• Tel: 858.663.9055
  • SeparatorEmail: info@nsjbio.com
  • Tel: 858.663.9055
  • Email: info@nsjbio.com
Home >> Antibodies >> Uroplakin III Antibody / UPK3A

Uroplakin III Antibody / UPK3A [clone AFEH-21] (RQ4787)

  Catalog No Formulation Size Price (USD)  
Image RQ4787 Antibody in PBS with 0.02% sodium azide, 50% glycerol and 0.4-0.5mg/ml BSA 100 ul 449
Microvalidated Rab Mono Image
Bulk quote request
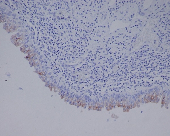
IHC staining of FFPE human bladder cancer tissue with Uroplakin III antibody. HIER: boil tissue sections in pH6, 10mM citrate buffer, for 10-20 min and allow to cool before testing.
Availability 1-2 weeks
Species Reactivity Human
Format Purified
Host Rabbit
Clonality Rabbit Monoclonal
Isotype Rabbit IgG
Clone Name AFEH-21
Purity Affinity purified
UniProt O75631
Applications Immunohistochemistry (FFPE) : 1:100-1:500
Limitations This Uroplakin III antibody is available for research use only.
Review this product on BioCompare and get a $20 Amazon gift card

Related Products

Description

Uroplakin-3a is a component of the asymmetric unit membrane (AUM); a highly specialized biomembrane elaborated by terminally differentiated urothelial cells. May play an important role in AUM-cytoskeleton interaction in terminally differentiated urothelial cells. [UniProt]

Application Notes

Optimal dilution of the Uroplakin III antibody should be determined by the researcher.

Immunogen

A synthetic peptide specific to human Uroplakin 3a / UPK3A was used as the immunogen for the Uroplakin III antibody.

Storage

Store the Uroplakin III antibody at -20oC.

Cross
Bulk Quote Request Form
Name*:
Organization*:
Email*:
Phone Number*:
Catalog No.*:
Comments and Specifics(amount, formulation, etc.)*:
Validation code: Captchapackage Image


Can't read the image? click here to refresh.
    *required field

Your bulk quote request has been submitted successfully!

Please contact us if you have any questions.