• Tel: 858.663.9055
  • SeparatorEmail: info@nsjbio.com
  • Tel: 858.663.9055
  • Email: info@nsjbio.com
Home >> Antibodies >> UPK1A Antibody Microarray Validated / Uroplakin 1A

UPK1A Antibody Microarray Validated / Uroplakin 1A [clone UPK1A/2921] (V7671)

  Catalog No Formulation Size Price (USD)  
Image V7671-100UG 0.2 mg/ml in 1X PBS with 0.1 mg/ml BSA (US sourced) and 0.05% sodium azide 100 ug 559
Image
V7671-20UG 0.2 mg/ml in 1X PBS with 0.1 mg/ml BSA (US sourced) and 0.05% sodium azide 20 ug 259
Image
V7671SAF-100UG 1 mg/ml in 1X PBS; BSA free, sodium azide free 100 ug 559
Microvalidated
Bulk quote request
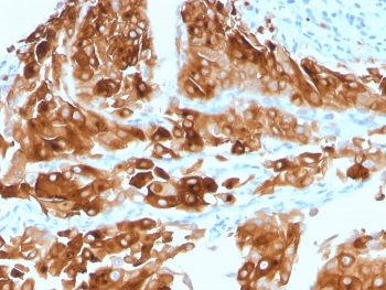
Immunohistochemistry of UPK1A antibody in human urothelial carcinoma. Formalin-fixed, paraffin-embedded human urothelial carcinoma tissue was stained with microarray validated Uroplakin 1A antibody (clone UPK1A/2921) following heat-induced epitope retrieval by boiling in pH 9 10 mM Tris with 1 mM EDTA for 10-20 minutes and cooling prior to testing. HRP-DAB brown chromogenic signal demonstrates strong membranous and cytoplasmic staining in malignant urothelial cells, consistent with urothelial differentiation and the characteristic apical membrane-associated expression pattern of Uroplakin 1A, while surrounding stromal elements remain largely negative.
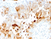
IHC staining of FFPE human urothelial carcinoma with UPK1A antibody (clone UPK1A/2921). HIER: boil tissue sections in pH 9 10mM Tris with 1mM EDTA for 10-20 min and allow to cool before testing.
Immunohistochemistry of UPK1A antibody in human urinary bladder. Formalin-fixed, paraffin-embedded human urinary bladder tissue was stained with microarray validated Uroplakin 1A antibody (clone UPK1A/2921) following heat-induced epitope retrieval by boiling in pH 9 10 mM Tris with 1 mM EDTA for 10-20 minutes and cooling prior to testing. HRP-DAB brown chromogenic signal highlights strong membranous staining of urothelial umbrella cells along the luminal surface, consistent with the apical membrane localization and differentiation-associated expression pattern of Uroplakin 1A, while underlying stromal tissue shows minimal background staining.
HuProt protein microarray specificity analysis of UPK1A antibody (clone UPK1A/2921). The antibody was screened against a HuProt microarray containing more than 19,000 full-length human proteins. Signal intensity is expressed as a Z-score, representing the number of standard deviations above the mean signal generated across the array when the antibody, together with a fluorescently labeled anti-IgG secondary antibody, binds to a specific protein. Proteins are ranked in descending order by Z-score, and the S-score reflects the difference in Z-scores between the top-ranked protein and the next highest signal, providing a quantitative measure of relative target specificity. Clone UPK1A/2921 demonstrates a markedly elevated Z-score for Uroplakin 1A with strong S-score separation from other proteins, supporting highly specific recognition of UPK1A on the array and confirming its microarray validated status.
SDS-PAGE analysis of purified, BSA-free UPK1A antibody (clone UPK1A/2921) as confirmation of integrity and purity.
Availability 1-3 business days
Species Reactivity Human
Format Purified
Host Mouse
Clonality Monoclonal (mouse origin)
Isotype Mouse IgG2b, kappa
Clone Name UPK1A/2921
Purity Protein G affinity chromatography
UniProt O00322
Localization Cell surface, cytoplasmic
Applications ELISA (order BSA-free Format For Coating) :
Immunohistochemistry (FFPE) : 1-2ug/ml
Limitations This UPK1A antibody is available for research use only.
Review this product on BioCompare and get a $20 Amazon gift card

Related Products

Description

UPK1A antibody recognizes Uroplakin 1A, a urothelial membrane protein encoded by the UPK1A gene and a key structural component of the apical surface of umbrella cells. UPK1A Antibody Microarray Validated (clone UPK1A/2921) is a mouse monoclonal antibody developed for research applications requiring specific detection of this differentiation-associated protein in urothelial tissues. Uroplakin 1A localizes predominantly to the apical plasma membrane of bladder, ureter, and renal pelvis umbrella cells, where it contributes to formation of specialized urothelial plaques that maintain epithelial barrier integrity and polarity.

UPK1A antibody, also referred to as Uroplakin 1A antibody and UPIa antibody, targets a member of the uroplakin family of integral membrane proteins. Uroplakin 1A contains multiple transmembrane domains and extracellular loops that participate in heterodimer formation with Uroplakin 2. These complexes assemble into asymmetric unit membrane plaques that provide mechanical stability and reduce permeability of the urothelial surface to urine and solutes. This structural organization protects underlying tissues from osmotic stress and toxic urinary metabolites.

UPK1A expression is tightly restricted to terminally differentiated urothelial umbrella cells and is closely associated with epithelial maturation and maintenance of apical membrane specialization. Because of this tissue-specific distribution, Uroplakin 1A is widely studied as a marker of urothelial lineage in normal tissue biology and tumor classification research. Membranous staining patterns are particularly informative in immunohistochemical evaluation of bladder and upper urinary tract specimens.

In oncology research, UPK1A expression is frequently evaluated in urothelial carcinoma and in the differential diagnosis of metastatic carcinomas of unknown primary origin. Detection of Uroplakin 1A supports urothelial differentiation, whereas most non-urothelial epithelial tumors lack expression. This selective expression profile makes UPK1A antibody valuable for studies of bladder cancer biology and epithelial lineage determination.

Microarray validation of clone UPK1A/2921 supports its specificity across large-scale human protein panels, providing confidence in target recognition for tissue-based and proteomic research applications at NSJ Bioreagents.

Application Notes

Optimal dilution of the UPK1A antibody should be determined by the researcher.

Immunogen

Amino acids 114-173 were used as the immunogen for the UPK1A antibody.

Storage

Store the UPK1A antibody at 2-8oC (with azide) or aliquot and store at -20oC or colder (without azide).

Cross
Bulk Quote Request Form
Name*:
Organization*:
Email*:
Phone Number*:
Catalog No.*:
Comments and Specifics(amount, formulation, etc.)*:
Validation code: Captchapackage Image


Can't read the image? click here to refresh.
    *required field

Your bulk quote request has been submitted successfully!

Please contact us if you have any questions.