• Tel: 858.663.9055
  • SeparatorEmail: info@nsjbio.com
  • Tel: 858.663.9055
  • Email: info@nsjbio.com
Home >> Antibodies >> UPK2 Antibody / Uroplakin 2

UPK2 Antibody / Uroplakin 2 [clone UPK2/13669R] (V6017)

  Catalog No Formulation Size Price (USD)  
Image V6017-100UG 0.2 mg/ml in 1X PBS with 0.05% BSA, 0.05% sodium azide 100 ug 559
Image
V6017-20UG 0.2 mg/ml in 1X PBS with 0.05% BSA, 0.05% sodium azide 20 ug 259
Image
V6017SAF-100UG 1 mg/ml in 1X PBS; BSA free, sodium azide free 100 ug 559
Microvalidated Recrabbitmono
Bulk quote request
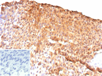
Immunohistochemistry analysis of UPK2 antibody in human bladder carcinoma. Formalin-fixed, paraffin-embedded human bladder cancer tissue was stained with Uroplakin II recombinant rabbit monoclonal antibody (clone UPK2/13669R). Strong HRP-DAB brown membranous and cytoplasmic staining is observed in tumor epithelial cells, consistent with Uroplakin 2 expression in urothelial-derived carcinoma. The staining highlights cell membranes and apical surfaces with diffuse cytoplasmic signal in positive tumor cells, while adjacent stromal elements show minimal background staining. Inset: PBS was used in place of the primary antibody as a negative control. Heat-induced epitope retrieval was performed in 10mM Tris with 1mM EDTA, pH 9.0, for 45 min at 95oC followed by cooling at room temperature for 20 minutes.
SDS-PAGE Analysis of Purified UPK2/Uroplakin 2 antibody (UPK2/13669R). Confirmation of Purity and Integrity of Antibody.
Species Reactivity Human
Format Purified
Host Rabbit
Clonality Recombinant Rabbit Monoclonal
Isotype Rabbit IgG, kappa
Clone Name UPK2/13669R
Purity Protein A affinity
UniProt O00526
Localization Cell membrane
Applications Immunohistochemistry (FFPE) : 1-2ug/ml
Limitations This UPK2/Uroplakin 2 antibody is available for research use only.
Review this product on BioCompare and get a $20 Amazon gift card

Related Products

Description

UPK2 antibody recognizes Uroplakin 2, a transmembrane protein encoded by the human UPK2 gene and a critical structural component of the urothelial plaque. Uroplakin 2 is specifically expressed in the umbrella cells of the urothelium lining the urinary bladder, ureters, and renal pelvis. As a differentiation marker of urothelial cells, UPK2 antibody is widely used in research focused on urothelial biology and bladder carcinoma characterization.

Uroplakin 2 belongs to the uroplakin family, which includes UPK1A, UPK1B, UPK2, and UPK3A. These proteins assemble into heterodimeric complexes that form highly organized crystalline plaques on the apical surface of urothelial umbrella cells. Uroplakin 2 pairs with Uroplakin 1A to form a heterodimer that is subsequently incorporated into larger hexagonal arrays. These plaques create a permeability barrier that protects underlying tissues from urine toxicity and mechanical stress. Detection of Uroplakin 2 therefore reflects terminal urothelial differentiation and apical membrane specialization.

UPK2 is localized to the apical plasma membrane of superficial umbrella cells, where it contributes to plaque rigidity and barrier integrity. Expression is largely restricted to urothelial tissue, making Uroplakin 2 a highly specific marker for cells of urothelial origin. In pathologic settings, UPK2 expression is maintained in many urothelial carcinomas, including invasive bladder carcinoma, and can assist in distinguishing urothelial tumors from other carcinomas in metastatic contexts.

The UPK2 gene is located on chromosome 11q23 and encodes a glycosylated membrane protein that undergoes processing and assembly within the endoplasmic reticulum prior to trafficking to the apical membrane. UPK2 antibody clone UPK2/13669R is a recombinant rabbit monoclonal antibody developed to detect Uroplakin 2 in research applications, supporting studies of urothelial differentiation and tumor origin assessment.

Application Notes

1. Optimal dilution of the UPK2/Uroplakin 2 antibody should be determined by the researcher.

2. This UPK2/Uroplakin 2 antibody is recombinantly produced by expression in CHO cells.

Immunogen

A recombinant fragment (around amino acids 36-51) of human Uroplakin 2 (UPK2) protein (exact sequence is proprietary) was used as the immunogen for the UPK2/Uroplakin 2 antibody.

Storage

UPK2/Uroplakin 2 antibody with sodium azide - store at 2 to 8oC; antibody without sodium azide - store at -20 to -80oC.

Cross
Bulk Quote Request Form
Name*:
Organization*:
Email*:
Phone Number*:
Catalog No.*:
Comments and Specifics(amount, formulation, etc.)*:
Validation code: Captchapackage Image


Can't read the image? click here to refresh.
    *required field

Your bulk quote request has been submitted successfully!

Please contact us if you have any questions.