• Tel: 858.663.9055
  • SeparatorEmail: info@nsjbio.com
  • Tel: 858.663.9055
  • Email: info@nsjbio.com
Home >> Antibodies >> USP10 Antibody

USP10 Antibody (RQ7110)

  Catalog No Formulation Size Price (USD)  
Image RQ7110 0.5mg/ml if reconstituted with 0.2ml sterile DI water 100 ug 449
Bulk quote request
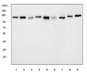
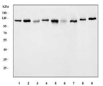
Western blot testing of 1) human HeLa, 2) human 293T, 3) human MCF7, 4) human A549, 5) human K562, 6) human SiHa, 7) rat brain, 8) mouse brain and 9) mouse NIH 3T3 cell lysate with USP10 antibody. Predicted molecular weight ~88 kDa but commonly observed at up to ~110 kDa.
Availability 1-3 business days
Species Reactivity Human, Mouse, Rat
Format Antigen affinity purified
Host Rabbit
Clonality Polyclonal (rabbit origin)
Isotype Rabbit IgG
Purity Antigen affinity purified
Buffer Lyophilized from 1X PBS with 2% Trehalose
UniProt Q14694
Applications Western Blot : 0.5-1ug/ml
Direct ELISA : 0.1-0.5ug/ml
Limitations This USP10 antibody is available for research use only.
Review this product on BioCompare and get a $20 Amazon gift card

Description

Ubiquitin specific peptidase 10, also known as USP10, is an enzyme which in humans is encoded by the USP10 gene. Ubiquitin is a highly conserved protein that is covalently linked to other proteins to regulate their function and degradation. This gene encodes a member of the ubiquitin-specific protease family of cysteine proteases. The enzyme specifically cleaves ubiquitin from ubiquitin-conjugated protein substrates. The protein is found in the nucleus and cytoplasm. It functions as a co-factor of the DNA-bound androgen receptor complex, and is inhibited by a protein in the Ras-GTPase pathway. The human genome contains several pseudogenes similar to this gene. Several transcript variants, some protein-coding and others not protein-coding, have been found for this gene.

Application Notes

Optimal dilution of the USP10 antibody should be determined by the researcher.

Immunogen

Recombinant human protein (amino acids M1-L798) was used as the immunogen for the USP10 antibody.

Storage

After reconstitution, the USP10 antibody can be stored for up to one month at 4oC. For long-term, aliquot and store at -20oC. Avoid repeated freezing and thawing.

Cross
Bulk Quote Request Form
Name*:
Organization*:
Email*:
Phone Number*:
Catalog No.*:
Comments and Specifics(amount, formulation, etc.)*:
Validation code: Captchapackage Image


Can't read the image? click here to refresh.
    *required field

Your bulk quote request has been submitted successfully!

Please contact us if you have any questions.