• Tel: 858.663.9055
  • SeparatorEmail: info@nsjbio.com
  • Tel: 858.663.9055
  • Email: info@nsjbio.com
Home >> Antibodies >> UNG Antibody / Uracil-DNA Glycosylase

UNG Antibody / Uracil-DNA Glycosylase (RQ5780)

  Catalog No Formulation Size Price (USD)  
Image RQ5780 0.5mg/ml if reconstituted with 0.2ml sterile DI water 100 ug 449
Bulk quote request
IHC staining of FFPE human rectal cancer with UNG antibody. HIER: boil tissue sections in pH8 EDTA for 20 min and allow to cool before testing.
IHC staining of FFPE human breast cancer with UNG antibody. HIER: boil tissue sections in pH8 EDTA for 20 min and allow to cool before testing.
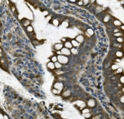
IHC staining of FFPE rat intestine with UNG antibody. HIER: boil tissue sections in pH8 EDTA for 20 min and allow to cool before testing.
Immunofluorescent staining of FFPE human MCF7 cells with UNG antibody (red) and DAPI nuclear stain (blue). HIER: steam section in pH6 citrate buffer for 20 min.
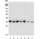
Western blot testing of human 1) HeLa, 2) Jurkat, 3) SW620, 4) HEK293, 5) monkey heart, 6) rat heart and 7) mouse heart lysate with UNG antibody. Predicted molecular weight ~35 kDa.
Flow cytometry testing of human HL-60 cells with UNG antibody at 1ug/million cells (blocked with goat sera); Red=cells alone, Green=isotype control, Blue= UNG antibody.
Availability 1-3 business days
Species Reactivity Human, Mouse, Rat, Monkey
Format Antigen affinity purified
Host Rabbit
Clonality Polyclonal (rabbit origin)
Isotype Rabbit IgG
Purity Affinity purified
Buffer Lyophilized from 1X PBS with 2% Trehalose and 0.025% sodium azide
UniProt P13051
Applications Western Blot : 0.5-1ug/ml
Immunohistochemistry : 1-2ug/ml
Flow Cytometry : 1-3ug/million cells
Immunofluorescence : 2-4ug/ml
Direct ELISA : 0.1-0.5ug/ml
Limitations This UNG antibody is available for research use only.
Review this product on BioCompare and get a $20 Amazon gift card

Description

Uracil-DNA glycosylase, also known as UNG or UDG, is a human gene though orthologs exist ubiquitously among prokaryotes and eukaryotes and even in some DNA viruses. The first uracil DNA-glycosylase was isolated from Escherichia coli. This gene encodes one of several uracil-DNA glycosylases. One important function of uracil-DNA glycosylases is to prevent mutagenesis by eliminating uracil from DNA molecules by cleaving the N-glycosylic bond and initiating the base-excision repair (BER) pathway. Uracil bases occur from cytosine deamination or misincorporation of dUMP residues. Alternative promoter usage and splicing of this gene leads to two different isoforms: the mitochondrial UNG1 and the nuclear UNG2. The UNG2 term was used as a previous symbol for the CCNO gene, which has been confused with this gene, in the literature and some databases.

Application Notes

Optimal dilution of the UNG antibody should be determined by the researcher.

Immunogen

Recombinant human protein (amino acids E96-L313) was used as the immunogen for the UNG antibody.

Storage

After reconstitution, the UNG antibody can be stored for up to one month at 4oC. For long-term, aliquot and store at -20oC. Avoid repeated freezing and thawing.

Cross
Bulk Quote Request Form
Name*:
Organization*:
Email*:
Phone Number*:
Catalog No.*:
Comments and Specifics(amount, formulation, etc.)*:
Validation code: Captchapackage Image


Can't read the image? click here to refresh.
    *required field

Your bulk quote request has been submitted successfully!

Please contact us if you have any questions.