• Tel: 858.663.9055
  • SeparatorEmail: info@nsjbio.com
  • Tel: 858.663.9055
  • Email: info@nsjbio.com
Home >> Antibodies >> UDP-glucuronosyltransferase 2B15 Antibody / UGT2B15

UDP-glucuronosyltransferase 2B15 Antibody / UGT2B15 (F54649)

  Catalog No Formulation Size Price (USD)  
Image F54649-0.4ML In 1X PBS, pH 7.4, with 0.09% sodium azide 0.4 ml 439
Image
F54649-0.08ML In 1X PBS, pH 7.4, with 0.09% sodium azide 0.08 ml 205
Bulk quote request
Western blot testing of human liver tissue lysate with UDP-glucuronosyltransferase 2B15 antibody. Predicted molecular weight ~61 kDa.
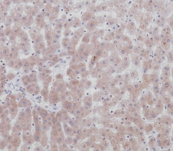
IHC testing of FFPE human liver tissue with UDP-glucuronosyltransferase 2B15 antibody. HIER: steam section in pH9 EDTA for 20 min and allow to cool prior to staining.
Immunofluorescent staining of human NCI-H460 cells with UDP-glucuronosyltransferase 2B15antibody (green) and DAPI nuclear stain (blue).
Flow cytometry testing of human NCI-H460 cells with UDP-glucuronosyltransferase 2B15 antibody; Blue=isotype control, Green= UDP-glucuronosyltransferase 2B15 antibody.
Availability 1-3 business days
Species Reactivity Human
Format Purified
Host Rabbit
Clonality Polyclonal (rabbit origin)
Isotype Rabbit Ig
Purity Antigen affinity purified
UniProt P54855
Localization Cytoplasmic
Applications Immunohistochemistry (FFPE) : 1:25
Western Blot : 1:500-1:2000
Flow Cytometry : 1:25 (1x10e6 cells)
Immunofluorescence : 1:25
Limitations This UDP-glucuronosyltransferase 2B15 antibody is available for research use only.
Review this product on BioCompare and get a $20 Amazon gift card

Description

The UGTs are of major importance in the conjugation and subsequent elimination of potentially toxic xenobiotics and endogenous compounds. UGT2B8 demonstrates reactivity with estriol.

Application Notes

The stated application concentrations are suggested starting points. Titration of the UDP-glucuronosyltransferase 2B15 antibody may be required due to differences in protocols and secondary/substrate sensitivity.

Immunogen

A portion of amino acids 156-185 from the human protein was used as the immunogen for the UDP-glucuronosyltransferase 2B15 antibody.

Storage

Aliquot the UDP-glucuronosyltransferase 2B15 antibody and store frozen at -20oC or colder. Avoid repeated freeze-thaw cycles.

Cross
Bulk Quote Request Form
Name*:
Organization*:
Email*:
Phone Number*:
Catalog No.*:
Comments and Specifics(amount, formulation, etc.)*:
Validation code: Captchapackage Image


Can't read the image? click here to refresh.
    *required field

Your bulk quote request has been submitted successfully!

Please contact us if you have any questions.