• Tel: 858.663.9055
  • SeparatorEmail: info@nsjbio.com
  • Tel: 858.663.9055
  • Email: info@nsjbio.com
Home >> Antibodies >> USP14 Antibody / Ubiquitin carboxyl-terminal hydrolase 14

USP14 Antibody / Ubiquitin carboxyl-terminal hydrolase 14 [clone ABGI-21] (FY13415)

  Catalog No Formulation Size Price (USD)  
Image FY13415 Rabbit IgG in phosphate buffered saline, pH 7.4, 150mM NaCl, 0.02% sodium azide and 50% glycerol, 0.4-0.5mg/ml BSA 100 ul 449
Microvalidated Recrabbitmono
Bulk quote request
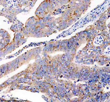
Immunohistochemical staining of FFPE human colon cancer tissue with USP14 antibody, HRP-secondary and DAB substrate. HIER: boil tissue sections in pH8 EDTA for 20 min and allow to cool before testing.
Western blot analysis of USP14 expression in human HeLa, 293T, SK-OV-3, U251, rat RH35 and C6, and mosue Neuro-2a, and RAW264.7 cell lysates using USP14 antibody. A specific band is detected at approximately 60 kDa, consistent with the reported electrophoretic mobility of Ubiquitin carboxyl-terminal hydrolase 14.
Availability 1-2 days
Species Reactivity Human, Mouse, Rat
Format Liquid
Host Rabbit
Clonality Recombinant Rabbit Monoclonal
Isotype Rabbit IgG
Clone Name ABGI-21
Purity Affinity chromatography
Buffer Rabbit IgG in phosphate buffered saline, pH 7.4, 150mM NaCl, 0.02% sodium azide and 50% glycerol, 0.4-0.5mg/ml BSA.
UniProt P54578
Localization Cytoplasm
Applications Western Blot : 1:500-1:2000
Immunohistochemistry : 1:50-1:200
Limitations This USP14 antibody is available for research use only.
Review this product on BioCompare and get a $20 Amazon gift card

Related Products

Description

USP14 antibody targets Ubiquitin carboxyl-terminal hydrolase 14 (USP14), a deubiquitinating enzyme that regulates protein turnover by removing ubiquitin chains from substrates prior to proteasomal degradation. USP14 localizes predominantly to the cytoplasm and is tightly associated with the 26S proteasome, where it modulates proteasome activity and substrate processing. As a member of the ubiquitin-specific protease family, USP14 plays a critical role in maintaining protein homeostasis by fine-tuning ubiquitin-dependent degradation pathways. Its proteasome-associated function positions USP14 as an important checkpoint in cellular protein quality control.

Functionally, USP14 acts as a regulator of proteasomal degradation by trimming ubiquitin chains from proteins as they engage the proteasome. This activity can delay or alter substrate degradation, allowing cells to control the timing and extent of protein turnover. Through this mechanism, USP14 influences diverse cellular processes including signal transduction, cell cycle regulation, and stress responses. Because ubiquitination governs the stability of many regulatory proteins, USP14 contributes to the dynamic balance between protein synthesis and degradation. A USP14 antibody supports studies examining ubiquitin signaling and proteasome-mediated proteolysis.

USP14 expression is broadly observed across tissues, reflecting the universal requirement for regulated protein degradation in eukaryotic cells. Its activity is particularly relevant in cells with high proteasome demand, such as neurons and rapidly dividing cells. Analysis of USP14 localization and abundance provides insight into how cells adapt proteasomal function under conditions of proteotoxic stress or altered metabolic state. Changes in USP14 activity can influence the accumulation or clearance of ubiquitinated proteins, impacting overall cellular homeostasis.

From a biological and disease-relevance perspective, USP14 has been studied extensively in neurobiology and cancer research. Dysregulation of proteasome-associated deubiquitination has been linked to neurodegenerative disorders characterized by protein aggregation, as well as to altered signaling pathways in cancer. USP14 activity can modulate the degradation of key regulatory proteins, making it an important factor in disease-associated changes in protein stability. Understanding USP14 regulation contributes to broader investigations of ubiquitin-proteasome system function in health and disease.

At the molecular level, USP14 is encoded by the USP14 gene and produces a protein of approximately 56 kDa. The enzyme contains a conserved catalytic domain required for ubiquitin cleavage and regulatory regions that mediate interaction with the proteasome. USP14 activity is influenced by proteasome binding and cellular signaling context. A USP14 antibody supports research applications focused on ubiquitin biology, proteasome regulation, and protein degradation pathways, with NSJ Bioreagents providing reagents intended for research use.

Application Notes

Optimal dilution of the USP14 antibody should be determined by the researcher.

Immunogen

A synthesized peptide derived from human Ubiquitin carboxyl-terminal hydrolase 14 protein was used as the immunogen for the USP14 antibody.

Storage

Store the USP14 antibody at -20oC.

Cross
Bulk Quote Request Form
Name*:
Organization*:
Email*:
Phone Number*:
Catalog No.*:
Comments and Specifics(amount, formulation, etc.)*:
Validation code: Captchapackage Image


Can't read the image? click here to refresh.
    *required field

Your bulk quote request has been submitted successfully!

Please contact us if you have any questions.