• Tel: 858.663.9055
  • SeparatorEmail: info@nsjbio.com
  • Tel: 858.663.9055
  • Email: info@nsjbio.com
Home >> Antibodies >> UCHL1 Antibody / Cancer Cell Western Blot Antibody

UCHL1 Antibody / Cancer Cell Western Blot Antibody [clone rUCHL1/8133] (V5031)

  Catalog No Formulation Size Price (USD)  
Image V5031-100UG 0.2 mg/ml in 1X PBS with 0.1 mg/ml BSA (US sourced), 0.05% sodium azide 100 ug 559
Image
V5031-20UG 0.2 mg/ml in 1X PBS with 0.1 mg/ml BSA (US sourced), 0.05% sodium azide 20 ug 259
Image
V5031SAF-100UG 1 mg/ml in 1X PBS; BSA free, sodium azide free 100 ug 559
Microvalidated Recmousemono
Bulk quote request
UCHL1 Antibody for WB. Western blot analysis in human brain lysate. Human brain tissue lysate stained with UCHL1 Antibody for WB, also known as Cancer Cell Western Blot Antibody and Ubiquitin C-terminal hydrolase L1 antibody, shows a distinct band at approximately 25 kDa, consistent with the predicted molecular weight of UCHL1 / PGP9.5. The clear band supports its use for detecting UCHL1 in tumor-related western blot workflows, including comparative analysis of cancer cell lysates and evaluation of tumor-associated protein expression.
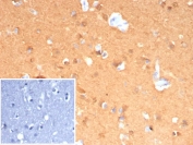
IHC staining of FFPE human cerebellum tissue with UCHL1 antibody (clone rUCHL1/8133). Inset: PBS used in place of primary Ab (secondary Ab negative control). HIER: boil tissue sections in pH 9 10mM Tris with 1mM EDTA for 20 min and allow to cool before testing.
SDS-PAGE analysis of purified, BSA-free UCHL1 Antibody / Cancer Cell Western Blot Antibody (clone rUCHL1/8133) as confirmation of integrity and purity.
Availability 1-3 business days
Species Reactivity Human
Format Purified
Host Mouse
Clonality Recombinant Mouse Monoclonal
Isotype Mouse IgG2a, kappa
Clone Name rUCHL1/8133
Purity Protein A/G affinity
UniProt P09936
Localization Cytoplasm, ER membrane
Applications Immunohistochemistry (FFPE) : 1-2ug/ml for 30 min at RT
Western Blot : 2-4ug/ml
Limitations This UCHL1 antibody is available for research use only.
Review this product on BioCompare and get a $20 Amazon gift card

Related Products

Description

Ubiquitin C-terminal hydrolase L1 (UCHL1) is a cytoplasmic protein that is frequently altered in cancer cells and is widely studied in the context of tumor-associated protein regulation and signaling. The UCHL1 Antibody - Cancer Cell Western Blot Antibody is specifically developed for western blot detection of UCHL1 in cancer cell lysates, enabling analysis of tumor-driven changes in protein expression and stability.

UCHL1 Antibody / Cancer Cell Western Blot Antibody, also referred to as PGP9.5 antibody or ubiquitin C-terminal hydrolase L1 antibody, is optimized for cancer-focused western blot workflows. In tumor cells, UCHL1 expression is often dysregulated and can vary significantly across cancer types, making it a valuable marker for comparative analysis between normal and malignant samples. Western blot detection of UCHL1 provides a direct method for assessing tumor-associated shifts in ubiquitin-mediated protein regulation.

This recombinant mouse monoclonal UCHL1 Antibody (clone rUCHL1/8133) is engineered for consistent performance in western blot assays using cancer-derived protein samples. Its recombinant monoclonal format ensures controlled epitope recognition and reduced non-specific binding, which is critical when analyzing complex tumor lysates that contain heterogeneous protein populations. The antibody supports clear detection of UCHL1 across multiple cancer cell lines, enabling side-by-side comparison of expression patterns.

UCHL1 has been linked to oncogenic signaling pathways, including those regulating cell proliferation, apoptosis, and cellular differentiation. Its expression profile in cancer cells can reflect tumor subtype, progression state, or response to experimental treatments. Western blot analysis using a cancer-focused UCHL1 antibody allows researchers to monitor these biologically relevant changes at the protein level in tumor models and cell-based systems.

A recombinant mouse monoclonal UCHL1 Antibody / Cancer Cell Western Blot Antibody is ideally suited for western blot applications centered on cancer cell biology, tumor lysate analysis, and comparative protein expression across malignancies. Its positioning as a tumor-focused detection tool makes it distinct from general UCHL1 antibodies and highly relevant for oncology research workflows.

Application Notes

Optimal dilution of the UCHL1 Antibody / Cancer Cell Western Blot Antibody should be determined by the researcher.

Immunogen

Recombinant full-length human UCHL1 protein was used as the immunogen for the UCHL1 Antibody / Cancer Cell Western Blot Antibody.

Storage

Aliquot the UCHL1 antibody and store frozen at -20oC or colder. Avoid repeated freeze-thaw cycles.

Alternate Names

PGP9.5 antibody, UCHL1 protein antibody, Ubiquitin C-terminal hydrolase L1 antibody, Tumor-associated UCHL1 antibody

Cross
Bulk Quote Request Form
Name*:
Organization*:
Email*:
Phone Number*:
Catalog No.*:
Comments and Specifics(amount, formulation, etc.)*:
Validation code: Captchapackage Image


Can't read the image? click here to refresh.
    *required field

Your bulk quote request has been submitted successfully!

Please contact us if you have any questions.