• Tel: 858.663.9055
  • SeparatorEmail: info@nsjbio.com
  • Tel: 858.663.9055
  • Email: info@nsjbio.com
Home >> Antibodies >> Uroplakin 2 Antibody / UPK2

Uroplakin 2 Antibody / UPK2 [clone UPK2/13348R] (V6018)

  Catalog No Formulation Size Price (USD)  
Image V6018-100UG 0.2 mg/ml in 1X PBS with 0.05% BSA, 0.05% sodium azide 100 ug 559
Image
V6018-20UG 0.2 mg/ml in 1X PBS with 0.05% BSA, 0.05% sodium azide 20 ug 259
Image
V6018SAF-100UG 1 mg/ml in 1X PBS; BSA free, sodium azide free 100 ug 559
Microvalidated Recrabbitmono
Bulk quote request
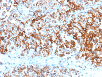
Immunohistochemistry analysis of UPK2 antibody in human bladder carcinoma. Formalin-fixed, paraffin-embedded human bladder cancer tissue was stained with Uroplakin II recombinant rabbit monoclonal antibody (clone UPK2/13348R). Strong HRP-DAB brown membranous and cytoplasmic staining is observed in tumor epithelial cells, consistent with Uroplakin 2 expression in urothelial-derived carcinoma. The staining highlights cell membranes with circumferential membranous accentuation and granular cytoplasmic signal, while adjacent stromal tissue shows minimal background staining. Inset: PBS was used in place of the primary antibody as a negative control. Heat-induced epitope retrieval was performed in 10mM Tris with 1mM EDTA, pH 9.0, for 45 min at 95oC followed by cooling at room temperature for 20 minutes.
Species Reactivity Human
Format Purified
Host Rabbit
Clonality Recombinant Rabbit Monoclonal
Isotype Rabbit IgG, kappa
Clone Name UPK2/13348R
Purity Protein A affinity
UniProt O00526
Localization Cell membrane
Applications Immunohistochemistry (FFPE) : 1-2ug/ml
Limitations This Uroplakin 2/UPK2 antibody is available for research use only.
Review this product on BioCompare and get a $20 Amazon gift card

Related Products

Description

Uroplakin 2 antibody recognizes Uroplakin 2, a urothelial differentiation protein encoded by the human UPK2 gene and a key structural component of the urothelial plaque. Uroplakin 2, also referred to as UPK2, is selectively expressed in the superficial umbrella cells of the urothelium lining the urinary bladder, ureters, and renal pelvis. Because of its restricted tissue distribution, Uroplakin 2 antibody is widely used in research investigating urothelial biology and bladder carcinoma.

Uroplakin 2 is a member of the uroplakin family, which includes UPK1A, UPK1B, UPK2, and UPK3A. These proteins assemble into heterodimeric complexes that form highly ordered crystalline plaques on the apical surface of umbrella cells. Uroplakin 2 pairs specifically with Uroplakin 1A, forming a heterodimer that is incorporated into larger hexagonal arrays within the asymmetric unit membrane. These plaques provide structural rigidity and create a permeability barrier that protects underlying tissues from urine toxicity and mechanical stress. Detection of Uroplakin 2 therefore reflects terminal urothelial differentiation and specialized apical membrane architecture.

UPK2 is localized predominantly to the apical plasma membrane of differentiated umbrella cells, where it contributes to barrier integrity and bladder surface stability. Expression is largely confined to urothelial tissue, making Uroplakin 2 a highly specific marker of urothelial origin. In pathologic settings, UPK2 expression is retained in many urothelial carcinomas, including invasive bladder carcinoma and metastatic urothelial tumors, supporting its utility in studies of tumor lineage and differentiation status.

The UPK2 gene is located on chromosome 11q23 and encodes a glycosylated membrane protein that undergoes post-translational processing and assembly within the endoplasmic reticulum before trafficking to the apical surface. Uroplakin 2 antibody clone UPK2/13348R is a recombinant rabbit monoclonal antibody developed to detect UPK2 in research applications, supporting studies of urothelial differentiation and bladder tumor characterization.

Application Notes

1. Optimal dilution of the Uroplakin 2/UPK2 antibody should be determined by the researcher.

2. This Uroplakin 2/UPK2 antibody is recombinantly produced by expression in CHO cells.

Immunogen

A recombinant fragment (around amino acids 36-51) of human Uroplakin 2 (UPK2) protein (exact sequence is proprietary) was used as the immunogen for the Uroplakin 2/UPK2 antibody.

Storage

Uroplakin 2/UPK2 antibody with sodium azide - store at 2 to 8oC; antibody without sodium azide - store at -20 to -80oC.

Cross
Bulk Quote Request Form
Name*:
Organization*:
Email*:
Phone Number*:
Catalog No.*:
Comments and Specifics(amount, formulation, etc.)*:
Validation code: Captchapackage Image


Can't read the image? click here to refresh.
    *required field

Your bulk quote request has been submitted successfully!

Please contact us if you have any questions.