• Tel: 858.663.9055
  • SeparatorEmail: info@nsjbio.com
  • Tel: 858.663.9055
  • Email: info@nsjbio.com
Home >> Antibodies >> UPK1B Antibody / Urothelial Plaque Structural Protein Antibody

UPK1B Antibody / Urothelial Plaque Structural Protein Antibody [clone UPK1B/3102] (V8151)

  Catalog No Formulation Size Price (USD)  
Image V8151-100UG 0.2 mg/ml in 1X PBS with 0.1 mg/ml BSA (US sourced) and 0.05% sodium azide 100 ug 559
Image
V8151-20UG 0.2 mg/ml in 1X PBS with 0.1 mg/ml BSA (US sourced) and 0.05% sodium azide 20 ug 259
Image
V8151SAF-100UG 1 mg/ml in 1X PBS; BSA free, sodium azide free 100 ug 559
Microvalidated
Bulk quote request
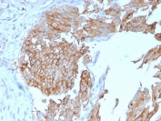
UPK1B Antibody for IHC. Immunohistochemistry analysis of Uroplakin 1B / UPK1B antibody in human urothelial carcinoma tissue using clone UPK1B/3102. FFPE sections show strong HRP-DAB brown membranous staining in tumor epithelial cells, highlighting the organized apical membrane pattern consistent with urothelial plaque structures. This Urothelial Plaque Structural Protein Antibody emphasizes the role of UPK1B in plaque assembly and membrane ultrastructure within urothelial tumor cells. HIER: boil tissue sections in pH 9 10mM Tris with 1mM EDTA for 20 minutes followed by cooling prior to staining.
UPK1B Antibody for IHC. Immunohistochemistry analysis of Uroplakin 1B / UPK1B antibody in human urothelial carcinoma tissue using clone UPK1B/3102. FFPE sections demonstrate strong HRP-DAB brown membranous staining in tumor epithelial cells, with prominent apical surface labeling consistent with organized urothelial plaque structures. This Urothelial Plaque Structural Protein Antibody highlights the characteristic plaque-associated membrane pattern of UPK1B in urothelial tumor cells. HIER: boil tissue sections in pH 9 10mM Tris with 1mM EDTA for 20 minutes followed by cooling prior to staining.
UPK1B Antibody for IHC. Immunohistochemistry analysis of Uroplakin 1B / UPK1B antibody in human urothelial carcinoma tissue using clone UPK1B/3102. FFPE sections show diffuse HRP-DAB brown membranous staining in tumor epithelial cells with a dense, plaque-like surface pattern, consistent with the known localization of UPK1B within urothelial plaque structures. This Urothelial Plaque Structural Protein Antibody highlights the extensive membrane organization and plaque-associated distribution of UPK1B in urothelial tumor cells. HIER: boil tissue sections in pH 9 10mM Tris with 1mM EDTA for 20 minutes followed by cooling prior to staining.
Analysis of HuProt(TM) microarray containing more than 19,000 full-length human proteins using UPK1B antibody (clone UPK1B/3102). These results demonstrate the foremost specificity of the UPK1B/3102 mAb. Z- and S- score: The Z-score represents the strength of a signal that an antibody (in combination with a fluorescently-tagged anti-IgG secondary Ab) produces when binding to a particular protein on the HuProt(TM) array. Z-scores are described in units of standard deviations (SD's) above the mean value of all signals generated on that array. If the targets on the HuProt(TM) are arranged in descending order of the Z-score, the S-score is the difference (also in units of SD's) between the Z-scores. The S-score therefore represents the relative target specificity of an Ab to its intended target.
SDS-PAGE analysis of purified, BSA-free UPK1B antibody as confirmation of integrity and purity.
Availability 1-3 business days
Species Reactivity Human
Format Purified
Host Mouse
Clonality Monoclonal (mouse origin)
Isotype Mouse IgG1, kappa
Clone Name UPK1B/3102
Purity Protein G affinity chromatography
UniProt O75841
Localization Cell surface
Applications Immunohistochemistry (FFPE) : 1-2ug/ml
Limitations This UPK1B antibody is available for research use only.
Review this product on BioCompare and get a $20 Amazon gift card

Related Products

Description

Uroplakin 1B (UPK1B) is a multi-pass transmembrane protein encoded by the UPK1B gene and is a defining structural component of urothelial plaques that line the apical surface of bladder epithelial cells. UPK1B Antibody / Urothelial Plaque Structural Protein Antibody (clone UPK1B/3102) recognizes this protein in the context of plaque architecture, where it is commonly referred to as Uroplakin 1B antibody or UP1B antibody in the literature. This Urothelial Plaque Structural Protein Antibody highlights UPK1B as an integral building block of the asymmetric unit membrane, forming the rigid, highly organized plaque structures characteristic of differentiated umbrella cells. As a Urothelial Plaque Structural Protein Antibody, it emphasizes the structural framework that defines the urothelial apical membrane rather than broader epithelial identity.

UPK1B functions within the uroplakin complex, assembling with UPK1A, UPK2, and UPK3A to generate the hexagonally arranged protein arrays that create urothelial plaques. These complexes form highly ordered crystalline-like structures that cover the apical surface of umbrella cells, providing mechanical strength and maintaining membrane organization during bladder filling and distension. This Urothelial Plaque Structural Protein Antibody is therefore particularly suited for studying plaque assembly, protein complex formation, and the ultrastructural organization of urothelial membranes, rather than focusing on differentiation marker applications.

The defining feature of UPK1B biology is its contribution to plaque structure, where tightly packed uroplakin complexes generate a rigid membrane domain distinct from typical lipid bilayers. This specialized architecture supports the unique morphology of umbrella cells and creates a highly organized surface environment. This Urothelial Plaque Structural Protein Antibody reinforces that structural role, separating it clearly from UPK1B antibody formats that emphasize differentiation state or epithelial barrier function. By centering on plaque formation, this page establishes a distinct biological identity aligned with membrane ultrastructure and protein assembly.

UPK1B expression is largely restricted to urothelial tissues including bladder, ureter, and renal pelvis, with localization concentrated at the apical membrane of superficial umbrella cells where plaque structures are most abundant. Staining is typically observed as strong membranous labeling corresponding to dense uroplakin plaque regions. Clone UPK1B/3102 antibody provides consistent recognition of UPK1B, and the UPK1B/3102 monoclonal antibody format supports reproducible detection of this urothelial plaque structural protein in studies focused on membrane architecture and epithelial ultrastructure.

Application Notes

Optimal dilution of the UPK1B Antibody / Urothelial Plaque Structural Protein Antibody should be determined by the researcher.

Immunogen

A recombinant human partial protein (amino acids 109-229) was used at the immunogen for this UPK1B Antibody / Urothelial Plaque Structural Protein Antibody.

Storage

Store the UPK1B antibody at 2-8oC (with azide) or aliquot and store at -20oC or colder (without azide).

Alternate Names

Uroplakin 1B antibody, UP1B antibody, Tspan20 antibody, Urothelial plaque protein antibody

Cross
Bulk Quote Request Form
Name*:
Organization*:
Email*:
Phone Number*:
Catalog No.*:
Comments and Specifics(amount, formulation, etc.)*:
Validation code: Captchapackage Image


Can't read the image? click here to refresh.
    *required field

Your bulk quote request has been submitted successfully!

Please contact us if you have any questions.