• Tel: 858.663.9055
  • SeparatorEmail: info@nsjbio.com
  • Tel: 858.663.9055
  • Email: info@nsjbio.com
Home >> Antibodies >> Uroplakin 1B Antibody / Urothelial Apical Surface Protein Antibody

Uroplakin 1B Antibody / Urothelial Apical Surface Protein Antibody [clone UPK1B/3273] (V8153)

  Catalog No Formulation Size Price (USD)  
Image V8153-100UG 0.2 mg/ml in 1X PBS with 0.1 mg/ml BSA (US sourced) and 0.05% sodium azide 100 ug 559
Image
V8153-20UG 0.2 mg/ml in 1X PBS with 0.1 mg/ml BSA (US sourced) and 0.05% sodium azide 20 ug 259
Image
V8153SAF-100UG 1 mg/ml in 1X PBS; BSA free, sodium azide free 100 ug 559
Microvalidated
Bulk quote request
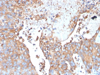
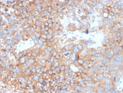
Uroplakin 1B Antibody. Immunohistochemistry analysis of Uroplakin 1B / UPK1B antibody in human urothelial carcinoma tissue using clone UPK1B/3273. FFPE sections show strong HRP-DAB brown membranous staining in tumor epithelial cells with accentuation along the luminal border, consistent with apical surface localization in urothelial cells. This Urothelial Apical Surface Protein Antibody highlights the polarized distribution of UPK1B at the apical membrane of urothelial tumor cells. HIER: boil tissue sections in pH 9 10mM Tris with 1mM EDTA for 20 minutes followed by cooling prior to staining.
Uroplakin 1B Antibody. Immunohistochemistry analysis of Uroplakin 1B / UPK1B antibody in human urothelial carcinoma tissue using clone UPK1B/3273. FFPE sections demonstrate strong HRP-DAB brown membranous staining in tumor epithelial cells with clear apical surface accentuation, outlining luminal-facing cell borders consistent with polarized urothelial architecture. This Urothelial Apical Surface Protein Antibody highlights the apical membrane localization and surface-oriented distribution of UPK1B in urothelial tumor cells. HIER: boil tissue sections in pH 9 10mM Tris with 1mM EDTA for 20 minutes followed by cooling prior to staining.
Uroplakin 1B Antibody. Immunohistochemistry analysis of Uroplakin 1B / UPK1B antibody in human urothelial carcinoma tissue using clone UPK1B/3273. FFPE sections show diffuse HRP-DAB brown membranous staining in tumor epithelial cells with partial luminal surface accentuation, consistent with apical membrane localization in urothelial cells. This Urothelial Apical Surface Protein Antibody highlights the polarized cell surface distribution of UPK1B within urothelial tumor epithelium. HIER: boil tissue sections in pH 9 10mM Tris with 1mM EDTA for 20 minutes followed by cooling prior to staining.
Analysis of HuProt(TM) microarray containing more than 19,000 full-length human proteins using Uroplakin 1B antibody (clone UPK1B/3273). These results demonstrate the foremost specificity of the UPK1B/3273 mAb. Z- and S- score: The Z-score represents the strength of a signal that an antibody (in combination with a fluorescently-tagged anti-IgG secondary Ab) produces when binding to a particular protein on the HuProt(TM) array. Z-scores are described in units of standard deviations (SD's) above the mean value of all signals generated on that array. If the targets on the HuProt(TM) are arranged in descending order of the Z-score, the S-score is the difference (also in units of SD's) between the Z-scores. The S-score therefore represents the relative target specificity of an Ab to its intended target.
SDS-PAGE analysis of purified, BSA-free UPK1B antibody as confirmation of integrity and purity.
Availability 1-3 business days
Species Reactivity Human
Format Purified
Host Mouse
Clonality Monoclonal (mouse origin)
Isotype Mouse IgG1, kappa
Clone Name UPK1B/3273
Purity Protein G affinity chromatography
UniProt O75841
Localization Cell surface
Applications Immunohistochemistry (FFPE) : 1-2ug/ml
Limitations This Uroplakin 1B antibody is available for research use only.
Review this product on BioCompare and get a $20 Amazon gift card

Related Products

Description

Uroplakin 1B (UPK1B) is a transmembrane protein encoded by the UPK1B gene that is specifically localized to the apical surface of urothelial umbrella cells, defining the luminal interface of the bladder epithelium. Uroplakin 1B Antibody / Urothelial Apical Surface Protein Antibody (clone UPK1B/3273) recognizes this protein in the context of apical membrane specialization, where it is commonly referred to as Uroplakin 1B antibody or UP1B antibody in the literature. This Urothelial Apical Surface Protein Antibody highlights UPK1B as a spatially restricted protein concentrated at the luminal cell surface. As a Urothelial Apical Surface Protein Antibody, it emphasizes the polarized distribution of UPK1B at the apical membrane rather than broader roles in differentiation, plaque structure, or barrier function.

UPK1B is selectively enriched at the apical plasma membrane of superficial umbrella cells, where it contributes to the formation of a distinct luminal domain that is structurally and functionally separate from basolateral regions. This polarized localization is a defining feature of urothelial epithelial organization and is critical for maintaining proper cell surface architecture. This Urothelial Apical Surface Protein Antibody is therefore particularly suited for studies focused on epithelial polarity, apical membrane identity, and surface localization in urothelial tissues. By centering on apical surface biology, this page is clearly differentiated from UPK1B antibody formats that emphasize differentiation markers, plaque structural assembly, or membrane organization.

The apical positioning of UPK1B reflects its integration into specialized membrane domains that define the luminal interface of the urinary tract. This spatial restriction supports interactions at the cell surface and contributes to the unique morphological features of umbrella cells. This Urothelial Apical Surface Protein Antibody reinforces the concept of UPK1B as a marker of apical membrane localization, separating it from antibody formats focused on intracellular organization or barrier permeability.

UPK1B expression is largely confined to urothelial tissues including bladder, ureter, and renal pelvis, with localization concentrated at the apical surface of superficial epithelial cells. Staining is typically observed as strong membranous labeling along the luminal border of umbrella cells, consistent with its apical distribution pattern. Clone UPK1B/3273 antibody provides specific recognition of UPK1B, and protein microarray specificity testing demonstrates selective binding to the intended target, supporting reliable detection of this urothelial apical surface protein in studies focused on epithelial polarity and luminal membrane organization.

Application Notes

Optimal dilution of the Uroplakin 1B Antibody / Urothelial Apical Surface Protein Antibody should be determined by the researcher.

Immunogen

A recombinant human partial protein (amino acids 109-229) was used at the immunogen for this Uroplakin 1B Antibody / Urothelial Apical Surface Protein Antibody.

Storage

Store the Uroplakin 1B antibody at 2-8oC (with azide) or aliquot and store at -20oC or colder (without azide).

Alternate Names

Uroplakin 1B antibody, UP1B antibody, Tspan20 antibody, Urothelial apical surface protein antibody

Cross
Bulk Quote Request Form
Name*:
Organization*:
Email*:
Phone Number*:
Catalog No.*:
Comments and Specifics(amount, formulation, etc.)*:
Validation code: Captchapackage Image


Can't read the image? click here to refresh.
    *required field

Your bulk quote request has been submitted successfully!

Please contact us if you have any questions.