• Tel: 858.663.9055
  • SeparatorEmail: info@nsjbio.com
  • Tel: 858.663.9055
  • Email: info@nsjbio.com
Home >> Antibodies >> Uroplakin 1A Antibody Recombinant Rabbit MAb / UPK1A

Uroplakin 1A Antibody Recombinant Rabbit MAb / UPK1A [clone UPK1A/8704R] (V4630)

  Catalog No Formulation Size Price (USD)  
Image V4630-100UG 0.2 mg/ml in 1X PBS with 0.1 mg/ml BSA (US sourced), 0.05% sodium azide 100 ug 559
Image
V4630-20UG 0.2 mg/ml in 1X PBS with 0.1 mg/ml BSA (US sourced), 0.05% sodium azide 20 ug 259
Image
V4630SAF-100UG 1 mg/ml in 1X PBS; BSA free, sodium azide free 100 ug 559
Microvalidated Recrabbitmono
Bulk quote request
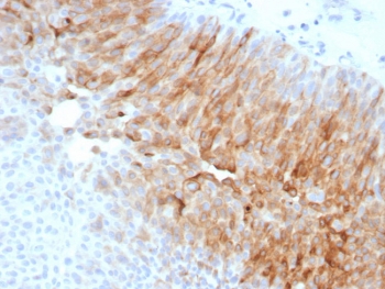
Immunohistochemistry of Uroplakin 1A antibody in human bladder carcinoma. Formalin-fixed, paraffin-embedded human bladder carcinoma tissue was stained with recombinant rabbit monoclonal Uroplakin 1A antibody (clone UPK1A/8704R) following heat-induced epitope retrieval by boiling in pH 9 10 mM Tris with 1 mM EDTA for 20 minutes and cooling prior to testing. HRP-DAB brown chromogenic signal highlights strong membranous staining in tumor cells, consistent with the apical membrane localization of Uroplakin 1A in urothelial differentiation, while surrounding stromal and non-urothelial cells remain largely negative.
Availability 1-3 business days
Species Reactivity Human
Format Purified
Host Rabbit
Clonality Recombinant Rabbit Monoclonal
Isotype Rabbit IgG, kappa
Clone Name UPK1A/8704R
Purity Protein A/G affinity
UniProt O00322
Localization Cell Surface
Applications ELISA (Order BSA-free Format For Coating) :
Immunohistochemistry (FFPE) : 1-2ug/ml for 30 min at RT
Limitations This Uroplakin 1A antibody is available for research use only.
Review this product on BioCompare and get a $20 Amazon gift card

Related Products

Description

Uroplakin 1A antibody recognizes Uroplakin 1A, a transmembrane protein encoded by the UPK1A gene and a key structural component of the urothelial apical membrane. Uroplakin 1A Antibody Recombinant Rabbit MAb (clone UPK1A/8704R) is developed for research applications focused on detecting this differentiation-associated protein in urothelial tissues. Uroplakin 1A is localized to the apical plasma membrane of umbrella cells lining the urinary bladder and other parts of the urinary tract, where it contributes to formation of specialized urothelial plaques that support barrier integrity.

Uroplakin 1A antibody, also referred to as UPK1A antibody and UPIa antibody in the literature, targets a member of the uroplakin family that forms heterodimeric complexes with other uroplakin proteins. Uroplakin 1A contains multiple transmembrane domains and extracellular loops that participate in assembly of asymmetric unit membrane plaques. These plaques provide mechanical strength and create a highly impermeable surface, protecting underlying tissues from urine toxicity and osmotic stress.

UPK1A expression is highly restricted to differentiated urothelial umbrella cells in the bladder, ureter, and renal pelvis. Its expression is associated with terminal urothelial differentiation and maintenance of epithelial polarity. Because of this tissue-specific distribution, Uroplakin 1A is widely studied as a marker of urothelial lineage and differentiation status.

In oncology research, UPK1A expression is commonly evaluated in urothelial carcinoma and in the differential diagnosis of metastatic tumors of unknown primary origin. Membranous staining of Uroplakin 1A can support identification of urothelial differentiation in carcinoma specimens, while most non-urothelial epithelial tumors are negative. This selective expression profile makes Uroplakin 1A antibody useful for studies of bladder cancer biology and tumor classification in tissue-based analyses.

The recombinant rabbit monoclonal clone UPK1A/8704R provides specific recognition of Uroplakin 1A for research use, enabling visualization of urothelial differentiation patterns and investigation of urinary tract epithelial biology at NSJ Bioreagents.

Application Notes

Optimal dilution of the Uroplakin 1A antibody recombinant rabbit mAb should be determined by the researcher.

Immunogen

A recombinant partial protein sequence (within amino acids 100-200) from the human protein was used as the immunogen for the Uroplakin 1A antibody recombinant rabbit mAb.

Storage

Aliquot the Uroplakin 1A antibody and store frozen at -20oC or colder. Avoid repeated freeze-thaw cycles.

Cross
Bulk Quote Request Form
Name*:
Organization*:
Email*:
Phone Number*:
Catalog No.*:
Comments and Specifics(amount, formulation, etc.)*:
Validation code: Captchapackage Image


Can't read the image? click here to refresh.
    *required field

Your bulk quote request has been submitted successfully!

Please contact us if you have any questions.