• Tel: 858.663.9055
  • SeparatorEmail: info@nsjbio.com
  • Tel: 858.663.9055
  • Email: info@nsjbio.com
Home >> Antibodies >> VAP-1 Antibody / AOC3

VAP-1 Antibody / AOC3 (F54455)

  Catalog No Formulation Size Price (USD)  
Image F54455-0.4ML In 1X PBS, pH 7.4, with 0.09% sodium azide 0.4 ml 439
Image
F54455-0.08ML In 1X PBS, pH 7.4, with 0.09% sodium azide 0.08 ml 205
Bulk quote request
Western blot testing of human 1) lung and 2) liver lysate with VAP-1 antibody. Predicted molecular weight ~85 kDa but may be observed at higher molecular weights due to glycosylation.
Western blot testing of human CCRF-CEM lysate with VAP-1 antibody. Predicted molecular weight ~85 kDa but may be observed at higher molecular weights due to glycosylation.
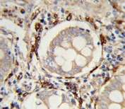
IHC testing of FFPE human colon carcinoma tissue with VAP-1 antibody. HIER: steam section in pH6 citrate buffer for 20 min and allow to cool prior to staining.
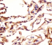
IHC testing of FFPE human lung tissue with VAP-1 antibody. HIER: steam section in pH6 citrate buffer for 20 min and allow to cool prior to staining.
Flow cytometry testing of human CCRF-CEM cells with VAP-1 antibody; Blue=isotype control, Green= VAP-1 antibody.
Availability 1-3 business days
Species Reactivity Human
Format Purified
Host Rabbit
Clonality Polyclonal (rabbit origin)
Isotype Rabbit Ig
Purity Antigen affinity purified
UniProt Q16853
Applications Western Blot : 1:500-1:2000
Flow Cytometry : 1:25 (1x10e6 cells)
Immunohistochemistry (FFPE) : 1:25
Limitations This VAP-1 antibody is available for research use only.
Review this product on BioCompare and get a $20 Amazon gift card

Related Products

  • Applications : IHC, ELISA (peptide)
    Reactivity : Human
    Pred. Reactivity : Mouse, Rat
  • Applications : WB, ELISA (peptide)
    Reactivity : Human
    Pred. Reactivity : Mouse, Rat

Description

Copper amine oxidases catalyze the oxidative conversion of amines to aldehydes in the presence of copper and quinone cofactor. The product is a major protein on the adipocyte plasma membrane. It has adhesive properties and also has functional monoamine oxidase activity.

Application Notes

The stated application concentrations are suggested starting points. Titration of the VAP-1 antibody may be required due to differences in protocols and secondary/substrate sensitivity.

Immunogen

A portion of amino acids 613-640 from the human protein was used as the immunogen for the VAP-1 antibody.

Storage

Aliquot the VAP-1 antibody and store frozen at -20oC or colder. Avoid repeated freeze-thaw cycles.

Cross
Bulk Quote Request Form
Name*:
Organization*:
Email*:
Phone Number*:
Catalog No.*:
Comments and Specifics(amount, formulation, etc.)*:
Validation code: Captchapackage Image


Can't read the image? click here to refresh.
    *required field

Your bulk quote request has been submitted successfully!

Please contact us if you have any questions.