• Tel: 858.663.9055
  • SeparatorEmail: info@nsjbio.com
  • Tel: 858.663.9055
  • Email: info@nsjbio.com
Home >> Antibodies >> Vcam-1 Antibody

Vcam-1 Antibody (RQ4233)

  Catalog No Formulation Size Price (USD)  
Image RQ4233 0.5mg/ml if reconstituted with 0.2ml sterile DI water 100 ug 449
Bulk quote request
Western blot testing of rat 1) spleen, 2) thymus, 3) testis, 4) kidney and 5) lung lysate with Vcam-1 antibody at 0.5ug/ml. Expected molecular weight: 74-110 kDa depending on glycosylation level.
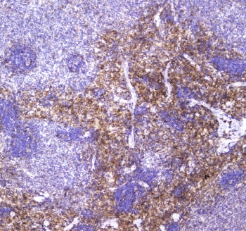
IHC testing of FFPE rat spleen tissue with Vcam-1 antibody at 1ug/ml. Required HIER: steam section in pH6 citrate buffer for 20 min and allow to cool prior to staining.
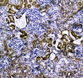
IHC testing of FFPE rat kidney tissue with Vcam-1 antibody at 1ug/ml. Required HIER: steam section in pH6 citrate buffer for 20 min and allow to cool prior to staining.
Availability 1-3 business days
Species Reactivity Rat
Format Antigen affinity purified
Host Rabbit
Clonality Polyclonal (rabbit origin)
Isotype Rabbit IgG
Purity Antigen affinity purified
Buffer Lyophilized from 1X PBS with 2% Trehalose and 0.025% sodium azide
UniProt P29534
Localization Cytoplasmic, membrane
Applications Western Blot : 0.5-1ug/ml
IHC (FFPE) : 1-2ug/ml
Direct ELISA : 0.1-0.5ug/ml
Limitations This Vcam-1 antibody is available for research use only.
Review this product on BioCompare and get a $20 Amazon gift card

Related Products

Description

CD106 (cluster of differentiation 106) also known as vascular cell adhesion molecule 1 (VCAM-1), is a protein that in humans is encoded by the VCAM1 gene. In inflammatory conditions and in cardiac allografts undergoing rejection, VCAM1 is upregulated in endothelium of postcapillary venules. Arterial expression of VCAM1 is also found in experimental models of atherosclerosis in the rabbit. This gene is mapped to chromosome 1 by Southern analysis of somatic cell hybrids. VCAM-1 functions as a cell adhesion molecule. The VCAM-1 protein mediates the adhesion of lymphocytes, monocytes, eosinophils, andbasophils to vascularendothelium. It also functions in leukocyte-endothelial cell signal transduction, and it may play a role in the development ofatherosclerosis and rheumatoid arthritis. CAM741 works similar to cotransin in that it represses the biosynthesis of VCAM1 cells by blocking the process of cotranslational translocation, which is dependent on the signal peptide of VCAM1. Among the lung metastasis signature genes identified, several, including VCAM1, were functionally validated.

Application Notes

Optimal dilution of the Vcam-1 antibody should be determined by the researcher.

Immunogen

A recombinant rat protein corresponding to amino acids F25-L270 was used as the immunogen for the VCAM1 antibody.

Storage

After reconstitution, the Vcam-1 antibody can be stored for up to one month at 4oC. For long-term, aliquot and store at -20oC. Avoid repeated freezing and thawing.

Cross
Bulk Quote Request Form
Name*:
Organization*:
Email*:
Phone Number*:
Catalog No.*:
Comments and Specifics(amount, formulation, etc.)*:
Validation code: Captchapackage Image


Can't read the image? click here to refresh.
    *required field

Your bulk quote request has been submitted successfully!

Please contact us if you have any questions.