• Tel: 858.663.9055
  • SeparatorEmail: info@nsjbio.com
  • Tel: 858.663.9055
  • Email: info@nsjbio.com
Home >> Antibodies >> Ufm1-conjugating enzyme 1 Antibody / Ufc1

Ufm1-conjugating enzyme 1 Antibody / Ufc1 (F54767)

  Catalog No Formulation Size Price (USD)  
Image F54767-0.4ML In 1X PBS, pH 7.4, with 0.09% sodium azide 0.4 ml 439
Image
F54767-0.08ML In 1X PBS, pH 7.4, with 0.09% sodium azide 0.08 ml 205
Bulk quote request
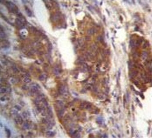
IHC testing of FFPE human bladder carcinoma tissue with Ufm1-conjugating enzyme 1 antibody. HIER: steam section in pH6 citrate buffer for 20 min and allow to cool prior to staining.
Western blot testing of 1) non-transfected and 2) transfected 293 cell lysate with Ufm1-conjugating enzyme 1 antibody.
Western blot testing of mouse kidney tissue lysate with Ufm1-conjugating enzyme 1 antibody. Predicted molecular weight ~19 kDa.
Flow cytometry testing of human HEK293 cells with Ufm1-conjugating enzyme 1 antibody; Blue=isotype control, Green= Ufm1-conjugating enzyme 1 antibody.
Availability 1-3 business days
Species Reactivity Human, Mouse
Format Purified
Host Rabbit
Clonality Polyclonal (rabbit origin)
Isotype Rabbit Ig
Purity Antigen affinity purified
UniProt Q9Y3C8
Applications Western Blot : 1:500-1:1000
Immunohistochemistry (FFPE) : 1:10-1:50
Flow Cytometry : 1:10-1:50 (1x10e6 cells)
Limitations This Ufm1-conjugating enzyme 1 antibody is available for research use only.
Review this product on BioCompare and get a $20 Amazon gift card

Related Products

Description

Ufm1-conjugating enzyme 1 antibody targets Ufm1-conjugating enzyme 1, encoded by the UFC1 gene. UFC1 is a cytoplasmic enzyme that functions as the E2 component of the UFM1 conjugation system, a ubiquitin-like modification pathway that regulates protein homeostasis and cellular stress responses. In this pathway, UFC1 transfers activated UFM1 from the E1 enzyme UBA5 to downstream substrates in coordination with the E3 ligase UFL1, enabling covalent ufmylation of target proteins.

Functionally, Ufm1-conjugating enzyme 1 plays a central role in maintaining endoplasmic reticulum integrity and regulating responses to proteotoxic and oxidative stress. UFC1-dependent ufmylation has been linked to ER-associated processes, ribosome quality control, and regulation of protein secretion. Through these activities, UFC1 contributes to cellular adaptation under conditions that challenge protein folding and trafficking, making it an important node in stress signaling pathways. A Ufm1-conjugating enzyme 1 antibody supports studies focused on ufmylation dynamics and stress-regulated protein modification.

UFC1 is broadly expressed across tissues, reflecting the fundamental role of the UFM1 system in cell viability. Its activity is particularly relevant in secretory and metabolically active cells, where ER stress must be tightly controlled. UFC1 interacts with multiple components of the ufmylation machinery, forming transient enzyme-substrate complexes that enable precise regulation of UFM1 transfer.

From a disease perspective, altered ufmylation signaling has been associated with cancer, neurodevelopmental disorders, and inflammatory conditions. Disruption of UFC1 function can impair ER homeostasis and protein quality control, contributing to pathological cellular states. As a result, UFC1 is increasingly studied in the context of diseases linked to stress signaling and protein modification pathways.

At the molecular level, Ufm1-conjugating enzyme 1 contains conserved catalytic residues required for thioester bond formation with UFM1, a defining feature of E2 enzymes. The apparent behavior of UFC1 in biochemical assays may be influenced by enzyme conformation, interacting partners, or modification state. Ufm1-conjugating enzyme 1 antibody reagents enable research applications focused on ufmylation, ER stress biology, and protein quality control, with NSJ Bioreagents providing reagents intended for research use only.

Application Notes

The stated application concentrations are suggested starting points. Titration of the Ufm1-conjugating enzyme 1 antibody may be required due to differences in protocols and secondary/substrate sensitivity.

Immunogen

An amino acid sequence from the C-terminal region of the human protein was used as the immunogen for the Ufm1-conjugating enzyme 1 antibody.

Storage

Aliquot the Ufm1-conjugating enzyme 1 antibody and store frozen at -20oC or colder. Avoid repeated freeze-thaw cycles.

Cross
Bulk Quote Request Form
Name*:
Organization*:
Email*:
Phone Number*:
Catalog No.*:
Comments and Specifics(amount, formulation, etc.)*:
Validation code: Captchapackage Image


Can't read the image? click here to refresh.
    *required field

Your bulk quote request has been submitted successfully!

Please contact us if you have any questions.