• Tel: 858.663.9055
  • SeparatorEmail: info@nsjbio.com
  • Tel: 858.663.9055
  • Email: info@nsjbio.com
Home >> Antibodies >> UPF3B Antibody / RENT3B

UPF3B Antibody / RENT3B (R32318)

  Catalog No Formulation Size Price (USD)  
Image R32318 0.5mg/ml if reconstituted with 0.2ml sterile DI water 100 ug 449
Bulk quote request
Western blot testing of 1) rat heart, 2) rat brain, and human 3) HeLa, 4) 22RV1, 5) U87 and 6) Jurkat lysate with UPF3B antibody. Expected/observed molecular weight ~58 kDa.
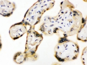
IHC testing of FFPE human placenta with UPF3B antibody. HIER: Boil the paraffin sections in pH 6, 10mM citrate buffer for 20 minutes and allow to cool prior to staining.
IHC testing of FFPE mouse testis with UPF3B antibody. HIER: Boil the paraffin sections in pH 6, 10mM citrate buffer for 20 minutes and allow to cool prior to staining.
IHC testing of FFPE rat testis with UPF3B antibody. HIER: Boil the paraffin sections in pH 6, 10mM citrate buffer for 20 minutes and allow to cool prior to staining.
Availability 1-3 business days
Species Reactivity Human, Mouse, Rat
Format Antigen affinity purified
Host Rabbit
Clonality Polyclonal (rabbit origin)
Isotype Rabbit IgG
Purity Antigen affinity
Buffer Lyophilized from 1X PBS with 2.5% BSA and 0.025% sodium azide
UniProt Q9BZI7
Localization Cytoplasmic
Applications Western Blot : 0.1-0.5ug/ml
IHC (FFPE) : 0.5-1ug/ml
Limitations This UPF3B antibody is available for research use only.
Review this product on BioCompare and get a $20 Amazon gift card

Description

Regulator of nonsense transcripts 3B is a protein that in humans is encoded by the UPF3B gene. This gene encodes a protein that is part of a post-splicing multiprotein complex involved in both mRNA nuclear export and mRNA surveillance. The encoded protein is one of two functional homologs to yeast Upf3p. mRNA surveillance detects exported mRNAs with truncated open reading frames and initiates nonsense-mediated mRNA decay (NMD). When translation ends upstream from the last exon-exon junction, this triggers NMD to degrade mRNAs containing premature stop codons. This protein binds to the mRNA and remains bound after nuclear export, acting as a nucleocytoplasmic shuttling protein. It forms with Y14 a complex that binds specifically 20 nt upstream of exon-exon junctions. This gene is located on the long arm of chromosome X. Two splice variants encoding different isoforms have been found for this gene.

Application Notes

Optimal dilution of the UPF3B antibody should be determined by the researcher.

Immunogen

Amino acids SEKTEKKEEVVKRDRIRNKDRPAMQLYQPGARSRNRL of human UPF3B were used as the immunogen for the UPF3B antibody.

Storage

After reconstitution, the UPF3B antibody can be stored for up to one month at 4oC. For long-term, aliquot and store at -20oC. Avoid repeated freezing and thawing.

Cross
Bulk Quote Request Form
Name*:
Organization*:
Email*:
Phone Number*:
Catalog No.*:
Comments and Specifics(amount, formulation, etc.)*:
Validation code: Captchapackage Image


Can't read the image? click here to refresh.
    *required field

Your bulk quote request has been submitted successfully!

Please contact us if you have any questions.