• Tel: 858.663.9055
  • SeparatorEmail: info@nsjbio.com
  • Tel: 858.663.9055
  • Email: info@nsjbio.com
Home >> Antibodies >> USP28 Antibody

USP28 Antibody (R36098)

  Catalog No Formulation Size Price (USD)  
Image R36098-100UG 0.5 mg/ml in 1X TBS, pH7.3, with 0.5% BSA (US sourced) and 0.02% sodium azide 100 ug 475
Bulk quote request
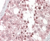
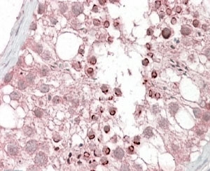
IHC testing of FFPE human testis with USP28 antibody at 4ug/ml. HIER: steamed with pH6 citrate buffer, AP-staining.
Availability 1-3 business days
Species Reactivity Human
Predicted Reactivity Cow
Format Antigen affinity purified
Host Goat
Clonality Polyclonal (goat origin)
Isotype Goat Ig
Purity Antigen affinity
Gene ID 57646
Applications Immunohistochemistry (FFPE) : 2.5-5ug/ml
ELISA (peptide) LOD : 1:64000
Limitations This USP28 antibody is available for research use only.
Review this product on BioCompare and get a $20 Amazon gift card

Description

Additional name(s) for this target protein: Ubiquitin specific peptidase 28

Application Notes

Optimal dilution of the USP28 antibody should be determined by the researcher.

Immunogen

Amino acids SVELKHYIQEDN were used as the immunogen for this USP28 antibody.

Storage

Aliquot and store the USP28 antibody at -20oC.

Cross
Bulk Quote Request Form
Name*:
Organization*:
Email*:
Phone Number*:
Catalog No.*:
Comments and Specifics(amount, formulation, etc.)*:
Validation code: Captchapackage Image


Can't read the image? click here to refresh.
    *required field

Your bulk quote request has been submitted successfully!

Please contact us if you have any questions.