• Tel: 858.663.9055
  • SeparatorEmail: info@nsjbio.com
  • Tel: 858.663.9055
  • Email: info@nsjbio.com
Home >> Antibodies >> UBXN8 Antibody / UBX domain-containing protein 8

UBXN8 Antibody / UBX domain-containing protein 8 (RQ7781)

  Catalog No Formulation Size Price (USD)  
Image RQ7781 0.5mg/ml if reconstituted with 0.2ml sterile DI water 100 ug 449
Bulk quote request
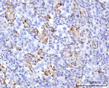
IHC staining of FFPE human testicular seminoma tissue with UBXN8 antibody. HIER: boil tissue sections in pH8 EDTA for 20 min and allow to cool before testing.
Western blot testing of human 1) HEL, 2) K562 and 3) HepG2 cell lysate with UBXN8 antibody. Predicted molecular weight ~31 kDa.
Flow cytometry testing of human RT4 cells with UBXN8 antibody at 1ug/million cells (blocked with goat sera); Red=cells alone, Green=isotype control, Blue= UBXN8 antibody.
Flow cytometry testing of human U937 cells with UBXN8 antibody at 1ug/million cells (blocked with goat sera); Red=cells alone, Green=isotype control, Blue= UBXN8 antibody.
Availability 1-3 business days
Species Reactivity Human
Format Antigen affinity purified
Host Rabbit
Clonality Polyclonal (rabbit origin)
Isotype Rabbit IgG
Purity Antigen affinity purified
Buffer Lyophilized from 1X PBS with 2% Trehalose
UniProt O00124
Localization Cytoplasmic
Applications Western Blot : 0.5-1ug/ml
Immunohistochemistry (FFPE) : 2-5ug/ml
Flow Cytometry : 1-3ug/million cells
Direct ELISA : 0.1-0.5ug/ml
Limitations This UBXN8 antibody is available for research use only.
Review this product on BioCompare and get a $20 Amazon gift card

Description

p97 or VCP (valosin-containing protein) is a versatile ATPase complex, and many cofactors are required for the p97 functional diversity. This gene encodes one of the p97 cofactors. This cofactor is a transmembrane protein and localized in the endoplasmic reticulum (ER) membrane. It tethers p97 to the ER membrane via its UBX domain. The association of this cofactor with p97 facilitates efficient ER-associated degradation of misfolded proteins. Alternatively spliced transcript variants encoding different isoforms have been found for this gene.

Application Notes

Optimal dilution of the UBXN8 antibody should be determined by the researcher.

Immunogen

E. coli-derived recombinant human protein (amino acids N149-N270) was used as the immunogen for the UBXN8 antibody.

Storage

After reconstitution, the UBXN8 antibody can be stored for up to one month at 4oC. For long-term, aliquot and store at -20oC. Avoid repeated freezing and thawing.

Cross
Bulk Quote Request Form
Name*:
Organization*:
Email*:
Phone Number*:
Catalog No.*:
Comments and Specifics(amount, formulation, etc.)*:
Validation code: Captchapackage Image


Can't read the image? click here to refresh.
    *required field

Your bulk quote request has been submitted successfully!

Please contact us if you have any questions.