• Tel: 858.663.9055
  • SeparatorEmail: info@nsjbio.com
  • Tel: 858.663.9055
  • Email: info@nsjbio.com
Home >> Antibodies >> V5 Tag Antibody

V5 Tag Antibody (F52064)

  Catalog No Formulation Size Price (USD)  
Image F52064-0.4ML In 1X PBS, pH 7.4, with 0.09% sodium azide 0.4 ml 439
Image
F52064-0.08ML In 1X PBS, pH 7.4, with 0.09% sodium azide 0.08 ml 205
Bulk quote request
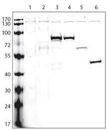
Lanes: 1: non-transfected cells; 2: V5-tagged empty plasmid; and V5-tagged proteins: 3-A, 4-B, 5-C, 6-D; Data courtesy of Dr. Gustavo Gutierrez, Burnham Institute for Medical Research.
Western blot analysis of V5 Tag antibody and 12 tagged protein lysate.
Availability 1-3 business days
Format Purified
Host Rabbit
Clonality Polyclonal (rabbit origin)
Isotype Rabbit Ig
Purity Purified
Applications Western Blot : 1:1000
Limitations This V5 Tag antibody is available for research use only.
Review this product on BioCompare and get a $20 Amazon gift card

Related Products

Description

Epitope tags consisting of short sequences recognized by well-characterizated antibodies have been widely used in the study of protein expression in various systems. The V5 epitope tag is is composed of a 14 residue peptide, GKPIPNPLLGLDST, derived from a small epitope (Pk) present on the P and V proteins of the paramyxovirus of simian virus 5 (SV5). NSJBio's anti-V5 tag polyclonal antibody provides a simple solution to detect the expression of a V5-tagged protein in cells.

Application Notes

Titration of the V5 Tag antibody may be required due to differences in protocols and secondary/substrate sensitivity.

Immunogen

The V5 sequence GKPIPNPLLGLDST was used as the immunogen for the V5 tag antibody.

Storage

Aliquot the V5 Tag antibody and store frozen at -20oC or colder. Avoid repeated freeze-thaw cycles.

Cross
Bulk Quote Request Form
Name*:
Organization*:
Email*:
Phone Number*:
Catalog No.*:
Comments and Specifics(amount, formulation, etc.)*:
Validation code: Captchapackage Image


Can't read the image? click here to refresh.
    *required field

Your bulk quote request has been submitted successfully!

Please contact us if you have any questions.