• Tel: 858.663.9055
  • SeparatorEmail: info@nsjbio.com
  • Tel: 858.663.9055
  • Email: info@nsjbio.com
Home >> Antibodies >> UPF1 Antibody / Up-frameshift suppressor 1 / RENT1

UPF1 Antibody / Up-frameshift suppressor 1 / RENT1 [clone 19U80] (RQ8947)

  Catalog No Formulation Size Price (USD)  
Image RQ8947 Antibody in PBS with 0.02% sodium azide, 50% glycerol and 0.4-0.5mg/ml BSA 100 ug 449
Microvalidated Recrabbitmono
Bulk quote request
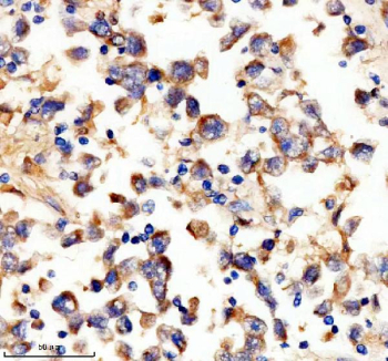
Immunohistochemistry analysis of UPF1 / Up-frameshift suppressor 1 antibody in human testis cancer tissue. FFPE human testis carcinoma shows cytoplasmic HRP-DAB brown staining in tumor cells, consistent with UPF1 expression. Positive staining is predominantly cytoplasmic with variable intensity among malignant cells, while nuclei are counterstained blue. Adjacent stromal and non-neoplastic elements demonstrate comparatively weaker signal. Heat induced epitope retrieval was performed by boiling tissue sections in EDTA buffer, pH 8.0, for 20 minutes followed by cooling prior to immunostaining.
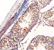
IHC staining of FFPE mouse testis tissue with UPF1/Up-frameshift suppressor 1 antibody, HRP-secondary and DAB substrate. HIER: boil tissue sections in pH8 EDTA for 20 min and allow to cool before testing.
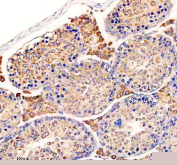
IHC staining of FFPE rat testis tissue with UPF1/Up-frameshift suppressor 1 antibody, HRP-secondary and DAB substrate. HIER: boil tissue sections in pH8 EDTA for 20 min and allow to cool before testing.
Western blot testing of 1) human 293T, 2) human K562, 3) human PC-3 and 4) mouse thymus tissue lysate with UPF1/Up-frameshift suppressor 1 antibody. Predicted molecular weight ~124 kDa, but routinely observed at 130-140 kDa.
Availability 1-3 business days
Species Reactivity Human, Mouse, Rat
Format Antigen affinity purified
Host Mouse
Clonality Recombinant Rabbit Monoclonal
Isotype Rabbit IgG
Clone Name 19U80
Purity Affinity purified
UniProt Q92900
Localization Cytoplasmic, Nuclear
Applications Western Blot : 1:1000
Immunohistochemistry (FFPE) : 1:50
Limitations This UPF1/Up-frameshift suppressor 1 antibody is available for research use only.
Review this product on BioCompare and get a $20 Amazon gift card

Related Products

Description

UPF1 antibody, also known as Up-frameshift suppressor 1 antibody, recognizes a highly conserved RNA helicase and ATPase encoded by the human UPF1 gene located on chromosome 19p13.11. Up-frameshift suppressor 1 is a predominantly cytoplasmic protein that shuttles between the nucleus and cytoplasm and plays a central role in nonsense-mediated mRNA decay, commonly referred to as NMD. UPF1 antibody targets a core component of the NMD surveillance pathway that identifies and degrades mRNAs containing premature termination codons, thereby preventing the production of truncated or potentially harmful proteins.

Up-frameshift suppressor 1 is a member of the superfamily 1 helicase family and contains characteristic RNA helicase domains, including ATP-binding and RNA-binding motifs that enable ATP-dependent unwinding of RNA substrates. It interacts with additional NMD factors such as UPF2 and UPF3 to form a surveillance complex associated with translating ribosomes. Following recognition of aberrant termination events, Up-frameshift suppressor 1 undergoes regulated phosphorylation that promotes recruitment of decay machinery and subsequent mRNA degradation. In addition to NMD, UPF1 participates in general mRNA turnover, Staufen-mediated decay, and regulation of specific transcripts involved in cell growth and stress responses.

UPF1 is widely expressed across tissues, reflecting its fundamental role in RNA quality control. Elevated or altered UPF1 activity has been implicated in cancer biology, viral infection, and neurodevelopmental disorders, where dysregulated RNA surveillance can influence transcript stability and gene expression programs. Structurally, Up-frameshift suppressor 1 contains a cysteine-histidine rich domain and helicase core domains that coordinate ATP hydrolysis with RNA remodeling activity. Its subcellular localization is primarily cytoplasmic, often associated with processing bodies and sites of active translation.

UPF1 antibody is suitable for detecting Up-frameshift suppressor 1 expression in studies of RNA surveillance, mRNA decay pathways, and translational control. By enabling analysis of UPF1 levels and distribution, this antibody supports research into post-transcriptional gene regulation and disease-associated alterations in RNA metabolism.

Application Notes

Optimal dilution of the UPF1/Up-frameshift suppressor 1 antibody should be determined by the researcher.

Immunogen

A peptide specific to Up-frameshift suppressor 1 protein was used as the immunogen for the UPF1/Up-frameshift suppressor 1 antibody.

Storage

After reconstitution, the UPF1/Up-frameshift suppressor 1 antibody can be stored for up to one month at 4oC. For long-term, aliquot and store at -20oC. Avoid repeated freezing and thawing.

Cross
Bulk Quote Request Form
Name*:
Organization*:
Email*:
Phone Number*:
Catalog No.*:
Comments and Specifics(amount, formulation, etc.)*:
Validation code: Captchapackage Image


Can't read the image? click here to refresh.
    *required field

Your bulk quote request has been submitted successfully!

Please contact us if you have any questions.