis of VCAM1 expression dynamics under physiological and inflammatory conditions.

From a biological and disease-relevance perspective, VCAM1 has been extensively studied in cardiovascular disease, autoimmune disorders, and cancer-related inflammation. Dysregulated VCAM1-mediated adhesion contributes to inappropriate immune cell infiltration and chronic inflammatory states. VCAM1 expression has also been linked to tumor-associated vasculature and immune cell interactions within the tumor microenvironment, highlighting its broader relevance in disease-associated vascular remodeling.

At the molecular level, VCAM1 is encoded by the VCAM1 gene and produces a protein of approximately 739 amino acids, consisting of multiple immunoglobulin-like domains that support ligand binding. The cytoplasmic tail of VCAM1 participates in intracellular signaling events that reinforce adhesion and endothelial activation. Regulation of VCAM1 expression occurs primarily at the transcriptional level in response to inflammatory cues. A VCAM1 antibody supports research applications focused on inflammation, vascular biology, and immune cell-endothelial interactions, with NSJ Bioreagents providing reagents intended for research use.

Application Notes

Optimal dilution of the VCAM1 antibody should be determined by the researcher.

Immunogen

A recombinant human protein corresponding to amino acids F25-L270 was used as the immunogen for the VCAM1 antibody.

Storage

After reconstitution, the VCAM1 antibody can be stored for up to one month at 4oC. For long-term, aliquot and store at -20oC. Avoid repeated freezing and thawing.

Cross
Bulk Quote Request Form
Name*:
Organization*:
Email*:
Phone Number*:
Catalog No.*:
Comments and Specifics(amount, formulation, etc.)*:
Validation code: Captchapackage Image


Can't read the image? click here to refresh.
    *required field

Your bulk quote request has been submitted successfully!

Please contact us if you have any questions.