• Tel: 858.663.9055
  • SeparatorEmail: info@nsjbio.com
  • Tel: 858.663.9055
  • Email: info@nsjbio.com
Home >> Antibodies >> UVRAG Antibody

UVRAG Antibody (F54723)

  Catalog No Formulation Size Price (USD)  
Image F54723-0.4ML In 1X PBS, pH 7.4, with 0.09% sodium azide 0.4 ml 439
Image
F54723-0.08ML In 1X PBS, pH 7.4, with 0.09% sodium azide 0.08 ml 205
Bulk quote request
Immunoprecipitation and western blot analysis using UVRAG antibody with 293T cells. UVRAG is immunoprecipitated (Lane 2) and detected in 293T cell transiently transfected with mouse UVRAG (Lane 1). Detection of endogenous UVRAG is shown in 293T cells (Lane 3) but is reduced by UVRAG siRNA transfection (Lane 4). Data courtesy of Dr. Hong-Gang Wang, Moffitt Cancer Center, Tampa, FL.
Immunofluorescent staining of fixed and permeabilized human U-251 cells (treated with 50 uM Chloroquine for 16 hr) with UVRAG antibody (green) and Hoechst 33342 nuclear stain (blue).
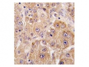
IHC testing of FFPE human hepatocarcinoma tissue with UVRAG antibody. HIER: steam section in pH6 citrate buffer for 20 min and allow to cool prior to staining.
Availability 1-3 business days
Species Reactivity Human, Mouse
Format Purified
Host Rabbit
Clonality Polyclonal (rabbit origin)
Isotype Rabbit Ig
Purity Purified
UniProt Q9P2Y5
Applications Immunofluorescence : 1:25
Immunohistochemistry (FFPE) : 1:25
Western Blot : 1:500-1:2000
Limitations This UVRAG antibody is available for research use only.
Review this product on BioCompare and get a $20 Amazon gift card

Description

UVRAG complements the ultraviolet sensitivity of xeroderma pigmentosum group C cells and encodes a protein with a C2 domain. The protein activates the Beclin1-PI(3)KC3 complex, promoting autophagy and suppressing the proliferation and tumorigenicity of human colon cancer cells. Chromosomal aberrations involving this gene are associated with left-right axis malformation and mutations in this gene have been associated with colon cancer.

Application Notes

The stated application concentrations are suggested starting points. Titration of the UVRAG antibody may be required due to differences in protocols and secondary/substrate sensitivity.

Immunogen

A portion of amino acids 666-699 from the human protein was used as the immunogen for the UVRAG antibody.

Storage

Aliquot the UVRAG antibody and store frozen at -20oC or colder. Avoid repeated freeze-thaw cycles.

Cross
Bulk Quote Request Form
Name*:
Organization*:
Email*:
Phone Number*:
Catalog No.*:
Comments and Specifics(amount, formulation, etc.)*:
Validation code: Captchapackage Image


Can't read the image? click here to refresh.
    *required field

Your bulk quote request has been submitted successfully!

Please contact us if you have any questions.