• Tel: 858.663.9055
  • SeparatorEmail: info@nsjbio.com
  • Tel: 858.663.9055
  • Email: info@nsjbio.com
Home >> Antibodies >> UPK1B Antibody / Membrane Tetraspanin-like Protein Antibody

UPK1B Antibody / Membrane Tetraspanin-like Protein Antibody [clone UPK1B/3081] (V8152)

  Catalog No Formulation Size Price (USD)  
Image V8152-100UG 0.2 mg/ml in 1X PBS with 0.1 mg/ml BSA (US sourced) and 0.05% sodium azide 100 ug 559
Image
V8152-20UG 0.2 mg/ml in 1X PBS with 0.1 mg/ml BSA (US sourced) and 0.05% sodium azide 20 ug 259
Image
V8152SAF-100UG 1 mg/ml in 1X PBS; BSA free, sodium azide free 100 ug 559
Microvalidated
Bulk quote request
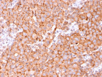
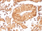
UPK1B Antibody for IHC. Immunohistochemistry analysis of Uroplakin 1B / UPK1B antibody in human urothelial carcinoma tissue using clone UPK1B/3081. FFPE sections show strong HRP-DAB brown membranous staining in tumor epithelial cells with a uniform cell surface distribution, consistent with plasma membrane localization of this tetraspanin-like protein. This Membrane Tetraspanin-like Protein Antibody highlights the organized membrane pattern and protein clustering characteristic of UPK1B in urothelial tumor cells. HIER: boil tissue sections in pH 9 10mM Tris with 1mM EDTA for 20 minutes followed by cooling prior to staining.
UPK1B Antibody for IHC. Immunohistochemistry analysis of Uroplakin 1B / UPK1B antibody in human urothelial carcinoma tissue using clone UPK1B/3081. FFPE sections demonstrate strong HRP-DAB brown membranous staining in tumor epithelial cells with well-defined cell borders, consistent with localization of this tetraspanin-like membrane protein at the plasma membrane. This Membrane Tetraspanin-like Protein Antibody highlights the characteristic membrane organization and cell surface pattern of UPK1B in urothelial tumor cells. HIER: boil tissue sections in pH 9 10mM Tris with 1mM EDTA for 20 minutes followed by cooling prior to staining.
UPK1B Antibody for IHC. Immunohistochemistry analysis of Uroplakin 1B / UPK1B antibody in human urothelial carcinoma tissue using clone UPK1B/3081. FFPE sections show strong HRP-DAB brown membranous staining outlining tumor epithelial cells with a cohesive cell surface pattern, consistent with plasma membrane localization of this tetraspanin-like protein. This Membrane Tetraspanin-like Protein Antibody highlights the organized membrane architecture and surface distribution of UPK1B in urothelial tumor cells. HIER: boil tissue sections in pH 9 10mM Tris with 1mM EDTA for 20 minutes followed by cooling prior to staining.
Analysis of HuProt(TM) microarray containing more than 19,000 full-length human proteins using UPK1B antibody (clone UPK1B/3081). These results demonstrate the foremost specificity of the UPK1B/3081 mAb.
Z- and S- score: The Z-score represents the strength of a signal that an antibody (in combination with a fluorescently-tagged anti-IgG secondary Ab) produces when binding to a particular protein on the HuProt(TM) array. Z-scores are described in units of standard deviations (SD's) above the mean value of all signals generated on that array. If the targets on the HuProt(TM) are arranged in descending order of the Z-score, the S-score is the difference (also in units of SD's) between the Z-scores. The S-score therefore represents the relative target specificity of an Ab to its intended target.
SDS-PAGE analysis of purified, BSA-free UPK1B antibody as confirmation of integrity and purity.
Availability 1-3 business days
Species Reactivity Human
Format Purified
Host Mouse
Clonality Monoclonal (mouse origin)
Isotype Mouse IgG2b, kappa
Clone Name UPK1B/3081
Purity Protein G affinity chromatography
UniProt O75841
Localization Cell surface
Applications Immunohistochemistry (FFPE) : 1-2ug/ml
Limitations This UPK1B antibody is available for research use only.
Review this product on BioCompare and get a $20 Amazon gift card

Related Products

Description

Uroplakin 1B (UPK1B) is a multi-pass transmembrane protein encoded by the UPK1B gene and is structurally classified as a tetraspanin-like protein that contributes to membrane organization in urothelial cells. UPK1B Antibody / Membrane Tetraspanin-like Protein Antibody (clone UPK1B/3081) recognizes this protein within the context of plasma membrane architecture, where it is commonly referred to as Uroplakin 1B antibody or UP1B antibody in the literature. This Membrane Tetraspanin-like Protein Antibody highlights UPK1B as a four-pass membrane protein that organizes membrane domains and supports protein clustering at the cell surface. As a Membrane Tetraspanin-like Protein Antibody, it emphasizes membrane topology and spatial organization rather than differentiation status or plaque structure.

UPK1B contains multiple transmembrane helices typical of tetraspanin-like proteins, enabling it to function as a scaffold for assembling and stabilizing protein complexes within the plasma membrane. It interacts with uroplakin partners such as UPK1A, UPK2, and UPK3A, contributing to the formation of organized membrane domains while maintaining its role as a membrane organizer. This Membrane Tetraspanin-like Protein Antibody is therefore particularly suited for studies focused on protein-protein interactions, membrane microdomain formation, and the organization of transmembrane complexes, rather than applications centered on urothelial differentiation or plaque ultrastructure.

The defining feature of UPK1B in this context is its role in coordinating membrane organization, where it helps establish specialized regions of the plasma membrane that support structural stability and signaling interfaces. This Membrane Tetraspanin-like Protein Antibody reinforces the concept of UPK1B as a membrane-organizing protein, clearly separating it from UPK1B antibody formats that emphasize urothelial plaque assembly or epithelial differentiation markers. By focusing on its tetraspanin-like characteristics, this page establishes a distinct biological identity centered on membrane architecture and protein network formation.

UPK1B expression is primarily observed in urothelial tissues including bladder, ureter, and renal pelvis, with localization concentrated at the plasma membrane of epithelial cells. Staining is typically membranous, consistent with its integration within the lipid bilayer and association with organized membrane domains. Clone UPK1B/3081 antibody provides consistent recognition of UPK1B, and the UPK1B/3081 monoclonal antibody format supports reproducible detection of this membrane tetraspanin-like protein in studies focused on membrane organization and protein interaction networks.

Application Notes

Optimal dilution of the UPK1B Antibody / Membrane Tetraspanin-like Protein Antibody should be determined by the researcher.

Immunogen

A recombinant human partial protein (amino acids 109-229) was used at the immunogen for this UPK1B Antibody / Membrane Tetraspanin-like Protein Antibody.

Storage

Store the UPK1B antibody at 2-8oC (with azide) or aliquot and store at -20oC or colder (without azide).

Alternate Names

Uroplakin 1B antibody, UP1B antibody, Tspan20 antibody, Membrane tetraspanin protein antibody

Cross
Bulk Quote Request Form
Name*:
Organization*:
Email*:
Phone Number*:
Catalog No.*:
Comments and Specifics(amount, formulation, etc.)*:
Validation code: Captchapackage Image


Can't read the image? click here to refresh.
    *required field

Your bulk quote request has been submitted successfully!

Please contact us if you have any questions.