• Tel: 858.663.9055
  • SeparatorEmail: info@nsjbio.com
  • Tel: 858.663.9055
  • Email: info@nsjbio.com
Home >> Antibodies >> UQCRFS1 Antibody

UQCRFS1 Antibody (F54355)

  Catalog No Formulation Size Price (USD)  
Image F54355-0.4ML In 1X PBS, pH 7.4, with 0.09% sodium azide 0.4 ml 439
Image
F54355-0.08ML In 1X PBS, pH 7.4, with 0.09% sodium azide 0.08 ml 205
Bulk quote request
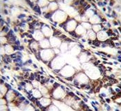
IHC testing of FFPE human rectum tissue with UQCRFS1 antibody. HIER: steam section in pH6 citrate buffer for 20 min and allow to cool prior to staining.
Immunofluorescent staining of fixed and permeabilized human HeLa cells with UQCRFS1 antibody (green) and DAPI nuclear stain (blue).
Western blot testing of human HeLa cell lysate with UQCRFS1 antibody. Predicted molecular weight ~30 kDa.
Western blot testing of human Raji cell lysate with UQCRFS1 antibody. Predicted molecular weight ~30 kDa.
Flow cytometry testing of fixed and permeabilized human HeLa cells with UQCRFS1 antibody; Blue=isotype control, Green= UQCRFS1 antibody.
Availability 1-3 business days
Species Reactivity Human
Format Purified
Host Rabbit
Clonality Polyclonal (rabbit origin)
Isotype Rabbit Ig
Purity Antigen affinity purified
UniProt P47985
Localization Cytoplasmic
Applications Immunofluorescence : 1:25
Flow Cytometry : 1:25 (1x10e6 cells)
Western Blot : 1:500-1:2000
Immunohistochemistry (FFPE) : 1:25
Limitations This UQCRFS1 antibody is available for research use only.
Review this product on BioCompare and get a $20 Amazon gift card

Description

Component of the ubiquinol-cytochrome c reductase complex (complex III or cytochrome b-c1 complex), which is a respiratory chain that generates an electrochemical potential coupled to ATP synthesis. The transit peptide of the Rieske protein seems to form part of the bc1 complex and is considered to be the subunit 11/IX of that complex (By similarity).

Application Notes

The stated application concentrations are suggested starting points. Titration of the UQCRFS1 antibody may be required due to differences in protocols and secondary/substrate sensitivity.

Immunogen

A portion of amino acids 181-209 from the human protein was used as the immunogen for the UQCRFS1 antibody.

Storage

Aliquot the UQCRFS1 antibody and store frozen at -20oC or colder. Avoid repeated freeze-thaw cycles.

Cross
Bulk Quote Request Form
Name*:
Organization*:
Email*:
Phone Number*:
Catalog No.*:
Comments and Specifics(amount, formulation, etc.)*:
Validation code: Captchapackage Image


Can't read the image? click here to refresh.
    *required field

Your bulk quote request has been submitted successfully!

Please contact us if you have any questions.