• Tel: 858.663.9055
  • SeparatorEmail: info@nsjbio.com
  • Tel: 858.663.9055
  • Email: info@nsjbio.com
Home >> Antibodies >> USP7 Antibody / HAUSP

USP7 Antibody / HAUSP (RQ4283)

  Catalog No Formulation Size Price (USD)  
Image RQ4283 0.5mg/ml if reconstituted with 0.2ml sterile DI water 100 ug 449
Bulk quote request
Western blot testing of human 1) HeLa, 2) 22RV1, 3) A431, 4) HepG2, 5) HepG2, 6) SGC-7901, 7) A549, 8) rat brain and 9) mouse testis lysate with USP7 antibody at 0.5ug/ml. Predicted molecular weight ~128 kDa, observed at ~135 kDa.
IHC testing of FFPE human breast cancer tissue with USP7 antibody at 1ug/ml. Required HIER: steam section in pH6 citrate buffer for 20 min and allow to cool prior to staining.
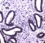
IHC testing of FFPE human placental tissue with USP7 antibody at 1ug/ml. Required HIER: steam section in pH6 citrate buffer for 20 min and allow to cool prior to staining.
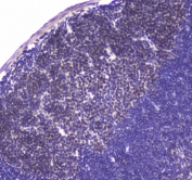
IHC testing of FFPE mouse lymph node tissue with USP7 antibody at 1ug/ml. Required HIER: steam section in pH6 citrate buffer for 20 min and allow to cool prior to staining.
IF/ICC staining of FFPE human U-2 OS cells with USP7 antibody (green) at 2ug/ml and DAPI nuclear stain (blue). HIER: steam section in pH6 citrate buffer for 20 min.
IF/ICC staining of FFPE human U-2 OS cells with USP7 antibody (green) at 2ug/ml. HIER: steam section in pH6 citrate buffer for 20 min.
Flow cytometry testing of human A549 cells with USP7 antibody at 1ug/10^6 cells (blocked with goat sera); Red=cells alone, Green=isotype control, Blue= USP7 antibody.
Availability 1-3 business days
Species Reactivity Human, Mouse, Rat
Format Antigen affinity purified
Host Rabbit
Clonality Polyclonal (rabbit origin)
Isotype Rabbit IgG
Purity Antigen affinity purified
Buffer Lyophilized from 1X PBS with 2% Trehalose and 0.025% sodium azide
UniProt Q93009
Localization Nuclear
Applications Western Blot : 0.5-1ug/ml
Immunohistochemistry (FFPE) : 1-2ug/ml
Immunofluorescence/Immunocytochemistry : 2-4ug/ml
Flow Cytometry : 1-3ug/10^6 cells
Direct ELISA : 0.1-0.5ug/ml
Limitations This USP7 antibody is available for research use only.
Review this product on BioCompare and get a $20 Amazon gift card

Related Products

Description

Ubiquitin-specific-processing protease 7 (USP7), also known as ubiquitin carboxyl-terminal hydrolase 7 or herpesvirus-associated ubiquitin-specific protease (HAUSP), is an enzyme that in humans is encoded by the USP7 gene. The protein encoded by this gene belongs to the peptidase C19 family, which includes ubiquitinyl hydrolases. This protein deubiquitinates target proteins such as p53 (a tumor suppressor protein) and WASH (essential for endosomal protein recycling), and regulates their activities by counteracting the opposing ubiquitin ligase activity of proteins such as HDM2 and TRIM27, involved in the respective process. Mutations in this gene have been implicated in a neurodevelopmental disorder.

Application Notes

Optimal dilution of the USP7 antibody should be determined by the researcher.

Immunogen

A recombinant human protein corresponding to amino acids L258-D483 was used as the immunogen for the USP7 antibody.

Storage

After reconstitution, the USP7 antibody can be stored for up to one month at 4oC. For long-term, aliquot and store at -20oC. Avoid repeated freezing and thawing.

Cross
Bulk Quote Request Form
Name*:
Organization*:
Email*:
Phone Number*:
Catalog No.*:
Comments and Specifics(amount, formulation, etc.)*:
Validation code: Captchapackage Image


Can't read the image? click here to refresh.
    *required field

Your bulk quote request has been submitted successfully!

Please contact us if you have any questions.