• Tel: 858.663.9055
  • SeparatorEmail: info@nsjbio.com
  • Tel: 858.663.9055
  • Email: info@nsjbio.com
Home >> Antibodies >> UPK1A Antibody Mouse Monoclonal / Uroplakin 1A

UPK1A Antibody Mouse Monoclonal / Uroplakin 1A [clone TTSP21-1] (V8002)

  Catalog No Formulation Size Price (USD)  
Image V8002-100UG 0.2 mg/ml in 1X PBS with 0.1 mg/ml BSA (US sourced) and 0.05% sodium azide 100 ug 559
Image
V8002-20UG 0.2 mg/ml in 1X PBS with 0.1 mg/ml BSA (US sourced) and 0.05% sodium azide 20 ug 259
Image
V8002SAF-100UG 1 mg/ml in 1X PBS; BSA free, sodium azide free 100 ug 559
Bulk quote request
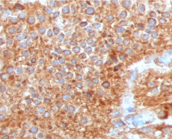
Immunohistochemistry of UPK1A antibody in human urothelial carcinoma. Formalin-fixed, paraffin-embedded human urothelial carcinoma tissue was stained with mouse monoclonal Uroplakin 1A antibody (clone TTSP21-1) following heat-induced epitope retrieval by boiling in pH 9 10 mM Tris with 1 mM EDTA for 10-20 minutes and cooling prior to testing. HRP-DAB brown chromogenic signal demonstrates strong membranous and cytoplasmic staining in tumor cells, consistent with urothelial differentiation and apical membrane localization of Uroplakin 1A, while surrounding stromal elements show minimal staining.
Availability 1-3 business days
Species Reactivity Human
Format Purified
Host Mouse
Clonality Monoclonal (mouse origin)
Isotype Mouse IgG1, kappa
Clone Name TTSP21-1
Purity Protein G affinity chromatography
UniProt O00322
Localization Cell surface, cytoplasmic
Applications Immunohistochemistry (FFPE) : 1-2ug/ml
Limitations This UPK1A antibody is available for research use only.
Review this product on BioCompare and get a $20 Amazon gift card

Related Products

Description

Uroplakin 1A antibody recognizes Uroplakin 1A, a urothelial differentiation-associated membrane protein encoded by the UPK1A gene. Uroplakin 1A Antibody Mouse Monoclonal (clone TTSP21-1) is developed for research applications requiring detection of this apical membrane component in urothelial tissues. Uroplakin 1A localizes predominantly to the apical plasma membrane of umbrella cells lining the urinary bladder, ureter, and renal pelvis, where it contributes to formation of specialized urothelial plaques that maintain barrier integrity and epithelial polarity.

Uroplakin 1A antibody, also referred to as UPK1A antibody and UPIa antibody in the literature, targets a member of the uroplakin family of integral membrane proteins. Uroplakin 1A contains multiple transmembrane domains and extracellular loops that participate in heterodimer formation with Uroplakin 2. These complexes assemble into asymmetric unit membrane plaques that provide mechanical stability and reduce permeability of the urothelial surface to urine and solutes. This structural organization is essential for protecting underlying tissues from osmotic stress and toxic metabolites.

UPK1A expression is highly restricted to differentiated urothelial umbrella cells and is closely associated with terminal epithelial differentiation and maintenance of apical polarity. Because of this tissue-specific expression pattern, Uroplakin 1A is widely studied as a marker of urothelial lineage in both normal tissue biology and tumor classification research. Membranous staining patterns are particularly informative in immunohistochemical evaluation of bladder and upper urinary tract tissues.

In oncology research, UPK1A expression is commonly assessed in urothelial carcinoma and in the differential diagnosis of metastatic carcinomas of unknown primary origin. Detection of Uroplakin 1A supports urothelial differentiation, while most non-urothelial epithelial tumors lack expression. This selective distribution profile makes Uroplakin 1A antibody valuable for studies of bladder cancer biology and epithelial lineage determination.

The mouse monoclonal clone TTSP21-1 provides targeted recognition of Uroplakin 1A for research use, supporting investigation of urothelial differentiation patterns and urinary tract epithelial biology at NSJ Bioreagents.

Application Notes

The stated application concentrations are suggested starting points. Titration of the UPK1A antibody mouse monoclonal may be required due to differences in protocols and secondary/substrate sensitivity.

Immunogen

Amino acids 114-173 were used as the immunogen for the UPK1A antibody mouse monoclonal.

Storage

Store the UPK1A antibody at 2-8oC (with azide) or aliquot and store at -20oC or colder (without azide).

Cross
Bulk Quote Request Form
Name*:
Organization*:
Email*:
Phone Number*:
Catalog No.*:
Comments and Specifics(amount, formulation, etc.)*:
Validation code: Captchapackage Image


Can't read the image? click here to refresh.
    *required field

Your bulk quote request has been submitted successfully!

Please contact us if you have any questions.