• Tel: 858.663.9055
  • SeparatorEmail: info@nsjbio.com
  • Tel: 858.663.9055
  • Email: info@nsjbio.com
Home >> Antibodies >> VAMP4 Antibody

VAMP4 Antibody (RQ6405)

  Catalog No Formulation Size Price (USD)  
Image RQ6405 0.5mg/ml if reconstituted with 0.2ml sterile DI water 100 ug 449
Bulk quote request
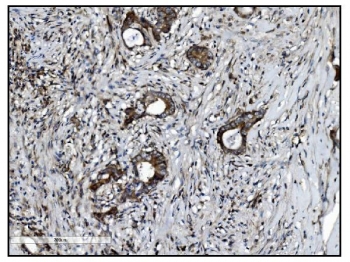
IHC staining of FFPE human breast cancer with VAMP4 antibody. HIER: boil tissue sections in pH8 EDTA for 20 min and allow to cool before testing.
IHC staining of FFPE mouse brain tissue with VAMP4 antibody. HIER: boil tissue sections in pH8 EDTA for 20 min and allow to cool before testing.
IHC staining of FFPE rat brain tissue with VAMP4 antibody. HIER: boil tissue sections in pH8 EDTA for 20 min and allow to cool before testing.
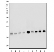
Western blot testing of human 1) U-87 MG, 2) T-47D, 3) K562, 4) PC-3, 5) ThP-1, 6) HEK293, 7) HL60, 8) rat brain and 9) mouse brain tissue lysate with VAMP4 antibody. Predicted molecular weight ~16 kDa.
Flow cytometry testing of human PC-3 cells with VAMP4 antibody at 1ug/million cells (blocked with goat sera); Red=cells alone, Green=isotype control, Blue= VAMP4 antibody.
Availability 1-3 business days
Species Reactivity Human, Mouse, Rat
Format Purified
Host Rabbit
Clonality Polyclonal (rabbit origin)
Isotype Rabbit IgG
Purity Antigen affinity purified
Buffer Lyophilized from 1X PBS with 2% Trehalose
UniProt O75379
Localization Cytoplasmic (Glogi)
Applications Western Blot : 0.5-1ug/ml
Immunohistochemistry (FFPE) : 2-5ug/ml
Flow Cytometry : 1-3ug/million cells
Direct ELISA : 0.1-0.5ug/ml
Limitations This VAMP4 antibody is available for research use only.
Review this product on BioCompare and get a $20 Amazon gift card

Description

Vesicle-associated membrane protein 4 is a protein that in humans is encoded by the VAMP4 gene. Synaptobrevins/VAMPs, syntaxins, and the 25-kD synaptosomal-associated protein SNAP25 are the main components of a protein complex involved in the docking and/or fusion of synaptic vesicles with the presynaptic membrane. The protein encoded by this gene is a member of the vesicle-associated membrane protein (VAMP)/synaptobrevin family. This protein may play a role in trans-Golgi network-to-endosome transport.

Application Notes

Optimal dilution of the VAMP4 antibody should be determined by the researcher.

Immunogen

Recombinant human protein (amino acids M1-A118) was used as the immunogen for the VAMP4 antibody.

Storage

After reconstitution, the VAMP4 antibody can be stored for up to one month at 4oC. For long-term, aliquot and store at -20oC. Avoid repeated freezing and thawing.

Cross
Bulk Quote Request Form
Name*:
Organization*:
Email*:
Phone Number*:
Catalog No.*:
Comments and Specifics(amount, formulation, etc.)*:
Validation code: Captchapackage Image


Can't read the image? click here to refresh.
    *required field

Your bulk quote request has been submitted successfully!

Please contact us if you have any questions.